Abstract:Numerical reasoning over documents, which demands both contextual understanding and logical inference, is challenging for low-capacity local models deployed on computation-constrained devices. Although such complex reasoning queries could be routed to powerful remote models like GPT-4, exposing local data raises significant data leakage concerns. Existing mitigation methods generate problem descriptions or examples for remote assistance. However, the inherent complexity of numerical reasoning hinders the local model from generating logically equivalent queries and accurately inferring answers with remote guidance. In this paper, we present a model collaboration framework with two key innovations: (1) a context-aware synthesis strategy that shifts the query domains while preserving logical consistency; and (2) a tool-based answer reconstruction approach that reuses the remote-generated problem-solving pattern with code snippets. Experimental results demonstrate that our method achieves better reasoning accuracy than solely using local models while providing stronger data protection than fully relying on remote models. Furthermore, our method improves accuracy by 16.2% - 43.6% while reducing data leakage by 2.3% - 44.6% compared to existing data protection approaches.
Abstract:Since the advent of large language models (LLMs), prompt engineering has been a crucial step for eliciting desired responses for various Natural Language Processing (NLP) tasks. However, prompt engineering remains an impediment for end users due to rapid advances in models, tasks, and associated best practices. To mitigate this, Automatic Prompt Optimization (APO) techniques have recently emerged that use various automated techniques to help improve the performance of LLMs on various tasks. In this paper, we present a comprehensive survey summarizing the current progress and remaining challenges in this field. We provide a formal definition of APO, a 5-part unifying framework, and then proceed to rigorously categorize all relevant works based on their salient features therein. We hope to spur further research guided by our framework.




Abstract:Vision-Language Models (VLMs) have demonstrated impressive performance across a versatile set of tasks. A key challenge in accelerating VLMs is storing and accessing the large Key-Value (KV) cache that encodes long visual contexts, such as images or videos. While existing KV cache compression methods are effective for Large Language Models (LLMs), directly migrating them to VLMs yields suboptimal accuracy and speedup. To bridge the gap, we propose VL-Cache, a novel KV cache compression recipe tailored for accelerating VLM inference. In this paper, we first investigate the unique sparsity pattern of VLM attention by distinguishing visual and text tokens in prefill and decoding phases. Based on these observations, we introduce a layer-adaptive sparsity-aware cache budget allocation method that effectively distributes the limited cache budget across different layers, further reducing KV cache size without compromising accuracy. Additionally, we develop a modality-aware token scoring policy to better evaluate the token importance. Empirical results on multiple benchmark datasets demonstrate that retaining only 10% of KV cache achieves accuracy comparable to that with full cache. In a speed benchmark, our method accelerates end-to-end latency of generating 100 tokens by up to 2.33x and speeds up decoding by up to 7.08x, while reducing the memory footprint of KV cache in GPU by 90%.




Abstract:Writing radiology reports from medical images requires a high level of domain expertise. It is time-consuming even for trained radiologists and can be error-prone for inexperienced radiologists. It would be appealing to automate this task by leveraging generative AI, which has shown drastic progress in vision and language understanding. In particular, Large Language Models (LLM) have demonstrated impressive capabilities recently and continued to set new state-of-the-art performance on almost all natural language tasks. While many have proposed architectures to combine vision models with LLMs for multimodal tasks, few have explored practical fine-tuning strategies. In this work, we proposed a simple yet effective two-stage fine-tuning protocol to align visual features to LLM's text embedding space as soft visual prompts. Our framework with OpenLLaMA-7B achieved state-of-the-art level performance without domain-specific pretraining. Moreover, we provide detailed analyses of soft visual prompts and attention mechanisms, shedding light on future research directions.




Abstract:Out-of-distribution (OOD) data poses serious challenges in deployed machine learning models, so methods of predicting a model's performance on OOD data without labels are important for machine learning safety. While a number of methods have been proposed by prior work, they often underestimate the actual error, sometimes by a large margin, which greatly impacts their applicability to real tasks. In this work, we identify pseudo-label shift, or the difference between the predicted and true OOD label distributions, as a key indicator to this underestimation. Based on this observation, we introduce a novel method for estimating model performance by leveraging optimal transport theory, Confidence Optimal Transport (COT), and show that it provably provides more robust error estimates in the presence of pseudo-label shift. Additionally, we introduce an empirically-motivated variant of COT, Confidence Optimal Transport with Thresholding (COTT), which applies thresholding to the individual transport costs and further improves the accuracy of COT's error estimates. We evaluate COT and COTT on a variety of standard benchmarks that induce various types of distribution shift -- synthetic, novel subpopulation, and natural -- and show that our approaches significantly outperform existing state-of-the-art methods with an up to 3x lower prediction error.




Abstract:Out-of-distribution (OOD) data poses serious challenges in deployed machine learning models as even subtle changes could incur significant performance drops. Being able to estimate a model's performance on test data is important in practice as it indicates when to trust to model's decisions. We present a simple yet effective method to predict a model's performance on an unknown distribution without any addition annotation. Our approach is rooted in the Optimal Transport theory, viewing test samples' output softmax scores from deep neural networks as empirical samples from an unknown distribution. We show that our method, Confidence Optimal Transport (COT), provides robust estimates of a model's performance on a target domain. Despite its simplicity, our method achieves state-of-the-art results on three benchmark datasets and outperforms existing methods by a large margin.
Abstract:We present a fully automated framework for building object detectors on satellite imagery without requiring any human annotation or intervention. We achieve this by leveraging the combined power of modern generative models (e.g., StyleGAN) and recent advances in multi-modal learning (e.g., CLIP). While deep generative models effectively encode the key semantics pertinent to a data distribution, this information is not immediately accessible for downstream tasks, such as object detection. In this work, we exploit CLIP's ability to associate image features with text descriptions to identify neurons in the generator network, which are subsequently used to build detectors on-the-fly.




Abstract:Measuring similarities between different tasks is critical in a broad spectrum of machine learning problems, including transfer, multi-task, continual, and meta-learning. Most current approaches to measuring task similarities are architecture-dependent: 1) relying on pre-trained models, or 2) training networks on tasks and using forward transfer as a proxy for task similarity. In this paper, we leverage the optimal transport theory and define a novel task embedding for supervised classification that is model-agnostic, training-free, and capable of handling (partially) disjoint label sets. In short, given a dataset with ground-truth labels, we perform a label embedding through multi-dimensional scaling and concatenate dataset samples with their corresponding label embeddings. Then, we define the distance between two datasets as the 2-Wasserstein distance between their updated samples. Lastly, we leverage the 2-Wasserstein embedding framework to embed tasks into a vector space in which the Euclidean distance between the embedded points approximates the proposed 2-Wasserstein distance between tasks. We show that the proposed embedding leads to a significantly faster comparison of tasks compared to related approaches like the Optimal Transport Dataset Distance (OTDD). Furthermore, we demonstrate the effectiveness of our proposed embedding through various numerical experiments and show statistically significant correlations between our proposed distance and the forward and backward transfer between tasks.




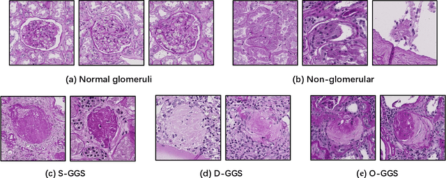
Abstract:The quantitative detection, segmentation, and characterization of glomeruli from high-resolution whole slide imaging (WSI) play essential roles in the computer-assisted diagnosis and scientific research in digital renal pathology. Historically, such comprehensive quantification requires extensive programming skills in order to be able to handle heterogeneous and customized computational tools. To bridge the gap of performing glomerular quantification for non-technical users, we develop the Glo-In-One toolkit to achieve holistic glomerular detection, segmentation, and characterization via a single line of command. Additionally, we release a large-scale collection of 30,000 unlabeled glomerular images to further facilitate the algorithmic development of self-supervised deep learning. The inputs of the Glo-In-One toolkit are WSIs, while the outputs are (1) WSI-level multi-class circle glomerular detection results (which can be directly manipulated with ImageScope), (2) glomerular image patches with segmentation masks, and (3) different lesion types. To leverage the performance of the Glo-In-One toolkit, we introduce self-supervised deep learning to glomerular quantification via large-scale web image mining. The GGS fine-grained classification model achieved a decent performance compared with baseline supervised methods while only using 10% of the annotated data. The glomerular detection achieved an average precision of 0.627 with circle representations, while the glomerular segmentation achieved a 0.955 patch-wise Dice Similarity Coefficient (DSC).




Abstract:Leveraging machine learning to optimize the optimization process is an emerging field which holds the promise to bypass the fundamental computational bottleneck caused by traditional iterative solvers in critical applications requiring near-real-time optimization. The majority of existing approaches focus on learning data-driven optimizers that lead to fewer iterations in solving an optimization. In this paper, we take a different approach and propose to replace the iterative solvers altogether with a trainable parametric set function that outputs the optimal arguments/parameters of an optimization problem in a single feed-forward. We denote our method as, Learning to Optimize the Optimization Process (LOOP). We show the feasibility of learning such parametric (set) functions to solve various classic optimization problems, including linear/nonlinear regression, principal component analysis, transport-based core-set, and quadratic programming in supply management applications. In addition, we propose two alternative approaches for learning such parametric functions, with and without a solver in the-LOOP. Finally, we demonstrate the effectiveness of our proposed approach through various numerical experiments.