Abstract:Efficient three-dimensional reconstruction and real-time visualization are critical in surgical scenarios such as endoscopy. In recent years, 3D Gaussian Splatting (3DGS) has demonstrated remarkable performance in efficient 3D reconstruction and rendering. Most 3DGS-based Simultaneous Localization and Mapping (SLAM) methods only rely on the appearance constraints for optimizing both 3DGS and camera poses. However, in endoscopic scenarios, the challenges include photometric inconsistencies caused by non-Lambertian surfaces and dynamic motion from breathing affects the performance of SLAM systems. To address these issues, we additionally introduce optical flow loss as a geometric constraint, which effectively constrains both the 3D structure of the scene and the camera motion. Furthermore, we propose a depth regularisation strategy to mitigate the problem of photometric inconsistencies and ensure the validity of 3DGS depth rendering in endoscopic scenes. In addition, to improve scene representation in the SLAM system, we improve the 3DGS refinement strategy by focusing on viewpoints corresponding to Keyframes with suboptimal rendering quality frames, achieving better rendering results. Extensive experiments on the C3VD static dataset and the StereoMIS dynamic dataset demonstrate that our method outperforms existing state-of-the-art methods in novel view synthesis and pose estimation, exhibiting high performance in both static and dynamic surgical scenes. The source code will be publicly available upon paper acceptance.
Abstract:Naturalistic driving action recognition is essential for vehicle cabin monitoring systems. However, the complexity of real-world backgrounds presents significant challenges for this task, and previous approaches have struggled with practical implementation due to their limited ability to observe subtle behavioral differences and effectively learn inter-frame features from video. In this paper, we propose a novel Spatial-Temporal Perception (STP) architecture that emphasizes both temporal information and spatial relationships between key objects, incorporating a causal decoder to perform behavior recognition and temporal action localization. Without requiring multimodal input, STP directly extracts temporal and spatial distance features from RGB video clips. Subsequently, these dual features are jointly encoded by maximizing the expected likelihood across all possible permutations of the factorization order. By integrating temporal and spatial features at different scales, STP can perceive subtle behavioral changes in challenging scenarios. Additionally, we introduce a causal-aware module to explore relationships between video frame features, significantly enhancing detection efficiency and performance. We validate the effectiveness of our approach using two publicly available driver distraction detection benchmarks. The results demonstrate that our framework achieves state-of-the-art performance.




Abstract:3D object detection is crucial for Autonomous Driving (AD) and Advanced Driver Assistance Systems (ADAS). However, most 3D detectors prioritize detection accuracy, often overlooking network inference speed in practical applications. In this paper, we propose RadarNeXt, a real-time and reliable 3D object detector based on the 4D mmWave radar point clouds. It leverages the re-parameterizable neural networks to catch multi-scale features, reduce memory cost and accelerate the inference. Moreover, to highlight the irregular foreground features of radar point clouds and suppress background clutter, we propose a Multi-path Deformable Foreground Enhancement Network (MDFEN), ensuring detection accuracy while minimizing the sacrifice of speed and excessive number of parameters. Experimental results on View-of-Delft and TJ4DRadSet datasets validate the exceptional performance and efficiency of RadarNeXt, achieving 50.48 and 32.30 mAPs with the variant using our proposed MDFEN. Notably, our RadarNeXt variants achieve inference speeds of over 67.10 FPS on the RTX A4000 GPU and 28.40 FPS on the Jetson AGX Orin. This research demonstrates that RadarNeXt brings a novel and effective paradigm for 3D perception based on 4D mmWave radar.




Abstract:Pathology is the study of microscopic inspection of tissue, and a pathology diagnosis is often the medical gold standard to diagnose disease. Pathology images provide a unique challenge for computer-vision-based analysis: a single pathology Whole Slide Image (WSI) is gigapixel-sized and often contains hundreds of thousands to millions of objects of interest across multiple resolutions. In this work, we propose PathoLogy Universal TransfOrmer (PLUTO): a light-weight pathology FM that is pre-trained on a diverse dataset of 195 million image tiles collected from multiple sites and extracts meaningful representations across multiple WSI scales that enable a large variety of downstream pathology tasks. In particular, we design task-specific adaptation heads that utilize PLUTO's output embeddings for tasks which span pathology scales ranging from subcellular to slide-scale, including instance segmentation, tile classification, and slide-level prediction. We compare PLUTO's performance to other state-of-the-art methods on a diverse set of external and internal benchmarks covering multiple biologically relevant tasks, tissue types, resolutions, stains, and scanners. We find that PLUTO matches or outperforms existing task-specific baselines and pathology-specific foundation models, some of which use orders-of-magnitude larger datasets and model sizes when compared to PLUTO. Our findings present a path towards a universal embedding to power pathology image analysis, and motivate further exploration around pathology foundation models in terms of data diversity, architectural improvements, sample efficiency, and practical deployability in real-world applications.
Abstract:Semi-supervised semantic segmentation allows model to mine effective supervision from unlabeled data to complement label-guided training. Recent research has primarily focused on consistency regularization techniques, exploring perturbation-invariant training at both the image and feature levels. In this work, we proposed a novel feature-level consistency learning framework named Density-Descending Feature Perturbation (DDFP). Inspired by the low-density separation assumption in semi-supervised learning, our key insight is that feature density can shed a light on the most promising direction for the segmentation classifier to explore, which is the regions with lower density. We propose to shift features with confident predictions towards lower-density regions by perturbation injection. The perturbed features are then supervised by the predictions on the original features, thereby compelling the classifier to explore less dense regions to effectively regularize the decision boundary. Central to our method is the estimation of feature density. To this end, we introduce a lightweight density estimator based on normalizing flow, allowing for efficient capture of the feature density distribution in an online manner. By extracting gradients from the density estimator, we can determine the direction towards less dense regions for each feature. The proposed DDFP outperforms other designs on feature-level perturbations and shows state of the art performances on both Pascal VOC and Cityscapes dataset under various partition protocols. The project is available at https://github.com/Gavinwxy/DDFP.




Abstract:Predicting reactants from a specified core product stands as a fundamental challenge within organic synthesis, termed retrosynthesis prediction. Recently, semi-template-based methods and graph-edits-based methods have achieved good performance in terms of both interpretability and accuracy. However, due to their mechanisms these methods cannot predict complex reactions, e.g., reactions with multiple reaction center or attaching the same leaving group to more than one atom. In this study we propose a semi-template-based method, the \textbf{Retro}synthesis via \textbf{S}earch \textbf{i}n (Hyper) \textbf{G}raph (RetroSiG) framework to alleviate these limitations. In the proposed method, we turn the reaction center identification and the leaving group completion tasks as tasks of searching in the product molecular graph and leaving group hypergraph respectively. As a semi-template-based method RetroSiG has several advantages. First, RetroSiG is able to handle the complex reactions mentioned above by its novel search mechanism. Second, RetroSiG naturally exploits the hypergraph to model the implicit dependencies between leaving groups. Third, RetroSiG makes full use of the prior, i.e., one-hop constraint. It reduces the search space and enhances overall performance. Comprehensive experiments demonstrated that RetroSiG achieved competitive results. Furthermore, we conducted experiments to show the capability of RetroSiG in predicting complex reactions. Ablation experiments verified the efficacy of specific elements, such as the one-hop constraint and the leaving group hypergraph.




Abstract:Urban water-surface robust perception serves as the foundation for intelligent monitoring of aquatic environments and the autonomous navigation and operation of unmanned vessels, especially in the context of waterway safety. It is worth noting that current multi-sensor fusion and multi-task learning models consume substantial power and heavily rely on high-power GPUs for inference. This contributes to increased carbon emissions, a concern that runs counter to the prevailing emphasis on environmental preservation and the pursuit of sustainable, low-carbon urban environments. In light of these concerns, this paper concentrates on low-power, lightweight, multi-task panoptic perception through the fusion of visual and 4D radar data, which is seen as a promising low-cost perception method. We propose a framework named Achelous++ that facilitates the development and comprehensive evaluation of multi-task water-surface panoptic perception models. Achelous++ can simultaneously execute five perception tasks with high speed and low power consumption, including object detection, object semantic segmentation, drivable-area segmentation, waterline segmentation, and radar point cloud semantic segmentation. Furthermore, to meet the demand for developers to customize models for real-time inference on low-performance devices, a novel multi-modal pruning strategy known as Heterogeneous-Aware SynFlow (HA-SynFlow) is proposed. Besides, Achelous++ also supports random pruning at initialization with different layer-wise sparsity, such as Uniform and Erdos-Renyi-Kernel (ERK). Overall, our Achelous++ framework achieves state-of-the-art performance on the WaterScenes benchmark, excelling in both accuracy and power efficiency compared to other single-task and multi-task models. We release and maintain the code at https://github.com/GuanRunwei/Achelous.




Abstract:Nested pairwise frames is a method for relative benchmarking of cell or tissue digital pathology models against manual pathologist annotations on a set of sampled patches. At a high level, the method compares agreement between a candidate model and pathologist annotations with agreement among pathologists' annotations. This evaluation framework addresses fundamental issues of data size and annotator variability in using manual pathologist annotations as a source of ground truth for model validation. We implemented nested pairwise frames evaluation for tissue classification, cell classification, and cell count prediction tasks and show results for cell and tissue models deployed on an H&E-stained melanoma dataset.




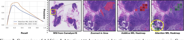
Abstract:Multiple Instance Learning (MIL) has been widely applied in pathology towards solving critical problems such as automating cancer diagnosis and grading, predicting patient prognosis, and therapy response. Deploying these models in a clinical setting requires careful inspection of these black boxes during development and deployment to identify failures and maintain physician trust. In this work, we propose a simple formulation of MIL models, which enables interpretability while maintaining similar predictive performance. Our Additive MIL models enable spatial credit assignment such that the contribution of each region in the image can be exactly computed and visualized. We show that our spatial credit assignment coincides with regions used by pathologists during diagnosis and improves upon classical attention heatmaps from attention MIL models. We show that any existing MIL model can be made additive with a simple change in function composition. We also show how these models can debug model failures, identify spurious features, and highlight class-wise regions of interest, enabling their use in high-stakes environments such as clinical decision-making.



Abstract:As one of the most fundamental tasks in graph theory, subgraph matching is a crucial task in many fields, ranging from information retrieval, computer vision, biology, chemistry and natural language processing. Yet subgraph matching problem remains to be an NP-complete problem. This study proposes an end-to-end learning-based approximate method for subgraph matching task, called subgraph matching network (Sub-GMN). The proposed Sub-GMN firstly uses graph representation learning to map nodes to node-level embedding. It then combines metric learning and attention mechanisms to model the relationship between matched nodes in the data graph and query graph. To test the performance of the proposed method, we applied our method on two databases. We used two existing methods, GNN and FGNN as baseline for comparison. Our experiment shows that, on dataset 1, on average the accuracy of Sub-GMN are 12.21\% and 3.2\% higher than that of GNN and FGNN respectively. On average running time Sub-GMN runs 20-40 times faster than FGNN. In addition, the average F1-score of Sub-GMN on all experiments with dataset 2 reached 0.95, which demonstrates that Sub-GMN outputs more correct node-to-node matches. Comparing with the previous GNNs-based methods for subgraph matching task, our proposed Sub-GMN allows varying query and data graphes in the test/application stage, while most previous GNNs-based methods can only find a matched subgraph in the data graph during the test/application for the same query graph used in the training stage. Another advantage of our proposed Sub-GMN is that it can output a list of node-to-node matches, while most existing end-to-end GNNs based methods cannot provide the matched node pairs.