



Abstract:Humans possess a remarkable capacity for spatial cognition, allowing for self-localization even in novel or unfamiliar environments. While hippocampal neurons encoding position and orientation are well documented, the large-scale neural dynamics supporting spatial representation, particularly during naturalistic, passive experience, remain poorly understood. Here, we demonstrate for the first time that non-invasive brain-computer interfaces (BCIs) based on electroencephalography (EEG) can decode spontaneous, fine-grained egocentric 6D pose, comprising three-dimensional position and orientation, during passive viewing of egocentric video. Despite EEG's limited spatial resolution and high signal noise, we find that spatially coherent visual input (i.e., continuous and structured motion) reliably evokes decodable spatial representations, aligning with participants' subjective sense of spatial engagement. Decoding performance further improves when visual input is presented at a frame rate of 100 ms per image, suggesting alignment with intrinsic neural temporal dynamics. Using gradient-based backpropagation through a neural decoding model, we identify distinct EEG channels contributing to position -- and orientation specific -- components, revealing a distributed yet complementary neural encoding scheme. These findings indicate that the brain's spatial systems operate spontaneously and continuously, even under passive conditions, challenging traditional distinctions between active and passive spatial cognition. Our results offer a non-invasive window into the automatic construction of egocentric spatial maps and advance our understanding of how the human mind transforms everyday sensory experience into structured internal representations.
Abstract:Multi-material decomposition (MMD) enables quantitative reconstruction of tissue compositions in the human body, supporting a wide range of clinical applications. However, traditional MMD typically requires spectral CT scanners and pre-measured X-ray energy spectra, significantly limiting clinical applicability. To this end, various methods have been developed to perform MMD using conventional (i.e., single-energy, SE) CT systems, commonly referred to as SEMMD. Despite promising progress, most SEMMD methods follow a two-step image decomposition pipeline, which first reconstructs monochromatic CT images using algorithms such as FBP, and then performs decomposition on these images. The initial reconstruction step, however, neglects the energy-dependent attenuation of human tissues, introducing severe nonlinear beam hardening artifacts and noise into the subsequent decomposition. This paper proposes JSover, a fundamentally reformulated one-step SEMMD framework that jointly reconstructs multi-material compositions and estimates the energy spectrum directly from SECT projections. By explicitly incorporating physics-informed spectral priors into the SEMMD process, JSover accurately simulates a virtual spectral CT system from SE acquisitions, thereby improving the reliability and accuracy of decomposition. Furthermore, we introduce implicit neural representation (INR) as an unsupervised deep learning solver for representing the underlying material maps. The inductive bias of INR toward continuous image patterns constrains the solution space and further enhances estimation quality. Extensive experiments on both simulated and real CT datasets show that JSover outperforms state-of-the-art SEMMD methods in accuracy and computational efficiency.




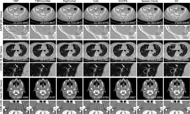
Abstract:Emerging unsupervised implicit neural representation (INR) methods, such as NeRP, NeAT, and SCOPE, have shown great potential to address sparse-view computed tomography (SVCT) inverse problems. Although these INR-based methods perform well in relatively dense SVCT reconstructions, they struggle to achieve comparable performance to supervised methods in sparser SVCT scenarios. They are prone to being affected by noise, limiting their applicability in real clinical settings. Additionally, current methods have not fully explored the use of image domain priors for solving SVCsT inverse problems. In this work, we demonstrate that imperfect reconstruction results can provide effective image domain priors for INRs to enhance performance. To leverage this, we introduce Self-prior embedding neural representation (Spener), a novel unsupervised method for SVCT reconstruction that integrates iterative reconstruction algorithms. During each iteration, Spener extracts local image prior features from the previous iteration and embeds them to constrain the solution space. Experimental results on multiple CT datasets show that our unsupervised Spener method achieves performance comparable to supervised state-of-the-art (SOTA) methods on in-domain data while outperforming them on out-of-domain datasets. Moreover, Spener significantly improves the performance of INR-based methods in handling SVCT with noisy sinograms. Our code is available at https://github.com/MeijiTian/Spener.
Abstract:3D semantic segmentation is one of the most crucial tasks in driving perception. The ability of a learning-based model to accurately perceive dense 3D surroundings often ensures the safe operation of autonomous vehicles. However, existing LiDAR-based 3D semantic segmentation databases consist of sequentially acquired LiDAR scans that are long-tailed and lack training diversity. In this report, we introduce MixSeg3D, a sophisticated combination of the strong point cloud segmentation model with advanced 3D data mixing strategies. Specifically, our approach integrates the MinkUNet family with LaserMix and PolarMix, two scene-scale data augmentation methods that blend LiDAR point clouds along the ego-scene's inclination and azimuth directions. Through empirical experiments, we demonstrate the superiority of MixSeg3D over the baseline and prior arts. Our team achieved 2nd place in the 3D semantic segmentation track of the 2024 Waymo Open Dataset Challenge.

Abstract:Ring artifacts are prevalent in 3D cone-beam computed tomography (CBCT) due to non-ideal responses of X-ray detectors, severely degrading imaging quality and reliability. Current state-of-the-art (SOTA) ring artifact reduction (RAR) algorithms rely on extensive paired CT samples for supervised learning. While effective, these methods do not fully capture the physical characteristics of ring artifacts, leading to pronounced performance drops when applied to out-of-domain data. Moreover, their applications to 3D CBCT are limited by high memory demands. In this work, we introduce \textbf{Riner}, an unsupervised method formulating 3D CBCT RAR as a multi-parameter inverse problem. Our core innovation is parameterizing the X-ray detector responses as solvable variables within a differential physical model. By jointly optimizing a neural field to represent artifact-free CT images and estimating response parameters directly from raw measurements, Riner eliminates the need for external training data. Moreover, it accommodates diverse CT geometries, enhancing practical usability. Empirical results on both simulated and real-world datasets show that Riner surpasses existing SOTA RAR methods in performance.
Abstract:Intracerebral hemorrhage (ICH) is the most fatal subtype of stroke and is characterized by a high incidence of disability. Accurate segmentation of the ICH region and prognosis prediction are critically important for developing and refining treatment plans for post-ICH patients. However, existing approaches address these two tasks independently and predominantly focus on imaging data alone, thereby neglecting the intrinsic correlation between the tasks and modalities. This paper introduces a multi-task network, ICH-SCNet, designed for both ICH segmentation and prognosis classification. Specifically, we integrate a SAM-CLIP cross-modal interaction mechanism that combines medical text and segmentation auxiliary information with neuroimaging data to enhance cross-modal feature recognition. Additionally, we develop an effective feature fusion module and a multi-task loss function to improve performance further. Extensive experiments on an ICH dataset reveal that our approach surpasses other state-of-the-art methods. It excels in the overall performance of classification tasks and outperforms competing models in all segmentation task metrics.




Abstract:Motion correction (MoCo) in radial MRI is a challenging problem due to the unpredictability of subject's motion. Current state-of-the-art (SOTA) MoCo algorithms often use extensive high-quality MR images to pre-train neural networks, obtaining excellent reconstructions. However, the need for large-scale datasets significantly increases costs and limits model generalization. In this work, we propose Moner, an unsupervised MoCo method that jointly solves artifact-free MR images and accurate motion from undersampled, rigid motion-corrupted k-space data, without requiring training data. Our core idea is to leverage the continuous prior of implicit neural representation (INR) to constrain this ill-posed inverse problem, enabling ideal solutions. Specifically, we incorporate a quasi-static motion model into the INR, granting its ability to correct subject's motion. To stabilize model optimization, we reformulate radial MRI as a back-projection problem using the Fourier-slice theorem. Additionally, we propose a novel coarse-to-fine hash encoding strategy, significantly enhancing MoCo accuracy. Experiments on multiple MRI datasets show our Moner achieves performance comparable to SOTA MoCo techniques on in-domain data, while demonstrating significant improvements on out-of-domain data.




Abstract:Ultra-Wide-Field Fluorescein Angiography (UWF-FA) enables precise identification of ocular diseases using sodium fluorescein, which can be potentially harmful. Existing research has developed methods to generate UWF-FA from Ultra-Wide-Field Scanning Laser Ophthalmoscopy (UWF-SLO) to reduce the adverse reactions associated with injections. However, these methods have been less effective in producing high-quality late-phase UWF-FA, particularly in lesion areas and fine details. Two primary challenges hinder the generation of high-quality late-phase UWF-FA: the scarcity of paired UWF-SLO and early/late-phase UWF-FA datasets, and the need for realistic generation at lesion sites and potential blood leakage regions. This study introduces an improved latent diffusion model framework to generate high-quality late-phase UWF-FA from limited paired UWF images. To address the challenges as mentioned earlier, our approach employs a module utilizing Cross-temporal Regional Difference Loss, which encourages the model to focus on the differences between early and late phases. Additionally, we introduce a low-frequency enhanced noise strategy in the diffusion forward process to improve the realism of medical images. To further enhance the mapping capability of the variational autoencoder module, especially with limited datasets, we implement a Gated Convolutional Encoder to extract additional information from conditional images. Our Latent Diffusion Model for Ultra-Wide-Field Late-Phase Fluorescein Angiography (LPUWF-LDM) effectively reconstructs fine details in late-phase UWF-FA and achieves state-of-the-art results compared to other existing methods when working with limited datasets. Our source code is available at: https://github.com/Tinysqua/****.




Abstract:Medical image datasets in the real world are often unlabeled and imbalanced, and Semi-Supervised Object Detection (SSOD) can utilize unlabeled data to improve an object detector. However, existing approaches predominantly assumed that the unlabeled data and test data do not contain out-of-distribution (OOD) classes. The few open-set semi-supervised object detection methods have two weaknesses: first, the class imbalance is not considered; second, the OOD instances are distinguished and simply discarded during pseudo-labeling. In this paper, we consider the open-set semi-supervised object detection problem which leverages unlabeled data that contain OOD classes to improve object detection for medical images. Our study incorporates two key innovations: Category Control Embed (CCE) and out-of-distribution Detection Fusion Classifier (OODFC). CCE is designed to tackle dataset imbalance by constructing a Foreground information Library, while OODFC tackles open-set challenges by integrating the ``unknown'' information into basic pseudo-labels. Our method outperforms the state-of-the-art SSOD performance, achieving a 4.25 mAP improvement on the public Parasite dataset.



Abstract:Attributed graph clustering, which aims to group the nodes of an attributed graph into disjoint clusters, has made promising advancements in recent years. However, most existing methods face challenges when applied to large graphs due to the expensive computational cost and high memory usage. In this paper, we introduce Scalable and Adaptive Spectral Embedding (SASE), a simple attributed graph clustering method devoid of parameter learning. SASE comprises three main components: node features smoothing via $k$-order simple graph convolution, scalable spectral clustering using random Fourier features, and adaptive order selection. With these designs, SASE not only effectively captures global cluster structures but also exhibits linear time and space complexity relative to the graph size. Empirical results demonstrate the superiority of SASE. For example, on the ArXiv dataset with 169K nodes and 1.17M edges, SASE achieves a 6.9\% improvement in ACC and a $5.87\times$ speedup compared to the runner-up, S3GC.