


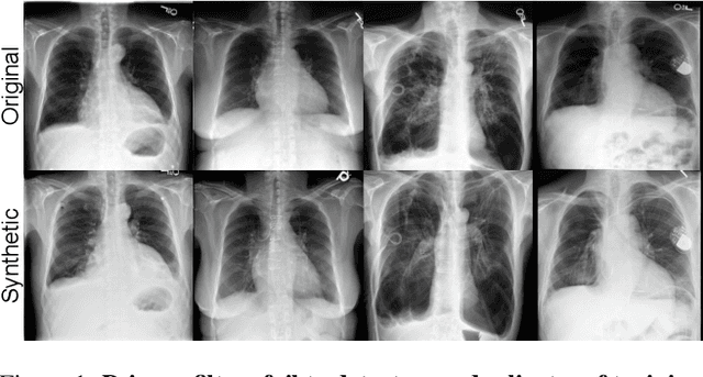
Abstract:The generation of privacy-preserving synthetic datasets is a promising avenue for overcoming data scarcity in medical AI research. Post-hoc privacy filtering techniques, designed to remove samples containing personally identifiable information, have recently been proposed as a solution. However, their effectiveness remains largely unverified. This work presents a rigorous evaluation of a filtering pipeline applied to chest X-ray synthesis. Contrary to claims from the original publications, our results demonstrate that current filters exhibit limited specificity and consistency, achieving high sensitivity only for real images while failing to reliably detect near-duplicates generated from training data. These results demonstrate a critical limitation of post-hoc filtering: rather than effectively safeguarding patient privacy, these methods may provide a false sense of security while leaving unacceptable levels of patient information exposed. We conclude that substantial advances in filter design are needed before these methods can be confidently deployed in sensitive applications.
Abstract:Image reconstruction attacks on machine learning models pose a significant risk to privacy by potentially leaking sensitive information. Although defending against such attacks using differential privacy (DP) has proven effective, determining appropriate DP parameters remains challenging. Current formal guarantees on data reconstruction success suffer from overly theoretical assumptions regarding adversary knowledge about the target data, particularly in the image domain. In this work, we empirically investigate this discrepancy and find that the practicality of these assumptions strongly depends on the domain shift between the data prior and the reconstruction target. We propose a reconstruction attack based on diffusion models (DMs) that assumes adversary access to real-world image priors and assess its implications on privacy leakage under DP-SGD. We show that (1) real-world data priors significantly influence reconstruction success, (2) current reconstruction bounds do not model the risk posed by data priors well, and (3) DMs can serve as effective auditing tools for visualizing privacy leakage.




Abstract:Reconstruction attacks on machine learning (ML) models pose a strong risk of leakage of sensitive data. In specific contexts, an adversary can (almost) perfectly reconstruct training data samples from a trained model using the model's gradients. When training ML models with differential privacy (DP), formal upper bounds on the success of such reconstruction attacks can be provided. So far, these bounds have been formulated under worst-case assumptions that might not hold high realistic practicality. In this work, we provide formal upper bounds on reconstruction success under realistic adversarial settings against ML models trained with DP and support these bounds with empirical results. With this, we show that in realistic scenarios, (a) the expected reconstruction success can be bounded appropriately in different contexts and by different metrics, which (b) allows for a more educated choice of a privacy parameter.




Abstract:Unsupervised anomaly detection (UAD) alleviates large labeling efforts by training exclusively on unlabeled in-distribution data and detecting outliers as anomalies. Generally, the assumption prevails that large training datasets allow the training of higher-performing UAD models. However, in this work, we show that using only very few training samples can already match - and in some cases even improve - anomaly detection compared to training with the whole training dataset. We propose three methods to identify prototypical samples from a large dataset of in-distribution samples. We demonstrate that by training with a subset of just ten such samples, we achieve an area under the receiver operating characteristics curve (AUROC) of $96.37 \%$ on CIFAR10, $92.59 \%$ on CIFAR100, $95.37 \%$ on MNIST, $95.38 \%$ on Fashion-MNIST, $96.37 \%$ on MVTec-AD, $98.81 \%$ on BraTS, and $81.95 \%$ on RSNA pneumonia detection, even exceeding the performance of full training in $25/67$ classes we tested. Additionally, we show that the prototypical in-distribution samples identified by our proposed methods translate well to different models and other datasets and that using their characteristics as guidance allows for successful manual selection of small subsets of high-performing samples. Our code is available at https://anonymous.4open.science/r/uad_prototypical_samples/




Abstract:Artificial Intelligence (AI) models are vulnerable to information leakage of their training data, which can be highly sensitive, for example in medical imaging. Privacy Enhancing Technologies (PETs), such as Differential Privacy (DP), aim to circumvent these susceptibilities. DP is the strongest possible protection for training models while bounding the risks of inferring the inclusion of training samples or reconstructing the original data. DP achieves this by setting a quantifiable privacy budget. Although a lower budget decreases the risk of information leakage, it typically also reduces the performance of such models. This imposes a trade-off between robust performance and stringent privacy. Additionally, the interpretation of a privacy budget remains abstract and challenging to contextualize. In this study, we contrast the performance of AI models at various privacy budgets against both, theoretical risk bounds and empirical success of reconstruction attacks. We show that using very large privacy budgets can render reconstruction attacks impossible, while drops in performance are negligible. We thus conclude that not using DP -- at all -- is negligent when applying AI models to sensitive data. We deem those results to lie a foundation for further debates on striking a balance between privacy risks and model performance.




Abstract:Differentially private SGD (DP-SGD) holds the promise of enabling the safe and responsible application of machine learning to sensitive datasets. However, DP-SGD only provides a biased, noisy estimate of a mini-batch gradient. This renders optimisation steps less effective and limits model utility as a result. With this work, we show a connection between per-sample gradient norms and the estimation bias of the private gradient oracle used in DP-SGD. Here, we propose Bias-Aware Minimisation (BAM) that allows for the provable reduction of private gradient estimator bias. We show how to efficiently compute quantities needed for BAM to scale to large neural networks and highlight similarities to closely related methods such as Sharpness-Aware Minimisation. Finally, we provide empirical evidence that BAM not only reduces bias but also substantially improves privacy-utility trade-offs on the CIFAR-10, CIFAR-100, and ImageNet-32 datasets.




Abstract:Training Artificial Intelligence (AI) models on three-dimensional image data presents unique challenges compared to the two-dimensional case: Firstly, the computational resources are significantly higher, and secondly, the availability of large pretraining datasets is often limited, impeding training success. In this study, we propose a simple approach of adapting 2D networks with an intermediate feature representation for processing 3D volumes. Our method involves sequentially applying these networks to slices of a 3D volume from all orientations. Subsequently, a feature reduction module combines the extracted slice features into a single representation, which is then used for classification. We evaluate our approach on medical classification benchmarks and a real-world clinical dataset, demonstrating comparable results to existing methods. Furthermore, by employing attention pooling as a feature reduction module we obtain weighted importance values for each slice during the forward pass. We show that slices deemed important by our approach allow the inspection of the basis of a model's prediction.




Abstract:Body fat volume and distribution can be a strong indication for a person's overall health and the risk for developing diseases like type 2 diabetes and cardiovascular diseases. Frequently used measures for fat estimation are the body mass index (BMI), waist circumference, or the waist-hip-ratio. However, those are rather imprecise measures that do not allow for a discrimination between different types of fat or between fat and muscle tissue. The estimation of visceral (VAT) and abdominal subcutaneous (ASAT) adipose tissue volume has shown to be a more accurate measure for named risk factors. In this work, we show that triangulated body surface meshes can be used to accurately predict VAT and ASAT volumes using graph neural networks. Our methods achieve high performance while reducing training time and required resources compared to state-of-the-art convolutional neural networks in this area. We furthermore envision this method to be applicable to cheaper and easily accessible medical surface scans instead of expensive medical images.




Abstract:We explore Reconstruction Robustness (ReRo), which was recently proposed as an upper bound on the success of data reconstruction attacks against machine learning models. Previous research has demonstrated that differential privacy (DP) mechanisms also provide ReRo, but so far, only asymptotic Monte Carlo estimates of a tight ReRo bound have been shown. Directly computable ReRo bounds for general DP mechanisms are thus desirable. In this work, we establish a connection between hypothesis testing DP and ReRo and derive closed-form, analytic or numerical ReRo bounds for the Laplace and Gaussian mechanisms and their subsampled variants.
Abstract:Artificial intelligence (AI) models are increasingly used in the medical domain. However, as medical data is highly sensitive, special precautions to ensure the protection of said data are required. The gold standard for privacy preservation is the introduction of differential privacy (DP) to model training. However, prior work has shown that DP has negative implications on model accuracy and fairness. Therefore, the purpose of this study is to demonstrate that the privacy-preserving training of AI models for chest radiograph diagnosis is possible with high accuracy and fairness compared to non-private training. N=193,311 high quality clinical chest radiographs were retrospectively collected and manually labeled by experienced radiologists, who assigned one or more of the following diagnoses: cardiomegaly, congestion, pleural effusion, pneumonic infiltration and atelectasis, to each side (where applicable). The non-private AI models were compared with privacy-preserving (DP) models with respect to privacy-utility trade-offs (measured as area under the receiver-operator-characteristic curve (AUROC)), and privacy-fairness trade-offs (measured as Pearson-R or Statistical Parity Difference). The non-private AI model achieved an average AUROC score of 0.90 over all labels, whereas the DP AI model with a privacy budget of epsilon=7.89 resulted in an AUROC of 0.87, i.e., a mere 2.6% performance decrease compared to non-private training. The privacy-preserving training of diagnostic AI models can achieve high performance with a small penalty on model accuracy and does not amplify discrimination against age, sex or co-morbidity. We thus encourage practitioners to integrate state-of-the-art privacy-preserving techniques into medical AI model development.