



Abstract:Due to the limitations of a single autonomous vehicle, Cellular Vehicle-to-Everything (C-V2X) technology opens a new window for achieving fully autonomous driving through sensor information sharing. However, real-world datasets supporting vehicle-infrastructure cooperative navigation in complex urban environments remain rare. To address this gap, we present UrbanV2X, a comprehensive multisensory dataset collected from vehicles and roadside infrastructure in the Hong Kong C-V2X testbed, designed to support research on smart mobility applications in dense urban areas. Our onboard platform provides synchronized data from multiple industrial cameras, LiDARs, 4D radar, ultra-wideband (UWB), IMU, and high-precision GNSS-RTK/INS navigation systems. Meanwhile, our roadside infrastructure provides LiDAR, GNSS, and UWB measurements. The entire vehicle-infrastructure platform is synchronized using the Precision Time Protocol (PTP), with sensor calibration data provided. We also benchmark various navigation algorithms to evaluate the collected cooperative data. The dataset is publicly available at https://polyu-taslab.github.io/UrbanV2X/.




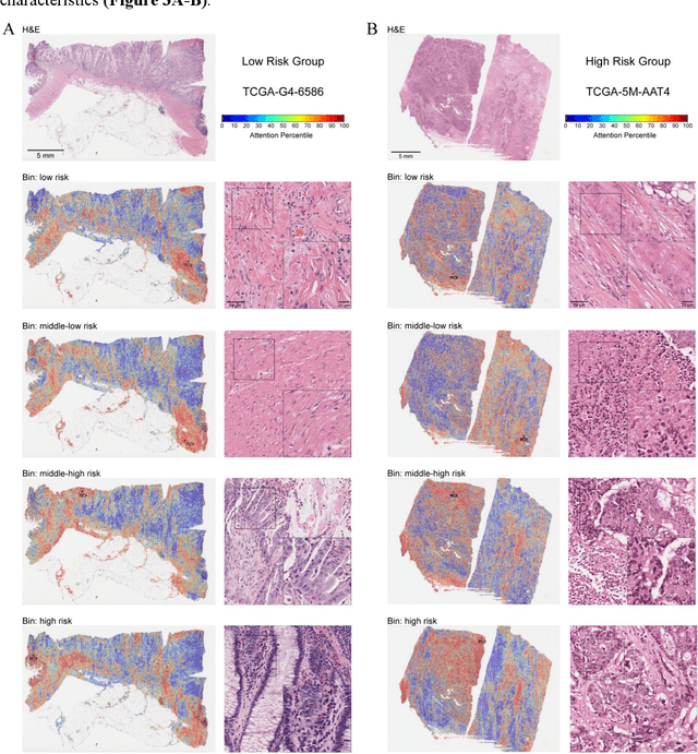
Abstract:Precise prognostic stratification of colorectal cancer (CRC) remains a major clinical challenge due to its high heterogeneity. The conventional TNM staging system is inadequate for personalized medicine. We aimed to develop and validate a novel multiple instance learning model TDAM-CRC using histopathological whole-slide images for accurate prognostic prediction and to uncover its underlying molecular mechanisms. We trained the model on the TCGA discovery cohort (n=581), validated it in an independent external cohort (n=1031), and further we integrated multi-omics data to improve model interpretability and identify novel prognostic biomarkers. The results demonstrated that the TDAM-CRC achieved robust risk stratification in both cohorts. Its predictive performance significantly outperformed the conventional clinical staging system and multiple state-of-the-art models. The TDAM-CRC risk score was confirmed as an independent prognostic factor in multivariable analysis. Multi-omics analysis revealed that the high-risk subtype is closely associated with metabolic reprogramming and an immunosuppressive tumor microenvironment. Through interaction network analysis, we identified and validated Mitochondrial Ribosomal Protein L37 (MRPL37) as a key hub gene linking deep pathomic features to clinical prognosis. We found that high expression of MRPL37, driven by promoter hypomethylation, serves as an independent biomarker of favorable prognosis. Finally, we constructed a nomogram incorporating the TDAM-CRC risk score and clinical factors to provide a precise and interpretable clinical decision-making tool for CRC patients. Our AI-driven pathological model TDAM-CRC provides a robust tool for improved CRC risk stratification, reveals new molecular targets, and facilitates personalized clinical decision-making.
Abstract:Accurate segmentation of neural structures in Electron Microscopy (EM) images is paramount for neuroscience. However, this task is challenged by intricate morphologies, low signal-to-noise ratios, and scarce annotations, limiting the accuracy and generalization of existing methods. To address these challenges, we seek to leverage the priors learned by visual foundation models on a vast amount of natural images to better tackle this task. Specifically, we propose a novel framework that can effectively transfer knowledge from Segment Anything 2 (SAM2), which is pre-trained on natural images, to the EM domain. We first use SAM2 to extract powerful, general-purpose features. To bridge the domain gap, we introduce a Feature-Guided Attention module that leverages semantic cues from SAM2 to guide a lightweight encoder, the Fine-Grained Encoder (FGE), in focusing on these challenging regions. Finally, a dual-affinity decoder generates both coarse and refined affinity maps. Experimental results demonstrate that our method achieves performance comparable to state-of-the-art (SOTA) approaches with the SAM2 weights frozen. Upon further fine-tuning on EM data, our method significantly outperforms existing SOTA methods. This study validates that transferring representations pre-trained on natural images, when combined with targeted domain-adaptive guidance, can effectively address the specific challenges in neuron segmentation.
Abstract:This paper presents a Multi-Modal Environment-Aware Network (MEAN-RIR), which uses an encoder-decoder framework to predict room impulse response (RIR) based on multi-level environmental information from audio, visual, and textual sources. Specifically, reverberant speech capturing room acoustic properties serves as the primary input, which is combined with panoramic images and text descriptions as supplementary inputs. Each input is processed by its respective encoder, and the outputs are fed into cross-attention modules to enable effective interaction between different modalities. The MEAN-RIR decoder generates two distinct components: the first component captures the direct sound and early reflections, while the second produces masks that modulate learnable filtered noise to synthesize the late reverberation. These two components are mixed to reconstruct the final RIR. The results show that MEAN-RIR significantly improves RIR estimation, with notable gains in acoustic parameters.
Abstract:In this paper, we propose a novel neural speaker diarization system using memory-aware multi-speaker embedding with sequence-to-sequence architecture (NSD-MS2S), which integrates a memory-aware multi-speaker embedding module with a sequence-to-sequence architecture. The system leverages a memory module to enhance speaker embeddings and employs a Seq2Seq framework to efficiently map acoustic features to speaker labels. Additionally, we explore the application of mixture of experts in speaker diarization, and introduce a Shared and Soft Mixture of Experts (SS-MoE) module to further mitigate model bias and enhance performance. Incorporating SS-MoE leads to the extended model NSD-MS2S-SSMoE. Experiments on multiple complex acoustic datasets, including CHiME-6, DiPCo, Mixer 6 and DIHARD-III evaluation sets, demonstrate meaningful improvements in robustness and generalization. The proposed methods achieve state-of-the-art results, showcasing their effectiveness in challenging real-world scenarios.
Abstract:In the field of speaker diarization, the development of technology is constrained by two problems: insufficient data resources and poor generalization ability of deep learning models. To address these two problems, firstly, we propose an automated method for constructing speaker diarization datasets, which generates more accurate pseudo-labels for massive data through the combination of audio and video. Relying on this method, we have released Multi-modal, Multi-scenario and Multi-language Speaker Diarization (M3SD) datasets. This dataset is derived from real network videos and is highly diverse. In addition, we further propose a scenario-related model fine-tuning strategy. Based on the general model pre-trained using the above dataset, we combine the specific data of the target scenario (e.g., meetings) and achieve targeted optimization by using Adapter and LoRA joint fine-tuning, thus achieving the model's domain adaptation. Our dataset and code have been open-sourced at https://huggingface.co/spaces/OldDragon/m3sd.
Abstract:Power transmission corridor hazard segmentation (PTCHS) aims to separate transmission equipment and surrounding hazards from complex background, conveying great significance to maintaining electric power transmission safety. Recently, the Segment Anything Model (SAM) has emerged as a foundational vision model and pushed the boundaries of segmentation tasks. However, SAM struggles to deal with the target objects in complex transmission corridor scenario, especially those with fine structure. In this paper, we propose ELE-SAM, adapting SAM for the PTCHS task. Technically, we develop a Context-Aware Prompt Adapter to achieve better prompt tokens via incorporating global-local features and focusing more on key regions. Subsequently, to tackle the hazard objects with fine structure in complex background, we design a High-Fidelity Mask Decoder by leveraging multi-granularity mask features and then scaling them to a higher resolution. Moreover, to train ELE-SAM and advance this field, we construct the ELE-40K benchmark, the first large-scale and real-world dataset for PTCHS including 44,094 image-mask pairs. Experimental results for ELE-40K demonstrate the superior performance that ELE-SAM outperforms the baseline model with the average 16.8% mIoU and 20.6% mBIoU performance improvement. Moreover, compared with the state-of-the-art method on HQSeg-44K, the average 2.9% mIoU and 3.8% mBIoU absolute improvements further validate the effectiveness of our method on high-quality generic object segmentation. The source code and dataset are available at https://github.com/Hhaizee/ELE-SAM.
Abstract:In this technical report, we present our solution to the CVPR 2025 Visual Anomaly and Novelty Detection (VAND) 3.0 Workshop Challenge Track 1: Adapt & Detect: Robust Anomaly Detection in Real-World Applications. In real-world industrial anomaly detection, it is crucial to accurately identify anomalies with physical complexity, such as transparent or reflective surfaces, occlusions, and low-contrast contaminations. The recently proposed MVTec AD 2 dataset significantly narrows the gap between publicly available benchmarks and anomalies found in real-world industrial environments. To address the challenges posed by this dataset--such as complex and varying lighting conditions and real anomalies with large scale differences--we propose a fully training-free anomaly detection and segmentation method based on feature extraction using the DINOv2 model named SuperAD. Our method carefully selects a small number of normal reference images and constructs a memory bank by leveraging the strong representational power of DINOv2. Anomalies are then segmented by performing nearest neighbor matching between test image features and the memory bank. Our method achieves competitive results on both test sets of the MVTec AD 2 dataset.
Abstract:Circuit discovery has gradually become one of the prominent methods for mechanistic interpretability, and research on circuit completeness has also garnered increasing attention. Methods of circuit discovery that do not guarantee completeness not only result in circuits that are not fixed across different runs but also cause key mechanisms to be omitted. The nature of incompleteness arises from the presence of OR gates within the circuit, which are often only partially detected in standard circuit discovery methods. To this end, we systematically introduce three types of logic gates: AND, OR, and ADDER gates, and decompose the circuit into combinations of these logical gates. Through the concept of these gates, we derive the minimum requirements necessary to achieve faithfulness and completeness. Furthermore, we propose a framework that combines noising-based and denoising-based interventions, which can be easily integrated into existing circuit discovery methods without significantly increasing computational complexity. This framework is capable of fully identifying the logic gates and distinguishing them within the circuit. In addition to the extensive experimental validation of the framework's ability to restore the faithfulness, completeness, and sparsity of circuits, using this framework, we uncover fundamental properties of the three logic gates, such as their proportions and contributions to the output, and explore how they behave among the functionalities of language models.




Abstract:The exploration of language skills in language models (LMs) has always been one of the central goals in mechanistic interpretability. However, existing circuit analyses often fall short in representing the full functional scope of these models, primarily due to the exclusion of Feed-Forward layers. Additionally, isolating the effect of a single language skill from a text, which inherently involves multiple entangled skills, poses a significant challenge. To address these gaps, we introduce a novel concept, Memory Circuit, a minimum unit that fully and independently manipulates the memory-reading functionality of a language model, and disentangle the transformer model precisely into a circuit graph which is an ensemble of paths connecting different memory circuits. Based on this disentanglement, we identify salient circuit paths, named as skill paths, responsible for three crucial language skills, i.e., the Previous Token Skill, Induction Skill and In-Context Learning (ICL) Skill, leveraging causal effect estimation through interventions and counterfactuals. Our experiments on various datasets confirm the correspondence between our identified skill paths and language skills, and validate three longstanding hypotheses: 1) Language skills are identifiable through circuit dissection; 2) Simple language skills reside in shallow layers, whereas complex language skills are found in deeper layers; 3) Complex language skills are formed on top of simpler language skills. Our codes are available at: https://github.com/Zodiark-ch/Language-Skill-of-LLMs.