Abstract:Purpose:Mammography screening is less sensitive in dense breasts, where tissue overlap and subtle findings increase perceptual difficulty. We present MammoColor, an end-to-end framework with a Task-Driven Chromatic Encoding (TDCE) module that converts single-channel mammograms into TDCE-encoded views for visual augmentation. Materials and Methods:MammoColor couples a lightweight TDCE module with a BI-RADS triage classifier and was trained end-to-end on VinDr-Mammo. Performance was evaluated on an internal test set, two public datasets (CBIS-DDSM and INBreast), and three external clinical cohorts. We also conducted a multi-reader, multi-case (MRMC) observer study with a washout period, comparing (1) grayscale-only, (2) TDCE-only, and (3) side-by-side grayscale+TDCE. Results:On VinDr-Mammo, MammoColor improved AUC from 0.7669 to 0.8461 (P=0.004). Gains were larger in dense breasts (AUC 0.749 to 0.835). In the MRMC study, TDCE-encoded images improved specificity (0.90 to 0.96; P=0.052) with comparable sensitivity. Conclusion:TDCE provides a task-optimized chromatic representation that may improve perceptual salience and reduce false-positive recalls in mammography triage.
Abstract:The performance of medical image segmentation is increasingly defined by the efficiency of data utilization rather than merely the volume of raw data. Accurate segmentation, particularly for complex pathologies like meningiomas, demands that models fully exploit the latent information within limited high-quality annotations. To maximize the value of existing datasets, we propose a novel dual-augmentation framework that synergistically integrates spatial manifold expansion and semantic object injection. Specifically, we leverage Implicit Neural Representations (INR) to model continuous velocity fields. Unlike previous methods, we perform linear mixing on the integrated deformation fields, enabling the efficient generation of anatomically plausible variations by interpolating within the deformation space. This approach allows for the extensive exploration of structural diversity from a small set of anchors. Furthermore, we introduce a Sim2Real lesion injection module. This module constructs a high-fidelity simulation domain by transplanting lesion textures into healthy anatomical backgrounds, effectively bridging the gap between synthetic augmentation and real-world pathology. Comprehensive experiments on a hybrid dataset demonstrate that our framework significantly enhances the data efficiency and robustness of state-of-the-art models, including nnU-Net and U-Mamba, offering a potent strategy for high-performance medical image analysis with limited annotation budgets.
Abstract:Deep learning-based medical image segmentation models, such as U-Net, rely on high-quality annotated datasets to achieve accurate predictions. However, the increasing use of generative models for synthetic data augmentation introduces potential risks, particularly in the absence of rigorous quality control. In this paper, we investigate the impact of synthetic MRI data on the robustness and segmentation accuracy of U-Net models for brain tumor segmentation. Specifically, we generate synthetic T1-contrast-enhanced (T1-Ce) MRI scans using a GAN-based model with a shared encoding-decoding framework and shortest-path regularization. To quantify the effect of synthetic data contamination, we train U-Net models on progressively "poisoned" datasets, where synthetic data proportions range from 16.67% to 83.33%. Experimental results on a real MRI validation set reveal a significant performance degradation as synthetic data increases, with Dice coefficients dropping from 0.8937 (33.33% synthetic) to 0.7474 (83.33% synthetic). Accuracy and sensitivity exhibit similar downward trends, demonstrating the detrimental effect of synthetic data on segmentation robustness. These findings underscore the importance of quality control in synthetic data integration and highlight the risks of unregulated synthetic augmentation in medical image analysis. Our study provides critical insights for the development of more reliable and trustworthy AI-driven medical imaging systems.




Abstract:Multimodal medical image fusion plays an instrumental role in several areas of medical image processing, particularly in disease recognition and tumor detection. Traditional fusion methods tend to process each modality independently before combining the features and reconstructing the fusion image. However, this approach often neglects the fundamental commonalities and disparities between multimodal information. Furthermore, the prevailing methodologies are largely confined to fusing two-dimensional (2D) medical image slices, leading to a lack of contextual supervision in the fusion images and subsequently, a decreased information yield for physicians relative to three-dimensional (3D) images. In this study, we introduce an innovative unsupervised feature mutual learning fusion network designed to rectify these limitations. Our approach incorporates a Deformable Cross Feature Blend (DCFB) module that facilitates the dual modalities in discerning their respective similarities and differences. We have applied our model to the fusion of 3D MRI and PET images obtained from 660 patients in the Alzheimer's Disease Neuroimaging Initiative (ADNI) dataset. Through the application of the DCFB module, our network generates high-quality MRI-PET fusion images. Experimental results demonstrate that our method surpasses traditional 2D image fusion methods in performance metrics such as Peak Signal to Noise Ratio (PSNR) and Structural Similarity Index Measure (SSIM). Importantly, the capacity of our method to fuse 3D images enhances the information available to physicians and researchers, thus marking a significant step forward in the field. The code will soon be available online.




Abstract:Rigid pre-registration involving local-global matching or other large deformation scenarios is crucial. Current popular methods rely on unsupervised learning based on grayscale similarity, but under circumstances where different poses lead to varying tissue structures, or where image quality is poor, these methods tend to exhibit instability and inaccuracies. In this study, we propose a novel method for medical image registration based on arbitrary voxel point of interest matching, called query point quizzer (QUIZ). QUIZ focuses on the correspondence between local-global matching points, specifically employing CNN for feature extraction and utilizing the Transformer architecture for global point matching queries, followed by applying average displacement for local image rigid transformation. We have validated this approach on a large deformation dataset of cervical cancer patients, with results indicating substantially smaller deviations compared to state-of-the-art methods. Remarkably, even for cross-modality subjects, it achieves results surpassing the current state-of-the-art.




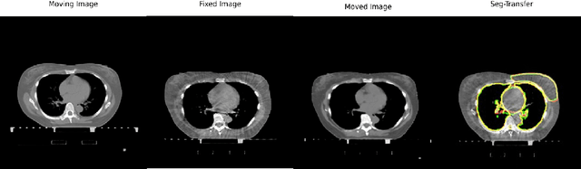
Abstract:We propose a flow-based registration framework of medical images based on implicit neural representation. By integrating implicit neural representation and Large Deformable Diffeomorphic Metric Mapping (LDDMM), we employ a Multilayer Perceptron (MLP) as a velocity generator while optimizing velocity and image similarity. Moreover, we adopt a coarse-to-fine approach to address the challenge of deformable-based registration methods dropping into local optimal solutions, thus aiding the management of significant deformations in medical image registration. Our algorithm has been validated on a paired CT-CBCT dataset of 50 patients,taking the dice coefficient of transferred annotations as an evaluation metric. Compared to existing methods, our approach achieves the state-of-the-art performance.
Abstract:Computed tomography (CT) scans offer a detailed, three-dimensional representation of patients' internal organs. However, conventional CT reconstruction techniques necessitate acquiring hundreds or thousands of x-ray projections through a complete rotational scan of the body, making navigation or positioning during surgery infeasible. In image-guided radiation therapy, a method that reconstructs ultra-sparse X-ray projections into CT images, we can exploit the substantially reduced radiation dose and minimize equipment burden for localization and navigation. In this study, we introduce a novel Transformer architecture, termed XTransCT, devised to facilitate real-time reconstruction of CT images from two-dimensional X-ray images. We assess our approach regarding image quality and structural reliability using a dataset of fifty patients, supplied by a hospital, as well as the larger public dataset LIDC-IDRI, which encompasses thousands of patients. Additionally, we validated our algorithm's generalizability on the LNDb dataset. Our findings indicate that our algorithm surpasses other methods in image quality, structural precision, and generalizability. Moreover, in comparison to previous 3D convolution-based approaches, we note a substantial speed increase of approximately 300 $\%$, achieving 44 ms per 3D image reconstruction. To guarantee the replicability of our results, we have made our code publicly available.




Abstract:Pathologists need to combine information from differently stained pathological slices to obtain accurate diagnostic results. Deformable image registration is a necessary technique for fusing multi-modal pathological slices. This paper proposes a hybrid deep feature-based deformable image registration framework for stained pathological samples. We first extract dense feature points and perform points matching by two deep learning feature networks. Then, to further reduce false matches, an outlier detection method combining the isolation forest statistical model and the local affine correction model is proposed. Finally, the interpolation method generates the DVF for pathology image registration based on the above matching points. We evaluate our method on the dataset of the Non-rigid Histology Image Registration (ANHIR) challenge, which is co-organized with the IEEE ISBI 2019 conference. Our technique outperforms the traditional approaches by 17% with the Average-Average registration target error (rTRE) reaching 0.0034. The proposed method achieved state-of-the-art performance and ranking it 1 in evaluating the test dataset. The proposed hybrid deep feature-based registration method can potentially become a reliable method for pathology image registration.