



Abstract:Cushing's syndrome is a condition caused by excessive glucocorticoid secretion from the adrenal cortex, often manifesting with moon facies and plethora, making facial data crucial for diagnosis. Previous studies have used pre-trained convolutional neural networks (CNNs) for diagnosing Cushing's syndrome using frontal facial images. However, CNNs are better at capturing local features, while Cushing's syndrome often presents with global facial features. Transformer-based models like ViT and SWIN, which utilize self-attention mechanisms, can better capture long-range dependencies and global features. Recently, DINOv2, a foundation model based on visual Transformers, has gained interest. This study compares the performance of various pre-trained models, including CNNs, Transformer-based models, and DINOv2, in diagnosing Cushing's syndrome. We also analyze gender bias and the impact of freezing mechanisms on DINOv2. Our results show that Transformer-based models and DINOv2 outperformed CNNs, with ViT achieving the highest F1 score of 85.74%. Both the pre-trained model and DINOv2 had higher accuracy for female samples. DINOv2 also showed improved performance when freezing parameters. In conclusion, Transformer-based models and DINOv2 are effective for Cushing's syndrome classification.




Abstract:Mental health is a critical global public health issue, and psychological support hotlines play a pivotal role in providing mental health assistance and identifying suicide risks at an early stage. However, the emotional expressions conveyed during these calls remain underexplored in current research. This study introduces a method that combines pitch acoustic features with deep learning-based features to analyze and understand emotions expressed during hotline interactions. Using data from China's largest psychological support hotline, our method achieved an F1-score of 79.13% for negative binary emotion classification.Additionally, the proposed approach was validated on an open dataset for multi-class emotion classification,where it demonstrated better performance compared to the state-of-the-art methods. To explore its clinical relevance, we applied the model to analysis the frequency of negative emotions and the rate of emotional change in the conversation, comparing 46 subjects with suicidal behavior to those without. While the suicidal group exhibited more frequent emotional changes than the non-suicidal group, the difference was not statistically significant.Importantly, our findings suggest that emotional fluctuation intensity and frequency could serve as novel features for psychological assessment scales and suicide risk prediction.The proposed method provides valuable insights into emotional dynamics and has the potential to advance early intervention and improve suicide prevention strategies through integration with clinical tools and assessments The source code is publicly available at https://github.com/Sco-field/Speechemotionrecognition/tree/main.




Abstract:Suicide is a pressing global issue, demanding urgent and effective preventive interventions. Among the various strategies in place, psychological support hotlines had proved as a potent intervention method. Approximately two million people in China attempt suicide annually, with many individuals making multiple attempts. Prompt identification and intervention for high-risk individuals are crucial to preventing tragedies. With the rapid advancement of artificial intelligence (AI), especially the development of large-scale language models (LLMs), new technological tools have been introduced to the field of mental health. This study included 1284 subjects, and was designed to validate whether deep learning models and LLMs, using audio and transcribed text from support hotlines, can effectively predict suicide risk. We proposed a simple LLM-based pipeline that first summarizes transcribed text from approximately one hour of speech to extract key features, and then predict suicidial bahaviours in the future. We compared our LLM-based method with the traditional manual scale approach in a clinical setting and with five advanced deep learning models. Surprisingly, the proposed simple LLM pipeline achieved strong performance on a test set of 46 subjects, with an F1 score of 76\% when combined with manual scale rating. This is 7\% higher than the best speech-based deep learning models and represents a 27.82\% point improvement in F1 score compared to using the manual scale apporach alone. Our study explores new applications of LLMs and demonstrates their potential for future use in suicide prevention efforts.




Abstract:Psychological support hotlines are an effective suicide prevention measure that typically relies on professionals using suicide risk assessment scales to predict individual risk scores. However, the accuracy of scale-based predictive methods for suicide risk assessment can vary widely depending on the expertise of the operator. This limitation underscores the need for more reliable methods, prompting this research's innovative exploration of the use of artificial intelligence to improve the accuracy and efficiency of suicide risk prediction within the context of psychological support hotlines. The study included data from 1,549 subjects from 2015-2017 in China who contacted a psychological support hotline. Each participant was followed for 12 months to identify instances of suicidal behavior. We proposed a novel multi-task learning method that uses the large-scale pre-trained model Whisper for feature extraction and fits psychological scales while predicting the risk of suicide. The proposed method yields a 2.4\% points improvement in F1-score compared to the traditional manual approach based on the psychological scales. Our model demonstrated superior performance compared to the other eight popular models. To our knowledge, this study is the first to apply deep learning to long-term speech data to predict suicide risk in China, indicating grate potential for clinical applications. The source code is publicly available at: \url{https://github.com/songchangwei/Suicide-Risk-Prediction}.
Abstract:Acute intracerebral hemorrhage is a life-threatening condition that demands immediate medical intervention. Intraparenchymal hemorrhage (IPH) and intraventricular hemorrhage (IVH) are critical subtypes of this condition. Clinically, when such hemorrhages are suspected, immediate CT scanning is essential to assess the extent of the bleeding and to facilitate the formulation of a targeted treatment plan. While current research in deep learning has largely focused on qualitative analyses, such as identifying subtypes of cerebral hemorrhages, there remains a significant gap in quantitative analysis crucial for enhancing clinical treatments. Addressing this gap, our paper introduces a dataset comprising 222 CT annotations, sourced from the RSNA 2019 Brain CT Hemorrhage Challenge and meticulously annotated at the voxel level for precise IPH and IVH segmentation. This dataset was utilized to train and evaluate seven advanced medical image segmentation algorithms, with the goal of refining the accuracy of segmentation for these hemorrhages. Our findings demonstrate that this dataset not only furthers the development of sophisticated segmentation algorithms but also substantially aids scientific research and clinical practice by improving the diagnosis and management of these severe hemorrhages. Our dataset and codes are available at \url{https://github.com/songchangwei/3DCT-SD-IVH-ICH}.




Abstract:Suicide and suicidal behaviors remain significant challenges for public policy and healthcare. In response, psychological support hotlines have been established worldwide to provide immediate help to individuals in mental crises. The effectiveness of these hotlines largely depends on accurately identifying callers' emotional states, particularly underlying negative emotions indicative of increased suicide risk. However, the high demand for psychological interventions often results in a shortage of professional operators, highlighting the need for an effective speech emotion recognition model. This model would automatically detect and analyze callers' emotions, facilitating integration into hotline services. Additionally, it would enable large-scale data analysis of psychological support hotline interactions to explore psychological phenomena and behaviors across populations. Our study utilizes data from the Beijing psychological support hotline, the largest suicide hotline in China. We analyzed speech data from 105 callers containing 20,630 segments and categorized them into 11 types of negative emotions. We developed a negative emotion recognition model and a fine-grained multi-label classification model using a large-scale pre-trained model. Our experiments indicate that the negative emotion recognition model achieves a maximum F1-score of 76.96%. However, it shows limited efficacy in the fine-grained multi-label classification task, with the best model achieving only a 41.74% weighted F1-score. We conducted an error analysis for this task, discussed potential future improvements, and considered the clinical application possibilities of our study. All the codes are public available.




Abstract:Cognitive Behavioral Therapy (CBT) is an effective technique for addressing the irrational thoughts stemming from mental illnesses, but it necessitates precise identification of cognitive pathways to be successfully implemented in patient care. In current society, individuals frequently express negative emotions on social media on specific topics, often exhibiting cognitive distortions, including suicidal behaviors in extreme cases. Yet, there is a notable absence of methodologies for analyzing cognitive pathways that could aid psychotherapists in conducting effective interventions online. In this study, we gathered data from social media and established the task of extracting cognitive pathways, annotating the data based on a cognitive theoretical framework. We initially categorized the task of extracting cognitive pathways as a hierarchical text classification with four main categories and nineteen subcategories. Following this, we structured a text summarization task to help psychotherapists quickly grasp the essential information. Our experiments evaluate the performance of deep learning and large language models (LLMs) on these tasks. The results demonstrate that our deep learning method achieved a micro-F1 score of 62.34% in the hierarchical text classification task. Meanwhile, in the text summarization task, GPT-4 attained a Rouge-1 score of 54.92 and a Rouge-2 score of 30.86, surpassing the experimental deep learning model's performance. However, it may suffer from an issue of hallucination. We have made all models and codes publicly available to support further research in this field.




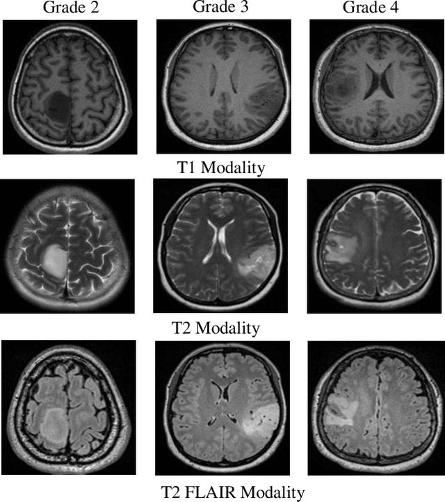
Abstract:Medical image analysis frequently encounters data scarcity challenges. Transfer learning has been effective in addressing this issue while conserving computational resources. The recent advent of foundational models like the DINOv2, which uses the vision transformer architecture, has opened new opportunities in the field and gathered significant interest. However, DINOv2's performance on clinical data still needs to be verified. In this paper, we performed a glioma grading task using three clinical modalities of brain MRI data. We compared the performance of various pre-trained deep learning models, including those based on ImageNet and DINOv2, in a transfer learning context. Our focus was on understanding the impact of the freezing mechanism on performance. We also validated our findings on three other types of public datasets: chest radiography, fundus radiography, and dermoscopy. Our findings indicate that in our clinical dataset, DINOv2's performance was not as strong as ImageNet-based pre-trained models, whereas in public datasets, DINOv2 generally outperformed other models, especially when using the frozen mechanism. Similar performance was observed with various sizes of DINOv2 models across different tasks. In summary, DINOv2 is viable for medical image classification tasks, particularly with data resembling natural images. However, its effectiveness may vary with data that significantly differs from natural images such as MRI. In addition, employing smaller versions of the model can be adequate for medical task, offering resource-saving benefits. Our codes are available at https://github.com/GuanghuiFU/medical_DINOv2_eval.
Abstract:The complexity of psychological principles underscore a significant societal challenge, given the vast social implications of psychological problems. Bridging the gap between understanding these principles and their actual clinical and real-world applications demands rigorous exploration and adept implementation. In recent times, the swift advancement of highly adaptive and reusable artificial intelligence (AI) models has emerged as a promising way to unlock unprecedented capabilities in the realm of psychology. This paper emphasizes the importance of performance validation for these large-scale AI models, emphasizing the need to offer a comprehensive assessment of their verification from diverse perspectives. Moreover, we review the cutting-edge advancements and practical implementations of these expansive models in psychology, highlighting pivotal work spanning areas such as social media analytics, clinical nursing insights, vigilant community monitoring, and the nuanced exploration of psychological theories. Based on our review, we project an acceleration in the progress of psychological fields, driven by these large-scale AI models. These future generalist AI models harbor the potential to substantially curtail labor costs and alleviate social stress. However, this forward momentum will not be without its set of challenges, especially when considering the paradigm changes and upgrades required for medical instrumentation and related applications.




Abstract:Breast cancer diagnosis challenges both patients and clinicians, with early detection being crucial for effective treatment. Ultrasound imaging plays a key role in this, but its utility is hampered by the need for precise lesion segmentation-a task that is both time-consuming and labor-intensive. To address these challenges, we propose a new framework: a morphology-enhanced, Class Activation Map (CAM)-guided model, which is optimized using a computer vision foundation model known as SAM. This innovative framework is specifically designed for weakly supervised lesion segmentation in early-stage breast ultrasound images. Our approach uniquely leverages image-level annotations, which removes the requirement for detailed pixel-level annotation. Initially, we perform a preliminary segmentation using breast lesion morphology knowledge. Following this, we accurately localize lesions by extracting semantic information through a CAM-based heatmap. These two elements are then fused together, serving as a prompt to guide the SAM in performing refined segmentation. Subsequently, post-processing techniques are employed to rectify topological errors made by the SAM. Our method not only simplifies the segmentation process but also attains accuracy comparable to supervised learning methods that rely on pixel-level annotation. Our framework achieves a Dice score of 74.39% on the test set, demonstrating compareable performance with supervised learning methods. Additionally, it outperforms a supervised learning model, in terms of the Hausdorff distance, scoring 24.27 compared to Deeplabv3+'s 32.22. These experimental results showcase its feasibility and superior performance in integrating weakly supervised learning with SAM. The code is made available at: https://github.com/YueXin18/MorSeg-CAM-SAM.