Abstract:Chronic kidney disease (CKD) is a major global health issue, affecting over 10% of the population and causing significant mortality. While kidney biopsy remains the gold standard for CKD diagnosis and treatment, the lack of comprehensive benchmarks for kidney pathology segmentation hinders progress in the field. To address this, we organized the Kidney Pathology Image Segmentation (KPIs) Challenge, introducing a dataset that incorporates preclinical rodent models of CKD with over 10,000 annotated glomeruli from 60+ Periodic Acid Schiff (PAS)-stained whole slide images. The challenge includes two tasks, patch-level segmentation and whole slide image segmentation and detection, evaluated using the Dice Similarity Coefficient (DSC) and F1-score. By encouraging innovative segmentation methods that adapt to diverse CKD models and tissue conditions, the KPIs Challenge aims to advance kidney pathology analysis, establish new benchmarks, and enable precise, large-scale quantification for disease research and diagnosis.





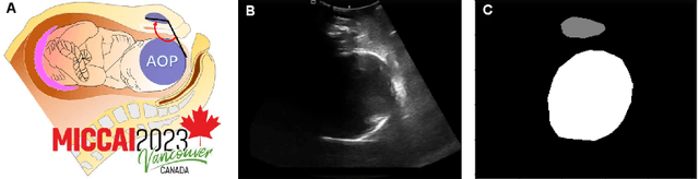
Abstract:Pubic symphysis-fetal head segmentation in transperineal ultrasound images plays a critical role for the assessment of fetal head descent and progression. Existing transformer segmentation methods based on sparse attention mechanism use handcrafted static patterns, which leads to great differences in terms of segmentation performance on specific datasets. To address this issue, we introduce a dynamic, query-aware sparse attention mechanism for ultrasound image segmentation. Specifically, we propose a novel method, named BRAU-Net to solve the pubic symphysis-fetal head segmentation task in this paper. The method adopts a U-Net-like encoder-decoder architecture with bi-level routing attention and skip connections, which effectively learns local-global semantic information. In addition, we propose an inverted bottleneck patch expanding (IBPE) module to reduce information loss while performing up-sampling operations. The proposed BRAU-Net is evaluated on FH-PS-AoP and HC18 datasets. The results demonstrate that our method could achieve excellent segmentation results. The code is available on GitHub.





Abstract:In recent years, significant progress has been made in tumor segmentation within the field of digital pathology. However, variations in organs, tissue preparation methods, and image acquisition processes can lead to domain discrepancies among digital pathology images. To address this problem, in this paper, we use Rein, a fine-tuning method, to parametrically and efficiently fine-tune various vision foundation models (VFMs) for MICCAI 2024 Cross-Organ and Cross-Scanner Adenocarcinoma Segmentation (COSAS2024). The core of Rein consists of a set of learnable tokens, which are directly linked to instances, improving functionality at the instance level in each layer. In the data environment of the COSAS2024 Challenge, extensive experiments demonstrate that Rein fine-tuned the VFMs to achieve satisfactory results. Specifically, we used Rein to fine-tune ConvNeXt and DINOv2. Our team used the former to achieve scores of 0.7719 and 0.7557 on the preliminary test phase and final test phase in task1, respectively, while the latter achieved scores of 0.8848 and 0.8192 on the preliminary test phase and final test phase in task2. Code is available at GitHub.





Abstract:Segmentation of the fetal and maternal structures, particularly intrapartum ultrasound imaging as advocated by the International Society of Ultrasound in Obstetrics and Gynecology (ISUOG) for monitoring labor progression, is a crucial first step for quantitative diagnosis and clinical decision-making. This requires specialized analysis by obstetrics professionals, in a task that i) is highly time- and cost-consuming and ii) often yields inconsistent results. The utility of automatic segmentation algorithms for biometry has been proven, though existing results remain suboptimal. To push forward advancements in this area, the Grand Challenge on Pubic Symphysis-Fetal Head Segmentation (PSFHS) was held alongside the 26th International Conference on Medical Image Computing and Computer Assisted Intervention (MICCAI 2023). This challenge aimed to enhance the development of automatic segmentation algorithms at an international scale, providing the largest dataset to date with 5,101 intrapartum ultrasound images collected from two ultrasound machines across three hospitals from two institutions. The scientific community's enthusiastic participation led to the selection of the top 8 out of 179 entries from 193 registrants in the initial phase to proceed to the competition's second stage. These algorithms have elevated the state-of-the-art in automatic PSFHS from intrapartum ultrasound images. A thorough analysis of the results pinpointed ongoing challenges in the field and outlined recommendations for future work. The top solutions and the complete dataset remain publicly available, fostering further advancements in automatic segmentation and biometry for intrapartum ultrasound imaging.





Abstract:Accurate medical image segmentation is essential for clinical quantification, disease diagnosis, treatment planning and many other applications. Both convolution-based and transformer-based u-shaped architectures have made significant success in various medical image segmentation tasks. The former can efficiently learn local information of images while requiring much more image-specific inductive biases inherent to convolution operation. The latter can effectively capture long-range dependency at different feature scales using self-attention, whereas it typically encounters the challenges of quadratic compute and memory requirements with sequence length increasing. To address this problem, through integrating the merits of these two paradigms in a well-designed u-shaped architecture, we propose a hybrid yet effective CNN-Transformer network, named BRAU-Net++, for an accurate medical image segmentation task. Specifically, BRAU-Net++ uses bi-level routing attention as the core building block to design our u-shaped encoder-decoder structure, in which both encoder and decoder are hierarchically constructed, so as to learn global semantic information while reducing computational complexity. Furthermore, this network restructures skip connection by incorporating channel-spatial attention which adopts convolution operations, aiming to minimize local spatial information loss and amplify global dimension-interaction of multi-scale features. Extensive experiments on three public benchmark datasets demonstrate that our proposed approach surpasses other state-of-the-art methods including its baseline: BRAU-Net under almost all evaluation metrics. We achieve the average Dice-Similarity Coefficient (DSC) of 82.47, 90.10, and 92.94 on Synapse multi-organ segmentation, ISIC-2018 Challenge, and CVC-ClinicDB, as well as the mIoU of 84.01 and 88.17 on ISIC-2018 Challenge and CVC-ClinicDB, respectively.





Abstract:In this paper, we propose a method, named BRAU-Net, to solve the pubic symphysis-fetal head segmentation task. The method adopts a U-Net-like pure Transformer architecture with bi-level routing attention and skip connections, which effectively learns local-global semantic information. The proposed BRAU-Net was evaluated on transperineal Ultrasound images dataset from the pubic symphysis-fetal head segmentation and angle of progression (FH-PS-AOP) challenge. The results demonstrate that the proposed BRAU-Net achieves comparable a final score. The codes will be available at https://github.com/Caipengzhou/BRAU-Net.
