PARIETAL, NEUROSPIN




Abstract:Implicit deep learning has recently gained popularity with applications ranging from meta-learning to Deep Equilibrium Networks (DEQs). In its general formulation, it relies on expressing some components of deep learning pipelines implicitly, typically via a root equation called the inner problem. In practice, the solution of the inner problem is approximated during training with an iterative procedure, usually with a fixed number of inner iterations. During inference, the inner problem needs to be solved with new data. A popular belief is that increasing the number of inner iterations compared to the one used during training yields better performance. In this paper, we question such an assumption and provide a detailed theoretical analysis in a simple setting. We demonstrate that overparametrization plays a key role: increasing the number of iterations at test time cannot improve performance for overparametrized networks. We validate our theory on an array of implicit deep-learning problems. DEQs, which are typically overparametrized, do not benefit from increasing the number of iterations at inference while meta-learning, which is typically not overparametrized, benefits from it.




Abstract:Numerical validation is at the core of machine learning research as it allows to assess the actual impact of new methods, and to confirm the agreement between theory and practice. Yet, the rapid development of the field poses several challenges: researchers are confronted with a profusion of methods to compare, limited transparency and consensus on best practices, as well as tedious re-implementation work. As a result, validation is often very partial, which can lead to wrong conclusions that slow down the progress of research. We propose Benchopt, a collaborative framework to automate, reproduce and publish optimization benchmarks in machine learning across programming languages and hardware architectures. Benchopt simplifies benchmarking for the community by providing an off-the-shelf tool for running, sharing and extending experiments. To demonstrate its broad usability, we showcase benchmarks on three standard learning tasks: $\ell_2$-regularized logistic regression, Lasso, and ResNet18 training for image classification. These benchmarks highlight key practical findings that give a more nuanced view of the state-of-the-art for these problems, showing that for practical evaluation, the devil is in the details. We hope that Benchopt will foster collaborative work in the community hence improving the reproducibility of research findings.




Abstract:Compressed sensing (CS) in Magnetic resonance Imaging (MRI) essentially involves the optimization of 1) the sampling pattern in k-space under MR hardware constraints and 2) image reconstruction from the undersampled k-space data. Recently, deep learning methods have allowed the community to address both problems simultaneously, especially in the non-Cartesian acquisition setting. This paper aims to contribute to this field by tackling some major concerns in existing approaches.Regarding the learning of the sampling pattern, we perform ablation studies using parameter-free reconstructions like the density compensated (DCp) adjoint operator of the nonuniform fast Fourier transform (NUFFT) to ensure that the learned k-space trajectories actually sample the center of k-space densely. Additionally we optimize these trajectories by embedding a projected gradient descent algorithm over the hardware MR constraints. Later, we introduce a novel hybrid learning approach that operates across multiple resolutions to jointly optimize the reconstruction network and the k-space trajectory and present improved image reconstruction quality at 20-fold acceleration factor on T1 and T2-weighted images on the fastMRI dataset with SSIM scores of nearly 0.92-0.95 in our retrospective studies.




Abstract:In recent years, implicit deep learning has emerged as a method to increase the depth of deep neural networks. While their training is memory-efficient, they are still significantly slower to train than their explicit counterparts. In Deep Equilibrium Models (DEQs), the training is performed as a bi-level problem, and its computational complexity is partially driven by the iterative inversion of a huge Jacobian matrix. In this paper, we propose a novel strategy to tackle this computational bottleneck from which many bi-level problems suffer. The main idea is to use the quasi-Newton matrices from the forward pass to efficiently approximate the inverse Jacobian matrix in the direction needed for the gradient computation. We provide a theorem that motivates using our method with the original forward algorithms. In addition, by modifying these forward algorithms, we further provide theoretical guarantees that our method asymptotically estimates the true implicit gradient. We empirically study this approach in many settings, ranging from hyperparameter optimization to large Multiscale DEQs applied to CIFAR and ImageNet. We show that it reduces the computational cost of the backward pass by up to two orders of magnitude. All this is achieved while retaining the excellent performance of the original models in hyperparameter optimization and on CIFAR, and giving encouraging and competitive results on ImageNet.




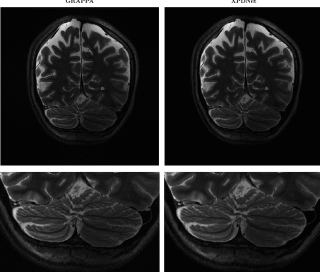
Abstract:We perform a qualitative analysis of performance of XPDNet, a state-of-the-art deep learning approach for MRI reconstruction, compared to GRAPPA, a classical approach. We do this in multiple settings, in particular testing the robustness of the XPDNet to unseen settings, and show that the XPDNet can to some degree generalize well.




Abstract:The SPARKLING algorithm was originally developed for accelerated 2D magnetic resonance imaging (MRI) in the compressed sensing (CS) context. It yields non-Cartesian sampling trajectories that jointly fulfill a target sampling density while each individual trajectory complies with MR hardware constraints. However, the two main limitations of SPARKLING are first that the optimal target sampling density is unknown and thus a user-defined parameter and second that this sampling pattern generation remains disconnected from MR image reconstruction thus from the optimization of image quality. Recently, datadriven learning schemes such as LOUPE have been proposed to learn a discrete sampling pattern, by jointly optimizing the whole pipeline from data acquisition to image reconstruction. In this work, we merge these methods with a state-of-the-art deep neural network for image reconstruction, called XPDNET, to learn the optimal target sampling density. Next, this density is used as input parameter to SPARKLING to obtain 20x accelerated non-Cartesian trajectories. These trajectories are tested on retrospective compressed sensing (CS) studies and show superior performance in terms of image quality with both deep learning (DL) and conventional CS reconstruction schemes.




Abstract:Deep neural networks have recently been thoroughly investigated as a powerful tool for MRI reconstruction. There is a lack of research, however, regarding their use for a specific setting of MRI, namely non-Cartesian acquisitions. In this work, we introduce a novel kind of deep neural networks to tackle this problem, namely density compensated unrolled neural networks, which rely on Density Compensation to correct the uneven weighting of the k-space. We assess their efficiency on the publicly available fastMRI dataset, and perform a small ablation study. Our results show that the density-compensated unrolled neural networks outperform the different baselines, and that all parts of the design are needed. We also open source our code, in particular a Non-Uniform Fast Fourier transform for TensorFlow.




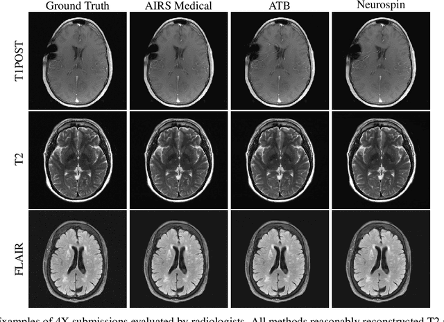
Abstract:Accelerating MRI scans is one of the principal outstanding problems in the MRI research community. Towards this goal, we hosted the second fastMRI competition targeted towards reconstructing MR images with subsampled k-space data. We provided participants with data from 7,299 clinical brain scans (de-identified via a HIPAA-compliant procedure by NYU Langone Health), holding back the fully-sampled data from 894 of these scans for challenge evaluation purposes. In contrast to the 2019 challenge, we focused our radiologist evaluations on pathological assessment in brain images. We also debuted a new Transfer track that required participants to submit models evaluated on MRI scanners from outside the training set. We received 19 submissions from eight different groups. Results showed one team scoring best in both SSIM scores and qualitative radiologist evaluations. We also performed analysis on alternative metrics to mitigate the effects of background noise and collected feedback from the participants to inform future challenges. Lastly, we identify common failure modes across the submissions, highlighting areas of need for future research in the MRI reconstruction community.


Abstract:Deep neural networks have proven extremely efficient at solving a wide rangeof inverse problems, but most often the uncertainty on the solution they provideis hard to quantify. In this work, we propose a generic Bayesian framework forsolving inverse problems, in which we limit the use of deep neural networks tolearning a prior distribution on the signals to recover. We adopt recent denoisingscore matching techniques to learn this prior from data, and subsequently use it aspart of an annealed Hamiltonian Monte-Carlo scheme to sample the full posteriorof image inverse problems. We apply this framework to Magnetic ResonanceImage (MRI) reconstruction and illustrate how this approach not only yields highquality reconstructions but can also be used to assess the uncertainty on particularfeatures of a reconstructed image.

Abstract:We present a modular cross-domain neural network the XPDNet and its application to the MRI reconstruction task. This approach consists in unrolling the PDHG algorithm as well as learning the acceleration scheme between steps. We also adopt state-of-the-art techniques specific to Deep Learning for MRI reconstruction. At the time of writing, this approach is the best performer in PSNR on the fastMRI leaderboards for both knee and brain at acceleration factor 4.