



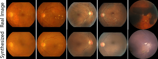
Abstract:Though deep learning has shown successful performance in classifying the label and severity stage of certain diseases, most of them give few explanations on how to make predictions. Inspired by Koch's Postulates, the foundation in evidence-based medicine (EBM) to identify the pathogen, we propose to exploit the interpretability of deep learning application in medical diagnosis. By determining and isolating the neuron activation patterns on which diabetic retinopathy (DR) detector relies to make decisions, we demonstrate the direct relation between the isolated neuron activation and lesions for a pathological explanation. To be specific, we first define novel pathological descriptors using activated neurons of the DR detector to encode both spatial and appearance information of lesions. Then, to visualize the symptom encoded in the descriptor, we propose Patho-GAN, a new network to synthesize medically plausible retinal images. By manipulating these descriptors, we could even arbitrarily control the position, quantity, and categories of generated lesions. We also show that our synthesized images carry the symptoms directly related to diabetic retinopathy diagnosis. Our generated images are both qualitatively and quantitatively superior to the ones by previous methods. Besides, compared to existing methods that take hours to generate an image, our second level speed endows the potential to be an effective solution for data augmentation.




Abstract:Deep neural networks (DNNs) have become popular for medical image analysis tasks like cancer diagnosis and lesion detection. However, a recent study demonstrates that medical deep learning systems can be compromised by carefully-engineered adversarial examples/attacks, i.e., small imperceptible perturbations can fool DNNs to predict incorrectly. This raises safety concerns about the deployment of deep learning systems in clinical settings. In this paper, we provide a deeper understanding of adversarial examples in the context of medical images. We find that medical DNN models can be more vulnerable to adversarial attacks compared to natural ones from three different viewpoints: 1) medical image DNNs that have only a few classes are generally easier to be attacked; 2) the complex biological textures of medical images may lead to more vulnerable regions; and most importantly, 3) state-of-the-art deep networks designed for large-scale natural image processing can be overparameterized for medical imaging tasks and result in high vulnerability to adversarial attacks. Surprisingly, we also find that medical adversarial attacks can be easily detected, i.e., simple detectors can achieve over 98% detection AUCs against state-of-the-art attacks, due to their fundamental feature difference from normal examples. We show this is because adversarial attacks tend to attack a wide spread area outside the pathological regions, which results in deep features that are fundamentally different and easily separable from normal features. We believe these findings may be a useful basis to approach the design of secure medical deep learning systems.




Abstract:Though deep learning has shown successful performance in classifying the label and severity stage of certain disease, most of them give few evidence on how to make prediction. Here, we propose to exploit the interpretability of deep learning application in medical diagnosis. Inspired by Koch's Postulates, a well-known strategy in medical research to identify the property of pathogen, we define a pathological descriptor that can be extracted from the activated neurons of a diabetic retinopathy detector. To visualize the symptom and feature encoded in this descriptor, we propose a GAN based method to synthesize pathological retinal image given the descriptor and a binary vessel segmentation. Besides, with this descriptor, we can arbitrarily manipulate the position and quantity of lesions. As verified by a panel of 5 licensed ophthalmologists, our synthesized images carry the symptoms that are directly related to diabetic retinopathy diagnosis. The panel survey also shows that our generated images is both qualitatively and quantitatively superior to existing methods.