Abstract:Bayesian inference is a powerful tool for parameter estimation and uncertainty quantification in dynamical systems. However, for nonlinear oscillator networks such as Kuramoto models, widely used to study synchronization phenomena in physics, biology, and engineering, inference is often computationally prohibitive due to high-dimensional state spaces and intractable likelihood functions. We present an amortized Bayesian inference approach that learns a neural approximation of the posterior from simulated phase dynamics, enabling fast, scalable inference without repeated sampling or optimization. Applied to synthetic Kuramoto networks, the method shows promising results in approximating posterior distributions and capturing uncertainty, with computational savings compared to traditional Bayesian techniques. These findings suggest that amortized inference is a practical and flexible framework for uncertainty-aware analysis of oscillator networks.
Abstract:Neural networks are a commonly used approach to replace physical models with computationally cheap surrogates. Parametric uncertainty quantification can be included in training, assuming that an accurate prior distribution of the model parameters is available. Here we study the common opposite situation, where direct screening or random sampling of model parameters leads to exhaustive training times and evaluations at unphysical parameter values. Our solution is to decouple uncertainty quantification from network architecture. Instead of sampling network weights, we introduce the model-parameter distribution as an input to network training via Markov chain Monte Carlo (MCMC). In this way, the surrogate achieves the same uncertainty quantification as the underlying physical model, but with substantially reduced computation time. The approach is fully agnostic with respect to the neural network choice. In our examples, we present a quantile emulator for prediction and a novel autoencoder-based ODE network emulator that can flexibly estimate different trajectory paths corresponding to different ODE model parameters. Moreover, we present a mathematical analysis that provides a transparent way to relate potential performance loss to measurable distribution mismatch.




Abstract:Detecting localized density differences in multivariate data is a crucial task in computational science. Such anomalies can indicate a critical system failure, lead to a groundbreaking scientific discovery, or reveal unexpected changes in data distribution. We introduce EagleEye, an anomaly detection method to compare two multivariate datasets with the aim of identifying local density anomalies, namely over- or under-densities affecting only localised regions of the feature space. Anomalies are detected by modelling, for each point, the ordered sequence of its neighbours' membership label as a coin-flipping process and monitoring deviations from the expected behaviour of such process. A unique advantage of our method is its ability to provide an accurate, entirely unsupervised estimate of the local signal purity. We demonstrate its effectiveness through experiments on both synthetic and real-world datasets. In synthetic data, EagleEye accurately detects anomalies in multiple dimensions even when they affect a tiny fraction of the data. When applied to a challenging resonant anomaly detection benchmark task in simulated Large Hadron Collider data, EagleEye successfully identifies particle decay events present in just 0.3% of the dataset. In global temperature data, EagleEye uncovers previously unidentified, geographically localised changes in temperature fields that occurred in the most recent years. Thanks to its key advantages of conceptual simplicity, computational efficiency, trivial parallelisation, and scalability, EagleEye is widely applicable across many fields.
Abstract:Cellular automata (CA) models are widely used to simulate complex systems with emergent behaviors, but identifying hidden parameters that govern their dynamics remains a significant challenge. This study explores the use of Convolutional Neural Networks (CNN) to identify jump parameters in a two-dimensional CA model. We propose a custom CNN architecture trained on CA-generated data to classify jump parameters, which dictates the neighborhood size and movement rules of cells within the CA. Experiments were conducted across varying domain sizes (25 x 25 to 150 x 150) and CA iterations (0 to 50), demonstrating that the accuracy improves with larger domain sizes, as they provide more spatial information for parameter estimation. Interestingly, while initial CA iterations enhance the performance, increasing the number of iterations beyond a certain threshold does not significantly improve accuracy, suggesting that only specific temporal information is relevant for parameter identification. The proposed CNN achieves competitive accuracy (89.31) compared to established architectures like LeNet-5 and AlexNet, while offering significantly faster inference times, making it suitable for real-time applications. This study highlights the potential of CNNs as a powerful tool for fast and accurate parameter estimation in CA models, paving the way for their use in more complex systems and higher-dimensional domains. Future work will explore the identification of multiple hidden parameters and extend the approach to three-dimensional CA models.




Abstract:Kernel-based statistical methods are efficient, but their performance depends heavily on the selection of kernel parameters. In literature, the optimization studies on kernel-based chemometric methods is limited and often reduced to grid searching. Previously, the authors introduced Kernel Flows (KF) to learn kernel parameters for Kernel Partial Least-Squares (K-PLS) regression. KF is easy to implement and helps minimize overfitting. In cases of high collinearity between spectra and biogeophysical quantities in spectroscopy, simpler methods like Principal Component Regression (PCR) may be more suitable. In this study, we propose a new KF-type approach to optimize Kernel Principal Component Regression (K-PCR) and test it alongside KF-PLS. Both methods are benchmarked against non-linear regression techniques using two hyperspectral remote sensing datasets.




Abstract:Partial Least-Squares (PLS) Regression is a widely used tool in chemometrics for performing multivariate regression. PLS is a bi-linear method that has a limited capacity of modelling non-linear relations between the predictor variables and the response. Kernel PLS (K-PLS) has been introduced for modelling non-linear predictor-response relations. In K-PLS, the input data is mapped via a kernel function to a Reproducing Kernel Hilbert space (RKH), where the dependencies between the response and the input matrix are assumed to be linear. K-PLS is performed in the RKH space between the kernel matrix and the dependent variable. Most available studies use fixed kernel parameters. Only a few studies have been conducted on optimizing the kernel parameters for K-PLS. In this article, we propose a methodology for the kernel function optimization based on Kernel Flows (KF), a technique developed for Gaussian process regression (GPR). The results are illustrated with four case studies. The case studies represent both numerical examples and real data used in classification and regression tasks. K-PLS optimized with KF, called KF-PLS in this study, is shown to yield good results in all illustrated scenarios. The paper presents cross-validation studies and hyperparameter analysis of the KF methodology when applied to K-PLS.




Abstract:In industrial applications it is common to scan objects on a moving conveyor belt. If slice-wise 2D computed tomography (CT) measurements of the moving object are obtained we call it a sequential scanning geometry. In this case, each slice on its own does not carry sufficient information to reconstruct a useful tomographic image. Thus, here we propose the use of a Dimension reduced Kalman Filter to accumulate information between slices and allow for sufficiently accurate reconstructions for further assessment of the object. Additionally, we propose to use an unsupervised clustering approach known as Density Peak Advanced, to perform a segmentation and spot density anomalies in the internal structure of the reconstructed objects. We evaluate the method in a proof of concept study for the application of wood log scanning for the industrial sawing process, where the goal is to spot anomalies within the wood log to allow for optimal sawing patterns. Reconstruction and segmentation quality is evaluated from experimental measurement data for various scenarios of severely undersampled X-measurements. Results show clearly that an improvement of reconstruction quality can be obtained by employing the Dimension reduced Kalman Filter allowing to robustly obtain the segmented logs.




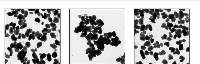
Abstract:Segmentation of overlapping convex objects has various applications, for example, in nanoparticles and cell imaging. Often the segmentation method has to rely purely on edges between the background and foreground making the analyzed images essentially silhouette images. Therefore, to segment the objects, the method needs to be able to resolve the overlaps between multiple objects by utilizing prior information about the shape of the objects. This paper introduces a novel method for segmentation of clustered partially overlapping convex objects in silhouette images. The proposed method involves three main steps: pre-processing, contour evidence extraction, and contour estimation. Contour evidence extraction starts by recovering contour segments from a binarized image by detecting concave points. After this, the contour segments which belong to the same objects are grouped. The grouping is formulated as a combinatorial optimization problem and solved using the branch and bound algorithm. Finally, the full contours of the objects are estimated by a Gaussian process regression method. The experiments on a challenging dataset consisting of nanoparticles demonstrate that the proposed method outperforms three current state-of-art approaches in overlapping convex objects segmentation. The method relies only on edge information and can be applied to any segmentation problems where the objects are partially overlapping and have a convex shape.