Abstract:Trajectory inference investigates how to interpolate paths between observed timepoints of dynamical systems, such as temporally resolved population distributions, with the goal of inferring trajectories at unseen times and better understanding system dynamics. Previous work has focused on continuous geometric priors, utilizing data-dependent spatial features to define a Riemannian metric. In many applications, there exists discrete, directed prior knowledge over admissible transitions (e.g. lineage trees in developmental biology). We introduce a Finsler metric that combines geometry with classification and incorporate both types of priors in trajectory inference, yielding improved performance on interpolation tasks in synthetic and real-world data.
Abstract:Observational causal discovery is only identifiable up to the Markov equivalence class. While interventions can reduce this ambiguity, in practice interventions are often soft with multiple unknown targets. In many realistic scenarios, only a single intervention regime is observed. We propose a scalable causal discovery model for paired observational and interventional settings with shared underlying causal structure and unknown soft interventions. The model aggregates subset-level PDAGs and applies contrastive cross-regime orientation rules to construct a globally consistent maximal PDAG under Meek closure, enabling generalization to both in-distribution and out-of-distribution settings. Theoretically, we prove that our model is sound with respect to a restricted $Ψ$ equivalence class induced solely by the information available in the subset-restricted setting. We further show that the model asymptotically recovers the corresponding identifiable PDAG and can orient additional edges compared to non-contrastive subset-restricted methods. Experiments on synthetic data demonstrate improved causal structure recovery, generalization to unseen graphs with held-out causal mechanisms, and scalability to larger graphs, with ablations supporting the theoretical results.
Abstract:We study identifiability of stochastic differential equation (SDE) models under multiple interventions. Our results give the first provable bounds for unique recovery of SDE parameters given samples from their stationary distributions. We give tight bounds on the number of necessary interventions for linear SDEs, and upper bounds for nonlinear SDEs in the small noise regime. We experimentally validate the recovery of true parameters in synthetic data, and motivated by our theoretical results, demonstrate the advantage of parameterizations with learnable activation functions.




Abstract:Modern high-throughput biological datasets with thousands of perturbations provide the opportunity for large-scale discovery of causal graphs that represent the regulatory interactions between genes. Numerous methods have been proposed to infer a directed acyclic graph (DAG) corresponding to the underlying gene regulatory network (GRN) that captures causal gene relationships. However, existing models have restrictive assumptions (e.g. linearity, acyclicity), limited scalability, and/or fail to address the dynamic nature of biological processes such as cellular differentiation. We propose PerturbODE, a novel framework that incorporates biologically informative neural ordinary differential equations (neural ODEs) to model cell state trajectories under perturbations and derive the causal GRN from the neural ODE's parameters. We demonstrate PerturbODE's efficacy in trajectory prediction and GRN inference across simulated and real over-expression datasets.
Abstract:We introduced a new framework to detect perceptual bugs using a Long Short-Term Memory (LSTM) network, which detects bugs in video games as anomalies. The detected buggy frames are then clustered to determine the category of the occurred bug. The framework was evaluated on two First Person Shooter (FPS) games. Results show the effectiveness of the framework.
Abstract:Inferring causal relationships as directed acyclic graphs (DAGs) is an important but challenging problem. Differentiable Causal Discovery (DCD) is a promising approach to this problem, framing the search as a continuous optimization. But existing DCD methods are numerically unstable, with poor performance beyond tens of variables. In this paper, we propose Stable Differentiable Causal Discovery (SDCD), a new method that improves previous DCD methods in two ways: (1) It employs an alternative constraint for acyclicity; this constraint is more stable, both theoretically and empirically, and fast to compute. (2) It uses a training procedure tailored for sparse causal graphs, which are common in real-world scenarios. We first derive SDCD and prove its stability and correctness. We then evaluate it with both observational and interventional data and on both small-scale and large-scale settings. We find that SDCD outperforms existing methods in both convergence speed and accuracy and can scale to thousands of variables.




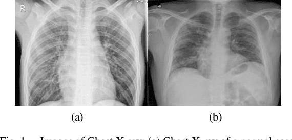
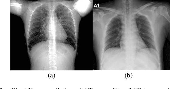
Abstract:Spreading of COVID-19 virus has increased the efforts to provide testing kits. Not only the preparation of these kits had been hard, rare, and expensive but also using them is another issue. Results have shown that these kits take some crucial time to recognize the virus, in addition to the fact that they encounter with 30% loss. In this paper, we have studied the usage of x-ray pictures which are ubiquitous, for the classification of COVID-19 chest Xray images, by the existing convolutional neural networks (CNNs). We intend to train chest x-rays of infected and not infected ones with different CNNs architectures including VGG19, Densnet-121, and Xception. Training these architectures resulted in different accuracies which were much faster and more precise than usual ways of testing.




Abstract:We present a Bayesian hierarchical multi-view mixture model termed Symphony that simultaneously learns clusters of cells representing cell types and their underlying gene regulatory networks by integrating data from two views: single-cell gene expression data and paired epigenetic data, which is informative of gene-gene interactions. This model improves interpretation of clusters as cell types with similar expression patterns as well as regulatory networks driving expression, by explaining gene-gene covariances with the biological machinery regulating gene expression. We show the theoretical advantages of the multi-view learning approach and present a Variational EM inference procedure. We demonstrate superior performance on both synthetic data and real genomic data with subtypes of peripheral blood cells compared to other methods.




Abstract:A standard technique for understanding underlying dependency structures among a set of variables posits a shared conditional probability distribution for the variables measured on individuals within a group. This approach is often referred to as module networks, where individuals are represented by nodes in a network, groups are termed modules, and the focus is on estimating the network structure among modules. However, estimation solely from node-specific variables can lead to spurious dependencies, and unverifiable structural assumptions are often used for regularization. Here, we propose an extended model that leverages direct observations about the network in addition to node-specific variables. By integrating complementary data types, we avoid the need for structural assumptions. We illustrate theoretical and practical significance of the model and develop a reversible-jump MCMC learning procedure for learning modules and model parameters. We demonstrate the method accuracy in predicting modular structures from synthetic data and capability to learn influence structures in twitter data and regulatory modules in the Mycobacterium tuberculosis gene regulatory network.