

Abstract:As the COVID-19 pandemic continues to devastate globally, one promising field of research is machine learning-driven computer vision to streamline various parts of the COVID-19 clinical workflow. These machine learning methods are typically stand-alone models designed without consideration for the integration necessary for real-world application workflows. In this study, we take a machine learning and systems (MLSys) perspective to design a system for COVID-19 patient screening with the clinical workflow in mind. The COVID-Net system is comprised of the continuously evolving COVIDx dataset, COVID-Net deep neural network for COVID-19 patient detection, and COVID-Net S deep neural networks for disease severity scoring for COVID-19 positive patient cases. The deep neural networks within the COVID-Net system possess state-of-the-art performance, and are designed to be integrated within a user interface (UI) for clinical decision support with automatic report generation to assist clinicians in their treatment decisions.




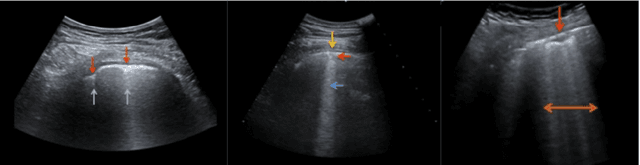
Abstract:The Coronavirus Disease 2019 (COVID-19) pandemic has impacted many aspects of life globally, and a critical factor in mitigating its effects is screening individuals for infections, thereby allowing for both proper treatment for those individuals as well as action to be taken to prevent further spread of the virus. Point-of-care ultrasound (POCUS) imaging has been proposed as a screening tool as it is a much cheaper and easier to apply imaging modality than others that are traditionally used for pulmonary examinations, namely chest x-ray and computed tomography. Given the scarcity of expert radiologists for interpreting POCUS examinations in many highly affected regions around the world, low-cost deep learning-driven clinical decision support solutions can have a large impact during the on-going pandemic. Motivated by this, we introduce COVID-Net US, a highly efficient, self-attention deep convolutional neural network design tailored for COVID-19 screening from lung POCUS images. Experimental results show that the proposed COVID-Net US can achieve an AUC of over 0.98 while achieving 353X lower architectural complexity, 62X lower computational complexity, and 14.3X faster inference times on a Raspberry Pi. Clinical validation was also conducted, where select cases were reviewed and reported on by a practicing clinician (20 years of clinical practice) specializing in intensive care (ICU) and 15 years of expertise in POCUS interpretation. To advocate affordable healthcare and artificial intelligence for resource-constrained environments, we have made COVID-Net US open source and publicly available as part of the COVID-Net open source initiative.




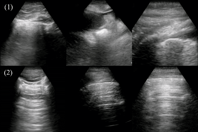
Abstract:The COVID-19 pandemic continues to have a devastating effect on the health and well-being of the global population. Apart from the global health crises, the pandemic has also caused significant economic and financial difficulties and socio-physiological implications. Effective screening, triage, treatment planning, and prognostication of outcome plays a key role in controlling the pandemic. Recent studies have highlighted the role of point-of-care ultrasound imaging for COVID-19 screening and prognosis, particularly given that it is non-invasive, globally available, and easy-to-sanitize. Motivated by these attributes and the promise of artificial intelligence tools to aid clinicians, we introduce COVIDx-US, an open-access benchmark dataset of COVID-19 related ultrasound imaging data that is the largest of its kind. The COVIDx-US dataset was curated from multiple sources and consists of 93 lung ultrasound videos and 10,774 processed images of patients infected with SARS-CoV-2 pneumonia, non-SARS-CoV-2 pneumonia, as well as healthy control cases. The dataset was systematically processed and validated specifically for the purpose of building and evaluating artificial intelligence algorithms and models.




Abstract:Malnutrition impacts quality of life and places annually-recurring burden on the health care system. Half of older adults are at risk for malnutrition in long-term care (LTC). Monitoring and measuring nutritional intake is paramount yet involves time-consuming and subjective visual assessment, limiting current methods' reliability. The opportunity for automatic image-based estimation exists. Some progress outside LTC has been made (e.g., calories consumed, food classification), however, these methods have not been implemented in LTC, potentially due to a lack of ability to independently evaluate automatic segmentation methods within the intake estimation pipeline. Here, we propose and evaluate a novel fully-automatic semantic segmentation method for pixel-level classification of food on a plate using a deep convolutional neural network (DCNN). The macroarchitecture of the DCNN is a multi-scale encoder-decoder food network (EDFN) architecture comprising a residual encoder microarchitecture, a pyramid scene parsing decoder microarchitecture, and a specialized per-pixel food/no-food classification layer. The network was trained and validated on the pre-labelled UNIMIB 2016 food dataset (1027 tray images, 73 categories), and tested on our novel LTC plate dataset (390 plate images, 9 categories). Our fully-automatic segmentation method attained similar intersection over union to the semi-automatic graph cuts (91.2% vs. 93.7%). Advantages of our proposed system include: testing on a novel dataset, decoupled error analysis, no user-initiated annotations, with similar segmentation accuracy and enhanced reliability in terms of types of segmentation errors. This may address several short-comings currently limiting utility of automated food intake tracking in time-constrained LTC and hospital settings.