Abstract:This work introduces Hybrid Sparse Attention (HySparse), a new architecture that interleaves each full attention layer with several sparse attention layers. While conceptually simple, HySparse strategically derives each sparse layer's token selection and KV caches directly from the preceding full attention layer. This architecture resolves two fundamental limitations of prior sparse attention methods. First, conventional approaches typically rely on additional proxies to predict token importance, introducing extra complexity and potentially suboptimal performance. In contrast, HySparse uses the full attention layer as a precise oracle to identify important tokens. Second, existing sparse attention designs often reduce computation without saving KV cache. HySparse enables sparse attention layers to reuse the full attention KV cache, thereby reducing both computation and memory. We evaluate HySparse on both 7B dense and 80B MoE models. Across all settings, HySparse consistently outperforms both full attention and hybrid SWA baselines. Notably, in the 80B MoE model with 49 total layers, only 5 layers employ full attention, yet HySparse achieves substantial performance gains while reducing KV cache storage by nearly 10x.
Abstract:We present MiMo-V2-Flash, a Mixture-of-Experts (MoE) model with 309B total parameters and 15B active parameters, designed for fast, strong reasoning and agentic capabilities. MiMo-V2-Flash adopts a hybrid attention architecture that interleaves Sliding Window Attention (SWA) with global attention, with a 128-token sliding window under a 5:1 hybrid ratio. The model is pre-trained on 27 trillion tokens with Multi-Token Prediction (MTP), employing a native 32k context length and subsequently extended to 256k. To efficiently scale post-training compute, MiMo-V2-Flash introduces a novel Multi-Teacher On-Policy Distillation (MOPD) paradigm. In this framework, domain-specialized teachers (e.g., trained via large-scale reinforcement learning) provide dense and token-level reward, enabling the student model to perfectly master teacher expertise. MiMo-V2-Flash rivals top-tier open-weight models such as DeepSeek-V3.2 and Kimi-K2, despite using only 1/2 and 1/3 of their total parameters, respectively. During inference, by repurposing MTP as a draft model for speculative decoding, MiMo-V2-Flash achieves up to 3.6 acceptance length and 2.6x decoding speedup with three MTP layers. We open-source both the model weights and the three-layer MTP weights to foster open research and community collaboration.




Abstract:Purpose: To develop biophysics-based method for estimating perfusion Q from arterial spin labeling (ASL) images using deep learning. Methods: A 3D U-Net (QTMnet) was trained to estimate perfusion from 4D tracer propagation images. The network was trained and tested on simulated 4D tracer concentration data based on artificial vasculature structure generated by constrained constructive optimization (CCO) method. The trained network was further tested in a synthetic brain ASL image based on vasculature network extracted from magnetic resonance (MR) angiography. The estimations from both trained network and a conventional kinetic model were compared in ASL images acquired from eight healthy volunteers. Results: QTMnet accurately reconstructed perfusion Q from concentration data. Relative error of the synthetic brain ASL image was 7.04% for perfusion Q, lower than the error using single-delay ASL model: 25.15% for Q, and multi-delay ASL model: 12.62% for perfusion Q. Conclusion: QTMnet provides accurate estimation on perfusion parameters and is a promising approach as a clinical ASL MRI image processing pipeline.
Abstract:Purpose: To develop a method for rapid sub-millimeter T1, T2, T2* and QSM mapping in a single scan using multi-contrast Learned Acquisition and Reconstruction Optimization (mcLARO). Methods: A pulse sequence was developed by interleaving inversion recovery and T2 magnetization preparations and single-echo and multi-echo gradient echo acquisitions, which sensitized k-space data to T1, T2, T2* and magnetic susceptibility. The proposed mcLARO used a deep learning framework to optimize both the multi-contrast k-space under-sampling pattern and the image reconstruction based on image feature fusion. The proposed mcLARO method with R=8 under-sampling was validated in a retrospective ablation study using fully sampled data as reference and evaluated in a prospective study using separately acquired conventionally sampled quantitative maps as reference standard. Results: The retrospective ablation study showed improved image sharpness of mcLARO compared to the baseline network without multi-contrast sampling pattern optimization or image feature fusion, and negligible bias and narrow 95% limits of agreement on regional T1, T2, T2* and QSM values were obtained by the under-sampled reconstructions compared to the fully sampled reconstruction. The prospective study showed small or negligible bias and narrow 95% limits of agreement on regional T1, T2, T2* and QSM values by mcLARO (5:39 mins) compared to reference scans (40:03 mins in total). Conclusion: mcLARO enabled fast sub-millimeter T1, T2, T2* and QSM mapping in a single scan.




Abstract:Multiple sclerosis (MS) lesions occupy a small fraction of the brain volume, and are heterogeneous with regards to shape, size and locations, which poses a great challenge for training deep learning based segmentation models. We proposed a new geometric loss formula to address the data imbalance and exploit the geometric property of MS lesions. We showed that traditional region-based and boundary-aware loss functions can be associated with the formula. We further develop and instantiate two loss functions containing first- and second-order geometric information of lesion regions to enforce regularization on optimizing deep segmentation models. Experimental results on two MS lesion datasets with different scales, acquisition protocols and resolutions demonstrated the superiority of our proposed methods compared to other state-of-the-art methods.




Abstract:Recently, 3D medical image reconstruction (MIR) and segmentation (MIS) based on deep neural networks have been developed with promising results, and attention mechanism has been further designed to capture global contextual information for performance enhancement. However, the large size of 3D volume images poses a great computational challenge to traditional attention methods. In this paper, we propose a folded attention (FA) approach to improve the computational efficiency of traditional attention methods on 3D medical images. The main idea is that we apply tensor folding and unfolding operations with four permutations to build four small sub-affinity matrices to approximate the original affinity matrix. Through four consecutive sub-attention modules of FA, each element in the feature tensor can aggregate spatial-channel information from all other elements. Compared to traditional attention methods, with moderate improvement of accuracy, FA can substantially reduce the computational complexity and GPU memory consumption. We demonstrate the superiority of our method on two challenging tasks for 3D MIR and MIS, which are quantitative susceptibility mapping and multiple sclerosis lesion segmentation.




Abstract:The previously established LOUPE (Learning-based Optimization of the Under-sampling Pattern) framework for optimizing the k-space sampling pattern in MRI was extended in three folds: firstly, fully sampled multi-coil k-space data from the scanner, rather than simulated k-space data from magnitude MR images in LOUPE, was retrospectively under-sampled to optimize the under-sampling pattern of in-vivo k-space data; secondly, binary stochastic k-space sampling, rather than approximate stochastic k-space sampling of LOUPE during training, was applied together with a straight-through (ST) estimator to estimate the gradient of the threshold operation in a neural network; thirdly, modified unrolled optimization network, rather than modified U-Net in LOUPE, was used as the reconstruction network in order to reconstruct multi-coil data properly and reduce the dependency on training data. Experimental results show that when dealing with the in-vivo k-space data, unrolled optimization network with binary under-sampling block and ST estimator had better reconstruction performance compared to the ones with either U-Net reconstruction network or approximate sampling pattern optimization network, and once trained, the learned optimal sampling pattern worked better than the hand-crafted variable density sampling pattern when deployed with other conventional reconstruction methods.




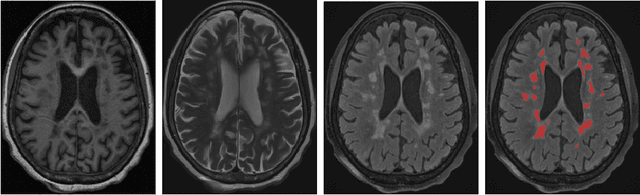
Abstract:Brain lesion volume measured on T2 weighted MRI images is a clinically important disease marker in multiple sclerosis (MS). Manual delineation of MS lesions is a time-consuming and highly operator-dependent task, which is influenced by lesion size, shape and conspicuity. Recently, automated lesion segmentation algorithms based on deep neural networks have been developed with promising results. In this paper, we propose a novel recurrent slice-wise attention network (RSANet), which models 3D MRI images as sequences of slices and captures long-range dependencies through a recurrent manner to utilize contextual information of MS lesions. Experiments on a dataset with 43 patients show that the proposed method outperforms the state-of-the-art approaches. Our implementation is available online at https://github.com/tinymilky/RSANet.