



Abstract:Staining reveals the micro structure of the aspirate while creating histopathology slides. Stain variation, defined as a chromatic difference between the source and the target, is caused by varying characteristics during staining, resulting in a distribution shift and poor performance on the target. The goal of stain normalization is to match the target's chromatic distribution to that of the source. However, stain normalisation causes the underlying morphology to distort, resulting in an incorrect diagnosis. We propose FUSION, a new method for promoting stain-adaption by adjusting the model to the target in an unsupervised test-time scenario, eliminating the necessity for significant labelling at the target end. FUSION works by altering the target's batch normalization statistics and fusing them with source statistics using a weighting factor. The algorithm reduces to one of two extremes based on the weighting factor. Despite the lack of training or supervision, FUSION surpasses existing equivalent algorithms for classification and dense predictions (segmentation), as demonstrated by comprehensive experiments on two public datasets.




Abstract:Age-related macular degeneration (AMD) is the leading cause of visual impairment among elderly in the world. Early detection of AMD is of great importance as the vision loss caused by AMD is irreversible and permanent. Color fundus photography is the most cost-effective imaging modality to screen for retinal disorders. \textcolor{red}{Recently, some algorithms based on deep learning had been developed for fundus image analysis and automatic AMD detection. However, a comprehensive annotated dataset and a standard evaluation benchmark are still missing.} To deal with this issue, we set up the Automatic Detection challenge on Age-related Macular degeneration (ADAM) for the first time, held as a satellite event of the ISBI 2020 conference. The ADAM challenge consisted of four tasks which cover the main topics in detecting AMD from fundus images, including classification of AMD, detection and segmentation of optic disc, localization of fovea, and detection and segmentation of lesions. The ADAM challenge has released a comprehensive dataset of 1200 fundus images with the category labels of AMD, the pixel-wise segmentation masks of the full optic disc and lesions (drusen, exudate, hemorrhage, scar, and other), as well as the location coordinates of the macular fovea. A uniform evaluation framework has been built to make a fair comparison of different models. During the ADAM challenge, 610 results were submitted for online evaluation, and finally, 11 teams participated in the onsite challenge. This paper introduces the challenge, dataset, and evaluation methods, as well as summarizes the methods and analyzes the results of the participating teams of each task. In particular, we observed that ensembling strategy and clinical prior knowledge can better improve the performances of the deep learning models.




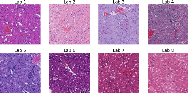
Abstract:Deep learning models that are trained on histopathological images obtained from a single lab and/or scanner give poor inference performance on images obtained from another scanner/lab with a different staining protocol. In recent years, there has been a good amount of research done for image stain normalization to address this issue. In this work, we present a novel approach for the stain normalization problem using fast neural style transfer coupled with adversarial loss. We also propose a novel stain transfer generator network based on High-Resolution Network (HRNet) which requires less training time and gives good generalization with few paired training images of reference stain and test stain. This approach has been tested on Whole Slide Images (WSIs) obtained from 8 different labs, where images from one lab were treated as a reference stain. A deep learning model was trained on this stain and the rest of the images were transferred to it using the corresponding stain transfer generator network. Experimentation suggests that this approach is able to successfully perform stain normalization with good visual quality and provides better inference performance compared to not applying stain normalization.