



Abstract:Training supervised deep neural networks that perform defect detection and segmentation requires large-scale fully-annotated datasets, which can be hard or even impossible to obtain in industrial environments. Generative AI offers opportunities to enlarge small industrial datasets artificially, thus enabling the usage of state-of-the-art supervised approaches in the industry. Unfortunately, also good generative models need a lot of data to train, while industrial datasets are often tiny. Here, we propose a new approach for reusing general-purpose pre-trained generative models on industrial data, ultimately allowing the generation of self-labelled defective images. First, we let the model learn the new concept, entailing the novel data distribution. Then, we force it to learn to condition the generative process, producing industrial images that satisfy well-defined topological characteristics and show defects with a given geometry and location. To highlight the advantage of our approach, we use the synthetic dataset to optimise a crack segmentor for a real industrial use case. When the available data is small, we observe considerable performance increase under several metrics, showing the method's potential in production environments.




Abstract:Thanks to their ability to learn flexible data-driven losses, Generative Adversarial Networks (GANs) are an integral part of many semi- and weakly-supervised methods for medical image segmentation. GANs jointly optimise a generator and an adversarial discriminator on a set of training data. After training has completed, the discriminator is usually discarded and only the generator is used for inference. But should we discard discriminators? In this work, we argue that training stable discriminators produces expressive loss functions that we can re-use at inference to detect and correct segmentation mistakes. First, we identify key challenges and suggest possible solutions to make discriminators re-usable at inference. Then, we show that we can combine discriminators with image reconstruction costs (via decoders) to further improve the model. Our method is simple and improves the test-time performance of pre-trained GANs. Moreover, we show that it is compatible with standard post-processing techniques and it has potentials to be used for Online Continual Learning. With our work, we open new research avenues for re-using adversarial discriminators at inference.




Abstract:Thanks to their ability to learn data distributions without requiring paired data, Generative Adversarial Networks (GANs) have become an integral part of many computer vision methods, including those developed for medical image segmentation. These methods jointly train a segmentor and an adversarial mask discriminator, which provides a data-driven shape prior. At inference, the discriminator is discarded, and only the segmentor is used to predict label maps on test images. But should we discard the discriminator? Here, we argue that the life cycle of adversarial discriminators should not end after training. On the contrary, training stable GANs produces powerful shape priors that we can use to correct segmentor mistakes at inference. To achieve this, we develop stable mask discriminators that do not overfit or catastrophically forget. At test time, we fine-tune the segmentor on each individual test instance until it satisfies the learned shape prior. Our method is simple to implement and increases model performance. Moreover, it opens new directions for re-using mask discriminators at inference. We release the code used for the experiments at https://vios-s.github.io/adversarial-test-time-training.




Abstract:Collecting large-scale medical datasets with fine-grained annotations is time-consuming and requires experts. For this reason, weakly supervised learning aims at optimising machine learning models using weaker forms of annotations, such as scribbles, which are easier and faster to collect. Unfortunately, training with weak labels is challenging and needs regularisation. Herein, we introduce a novel self-supervised multi-scale consistency loss, which, coupled with an attention mechanism, encourages the segmentor to learn multi-scale relationships between objects and improves performance. We show state-of-the-art performance on several medical and non-medical datasets. The code used for the experiments is available at https://vios-s.github.io/multiscale-pyag.




Abstract:Recent state-of-the-art semi- and un-supervised solutions for challenging computer vision tasks have used the idea of encoding image content into a spatial tensor and image appearance or "style" into a vector. These decomposed representations take advantage of equivariant properties of network design and improve performance in equivariant tasks, such as image-to-image translation. Most of these methods use the term "disentangled" for their representations and employ model design, learning objectives, and data biases to achieve good model performance. While considerable effort has been made to measure disentanglement in vector representations, currently, metrics that can characterize the degree of disentanglement between content (spatial) and style (vector) representations and the relation to task performance are lacking. In this paper, we propose metrics to measure how (un)correlated, biased, and informative the content and style representations are. In particular, we first identify key design choices and learning constraints on three popular models that employ content-style disentanglement and derive ablated versions. Then, we use our metrics to ascertain the role of each bias. Our experiments reveal a "sweet-spot" between disentanglement, task performance and latent space interpretability. The proposed metrics enable the design of better models and the selection of models that achieve the desired performance and disentanglement. Our metrics library is available at https://github.com/TsaftarisCollaboratory/CSDisentanglement_Metrics_Library.




Abstract:Large, fine-grained image segmentation datasets, annotated at pixel-level, are difficult to obtain, particularly in medical imaging, where annotations also require expert knowledge. Weakly-supervised learning can train models by relying on weaker forms of annotation, such as scribbles. Here, we learn to segment using scribble annotations in an adversarial game. With unpaired segmentation masks, we train a multi-scale GAN to generate realistic segmentation masks at multiple resolutions, while we use scribbles to learn the correct position in the image. Central to the model's success is a novel attention gating mechanism, which we condition with adversarial signals to act as a shape prior, resulting in better object localization at multiple scales. We evaluated our model on several medical (ACDC, LVSC, CHAOS) and non-medical (PPSS) datasets, and we report performance levels matching those achieved by models trained with fully annotated segmentation masks. We also demonstrate extensions in a variety of settings: semi-supervised learning; combining multiple scribble sources (a crowdsourcing scenario) and multi-task learning (combining scribble and mask supervision). We will release expert-made scribble annotations for the ACDC dataset, and the code used for the experiments, at https://gvalvano.github.io/wss-multiscale-adversarial-attention-gates.




Abstract:There has been an increasing focus in learning interpretable feature representations, particularly in applications such as medical image analysis that require explainability, whilst relying less on annotated data (since annotations can be tedious and costly). Here we build on recent innovations in style-content representations to learn anatomy, imaging characteristics (appearance) and temporal correlations. By introducing a self-supervised objective of predicting future cardiac phases we improve disentanglement. We propose a temporal transformer architecture that given an image conditioned on phase difference, it predicts a future frame. This forces the anatomical decomposition to be consistent with the temporal cardiac contraction in cine MRI and to have semantic meaning with less need for annotations. We demonstrate that using this regularization, we achieve competitive results and improve semi-supervised segmentation, especially when very few labelled data are available. Specifically, we show Dice increase of up to 19\% and 7\% compared to supervised and semi-supervised approaches respectively on the ACDC dataset. Code is available at: https://github.com/gvalvano/sdtnet .




Abstract:Recent research put a big effort in the development of deep learning architectures and optimizers obtaining impressive results in areas ranging from vision to language processing. However little attention has been addressed to the need of a methodological process of data collection. In this work we show that high quality data for supervised learning can be selected in an unsupervised manner and that by doing so one can obtain models capable to generalize better than in the case of random training set construction.




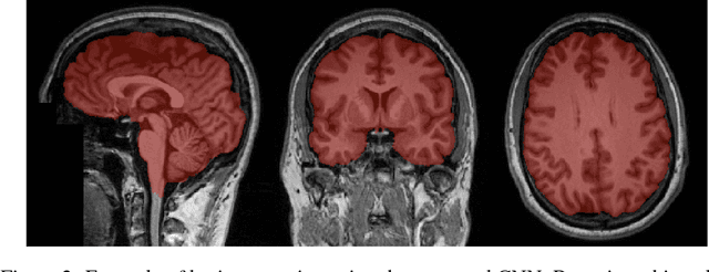
Abstract:Skull-stripping methods aim to remove the non-brain tissue from acquisition of brain scans in magnetic resonance (MR) imaging. Although several methods sharing this common purpose have been presented in literature, they all suffer from the great variability of the MR images. In this work we propose a novel approach based on Convolutional Neural Networks to automatically perform the brain extraction obtaining cutting-edge performance in the NFBS public database. Additionally, we focus on the efficient training of the neural network designing an effective data augmentation pipeline. Obtained results are evaluated through Dice metric, obtaining a value of 96.5%, and processing time, with 4.5s per volume.




Abstract:Cluster of microcalcifications can be an early sign of breast cancer. In this paper we propose a novel approach based on convolutional neural networks for the detection and segmentation of microcalcification clusters. In this work we used 283 mammograms to train and validate our model, obtaining an accuracy of 98.22% in the detection of preliminary suspect regions and of 97.47% in the segmentation task. Our results show how deep learning could be an effective tool to effectively support radiologists during mammograms examination.