Abstract:Diffusion models have achieved remarkable quality in multi-modal MRI synthesis, but their computational cost (hundreds of sampling steps and separate models per modality) limits clinical deployment. We observe that this inefficiency stems from an unnecessary starting point: diffusion begins from pure noise, discarding the structural information already present in available MRI sequences. We propose WFM (Wavelet Flow Matching), which instead learns a direct flow from an informed prior, the mean of conditioning modalities in wavelet space, to the target distribution. Because the source and target share underlying anatomy and differ primarily in contrast, this formulation enables accurate synthesis in just 1-2 integration steps. A single 82M-parameter model with class conditioning synthesizes all four BraTS modalities (T1, T1c, T2, FLAIR), replacing four separate diffusion models totaling 326M parameters. On BraTS 2024, WFM achieves 26.8 dB PSNR and 0.94 SSIM, within 1-2 dB of diffusion baselines, while running 250-1000x faster (0.16-0.64s vs. 160s per volume). This speed-quality trade-off makes real-time MRI synthesis practical for clinical workflows. Code is available at https://github.com/yalcintur/WFM.
Abstract:Current Vision-Language-Action (VLA) models rely on fixed computational depth, expending the same amount of compute on simple adjustments and complex multi-step manipulation. While Chain-of-Thought (CoT) prompting enables variable computation, it scales memory linearly and is ill-suited for continuous action spaces. We introduce Recurrent-Depth VLA (RD-VLA), an architecture that achieves computational adaptivity via latent iterative refinement rather than explicit token generation. RD-VLA employs a recurrent, weight-tied action head that supports arbitrary inference depth with a constant memory footprint. The model is trained using truncated backpropagation through time (TBPTT) to efficiently supervise the refinement process. At inference, RD-VLA dynamically allocates compute using an adaptive stopping criterion based on latent convergence. Experiments on challenging manipulation tasks show that recurrent depth is critical: tasks that fail entirely (0 percent success) with single-iteration inference exceed 90 percent success with four iterations, while simpler tasks saturate rapidly. RD-VLA provides a scalable path to test-time compute in robotics, replacing token-based reasoning with latent reasoning to achieve constant memory usage and up to 80x inference speedup over prior reasoning-based VLA models. Project page: https://rd-vla.github.io/
Abstract:Synthesizing medical images remains challenging due to limited annotated pathological data, modality domain gaps, and the complexity of representing diffuse pathologies such as liver cirrhosis. Existing methods often struggle to maintain anatomical fidelity while accurately modeling pathological features, frequently relying on priors derived from natural images or inefficient multi-step sampling. In this work, we introduce ViCTr (Vital Consistency Transfer), a novel two-stage framework that combines a rectified flow trajectory with a Tweedie-corrected diffusion process to achieve high-fidelity, pathology-aware image synthesis. First, we pretrain ViCTr on the ATLAS-8k dataset using Elastic Weight Consolidation (EWC) to preserve critical anatomical structures. We then fine-tune the model adversarially with Low-Rank Adaptation (LoRA) modules for precise control over pathology severity. By reformulating Tweedie's formula within a linear trajectory framework, ViCTr supports one-step sampling, reducing inference from 50 steps to just 4, without sacrificing anatomical realism. We evaluate ViCTr on BTCV (CT), AMOS (MRI), and CirrMRI600+ (cirrhosis) datasets. Results demonstrate state-of-the-art performance, achieving a Medical Frechet Inception Distance (MFID) of 17.01 for cirrhosis synthesis 28% lower than existing approaches and improving nnUNet segmentation by +3.8% mDSC when used for data augmentation. Radiologist reviews indicate that ViCTr-generated liver cirrhosis MRIs are clinically indistinguishable from real scans. To our knowledge, ViCTr is the first method to provide fine-grained, pathology-aware MRI synthesis with graded severity control, closing a critical gap in AI-driven medical imaging research.




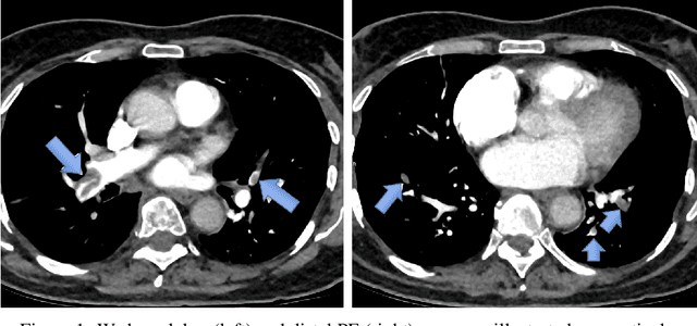
Abstract:Pulmonary Embolism (PE) is a serious cardiovascular condition that remains a leading cause of mortality and critical illness, underscoring the need for enhanced diagnostic strategies. Conventional clinical methods have limited success in predicting 30-day in-hospital mortality of PE patients. In this study, we present a new algorithm, called PEP-Net, for 30-day mortality prediction of PE patients based on the initial imaging data (CT) that opportunistically integrates a 3D Residual Network (3DResNet) with Extreme Gradient Boosting (XGBoost) algorithm with patient level binary labels without annotations of the emboli and its extent. Our proposed system offers a comprehensive prediction strategy by handling class imbalance problems, reducing overfitting via regularization, and reducing the prediction variance for more stable predictions. PEP-Net was tested in a cohort of 193 volumetric CT scans diagnosed with Acute PE, and it demonstrated a superior performance by significantly outperforming baseline models (76-78\%) with an accuracy of 94.5\% (+/-0.3) and 94.0\% (+/-0.7) when the input image is either lung region (Lung-ROI) or heart region (Cardiac-ROI). Our results advance PE prognostics by using only initial imaging data, setting a new benchmark in the field. While purely deep learning models have become the go-to for many medical classification (diagnostic) tasks, combined ResNet and XGBoost models herein outperform sole deep learning models due to a potential reason for having lack of enough data.