Abstract:Large language models (LLMs) demonstrate strong capabilities across a wide range of complex tasks and are increasingly deployed at scale, placing significant demands on inference efficiency. Prior work typically decomposes inference into prefill and decode stages, with the decode stage dominating total latency. To reduce time and memory complexity in the decode stage, a line of work introduces sparse-attention algorithms. In this paper, we show, both empirically and theoretically, that sparse attention can paradoxically increase end-to-end complexity: information loss often induces significantly longer sequences, a phenomenon we term ``Less is Less'' (Lil). To mitigate the Lil problem, we propose an early-stopping algorithm that detects the threshold where information loss exceeds information gain during sparse decoding. Our early-stopping algorithm reduces token consumption by up to 90% with a marginal accuracy degradation of less than 2% across reasoning-intensive benchmarks.




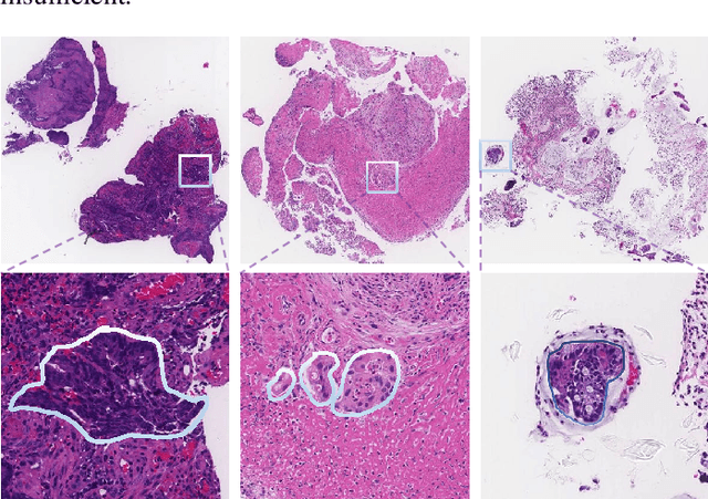
Abstract:Deep learning-based histopathology image classification is a key technique to help physicians in improving the accuracy and promptness of cancer diagnosis. However, the noisy labels are often inevitable in the complex manual annotation process, and thus mislead the training of the classification model. In this work, we introduce a novel hard sample aware noise robust learning method for histopathology image classification. To distinguish the informative hard samples from the harmful noisy ones, we build an easy/hard/noisy (EHN) detection model by using the sample training history. Then we integrate the EHN into a self-training architecture to lower the noise rate through gradually label correction. With the obtained almost clean dataset, we further propose a noise suppressing and hard enhancing (NSHE) scheme to train the noise robust model. Compared with the previous works, our method can save more clean samples and can be directly applied to the real-world noisy dataset scenario without using a clean subset. Experimental results demonstrate that the proposed scheme outperforms the current state-of-the-art methods in both the synthetic and real-world noisy datasets. The source code and data are available at https://github.com/bupt-ai-cz/HSA-NRL/.




Abstract:The automatic and objective medical diagnostic model can be valuable to achieve early cancer detection, and thus reducing the mortality rate. In this paper, we propose a highly efficient multi-level malignant tissue detection through the designed adversarial CAC-UNet. A patch-level model with a pre-prediction strategy and a malignancy area guided label smoothing is adopted to remove the negative WSIs, with which to lower the risk of false positive detection. For the selected key patches by multi-model ensemble, an adversarial context-aware and appearance consistency UNet (CAC-UNet) is designed to achieve robust segmentation. In CAC-UNet, mirror designed discriminators are able to seamlessly fuse the whole feature maps of the skillfully designed powerful backbone network without any information loss. Besides, a mask prior is further added to guide the accurate segmentation mask prediction through an extra mask-domain discriminator. The proposed scheme achieves the best results in MICCAI DigestPath2019 challenge on colonoscopy tissue segmentation and classification task. The full implementation details and the trained models are available at https://github.com/Raykoooo/CAC-UNet.




Abstract:Segregation is a popular phenomenon. It has considerable effects on material performance. To the author's knowledge, there is still no automated objective quantitative indicator for segregation. In order to full fill this task, segregation of particles is analyzed. Edges of the particles are extracted from the digital picture. Then, the whole picture of particles is splintered to small rectangles with the same shape. Statistical index of the edges in each rectangle is calculated. Accordingly, segregation between the indexes corresponding to the rectangles is evaluated. The results show coincident with subjective evaluated results. Further more, it can be implemented as an automated system, which would facilitate the materials quality control mechanism during production process.