



Abstract:Anomaly event detection plays a crucial role in various real-world applications. However, current approaches predominantly rely on supervised learning, which faces significant challenges: the requirement for extensive labeled training data and lack of interpretability in decision-making processes. To address these limitations, we present a training-free framework that integrates open-set object detection with symbolic regression, powered by Large Language Models (LLMs) for efficient symbolic pattern discovery. The LLMs guide the symbolic reasoning process, establishing logical relationships between detected entities. Through extensive experiments across multiple domains, our framework demonstrates several key advantages: (1) achieving superior detection accuracy through direct reasoning without any training process; (2) providing highly interpretable logical expressions that are readily comprehensible to humans; and (3) requiring minimal annotation effort - approximately 1% of the data needed by traditional training-based methods.To facilitate comprehensive evaluation and future research, we introduce two datasets: a large-scale private dataset containing over 110,000 annotated images covering various anomaly scenarios including construction site safety violations, illegal fishing activities, and industrial hazards, along with a public benchmark dataset of 5,000 samples with detailed anomaly event annotations. Code is available at here.





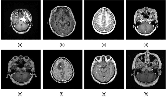
Abstract:In the clinical diagnosis and treatment of brain tumors, manual image reading consumes a lot of energy and time. In recent years, the automatic tumor classification technology based on deep learning has entered people's field of vision. Brain tumors can be divided into primary and secondary intracranial tumors according to their source. However, to our best knowledge, most existing research on brain tumors are limited to primary intracranial tumor images and cannot classify the source of the tumor. In order to solve the task of tumor source type classification, we analyze the existing technology and propose an attention guided deep convolution neural network (CNN) model. Meanwhile, the method proposed in this paper also effectively improves the accuracy of classifying the presence or absence of tumor. For the brain MR dataset, our method can achieve the average accuracy of 99.18% under ten-fold cross-validation for identifying the presence or absence of tumor, and 83.38% for classifying the source of tumor. Experimental results show that our method is consistent with the method of medical experts. It can assist doctors in achieving efficient clinical diagnosis of brain tumors.
