



Abstract:Deep learning semantic segmentation algorithms can localise abnormalities or opacities from chest radiographs. However, the task of collecting and annotating training data is expensive and requires expertise which remains a bottleneck for algorithm performance. We investigate the effect of image augmentations on reducing the requirement of labelled data in the semantic segmentation of chest X-rays for pneumonia detection. We train fully convolutional network models on subsets of different sizes from the total training data. We apply a different image augmentation while training each model and compare it to the baseline trained on the entire dataset without augmentations. We find that rotate and mixup are the best augmentations amongst rotate, mixup, translate, gamma and horizontal flip, wherein they reduce the labelled data requirement by 70% while performing comparably to the baseline in terms of AUC and mean IoU in our experiments.




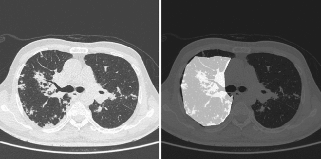
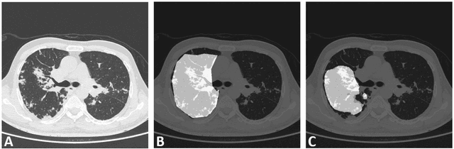
Abstract:Image segmentation plays a pivotal role in several medical-imaging applications by assisting the segmentation of the regions of interest. Deep learning-based approaches have been widely adopted for semantic segmentation of medical data. In recent years, in addition to 2D deep learning architectures, 3D architectures have been employed as the predictive algorithms for 3D medical image data. In this paper, we propose a 3D stack-based deep learning technique for segmenting manifestations of consolidation and ground-glass opacities in 3D Computed Tomography (CT) scans. We also present a comparison based on the segmentation results, the contextual information retained, and the inference time between this 3D technique and a traditional 2D deep learning technique. We also define the area-plot, which represents the peculiar pattern observed in the slice-wise areas of the pathology regions predicted by these deep learning models. In our exhaustive evaluation, 3D technique performs better than the 2D technique for the segmentation of CT scans. We get dice scores of 79% and 73% for the 3D and the 2D techniques respectively. The 3D technique results in a 5X reduction in the inference time compared to the 2D technique. Results also show that the area-plots predicted by the 3D model are more similar to the ground truth than those predicted by the 2D model. We also show how increasing the amount of contextual information retained during the training can improve the 3D model's performance.




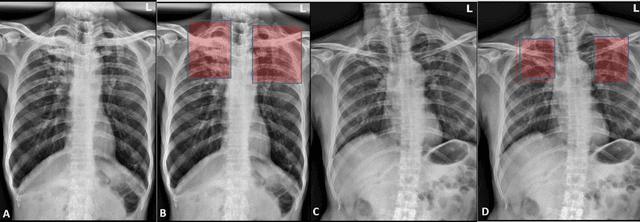
Abstract:COVID-19 is an infectious disease that causes respiratory problems similar to those caused by SARS-CoV (2003). Currently, swab samples are being used for its diagnosis. The most common testing method used is the RT-PCR method, which has high specificity but variable sensitivity. AI-based detection has the capability to overcome this drawback. In this paper, we propose a prospective method wherein we use chest CT scans to diagnose the patients for COVID-19 pneumonia. We use a set of open-source images, available as individual CT slices, and full CT scans from a private Indian Hospital to train our model. We build a 2D segmentation model using the U-Net architecture, which gives the output by marking out the region of infection. Our model achieves a sensitivity of 96.428% (95% CI: 88%-100%) and a specificity of 88.39% (95% CI: 82%-94%). Additionally, we derive a logic for converting our slice-level predictions to scan-level, which helps us reduce the false positives.




Abstract:Edge devices are revolutionizing diagnostics. Edge devices can reside within or adjacent to imaging tools such as digital Xray, CT, MRI, or ultrasound equipment. These devices are either CPUs or GPUs with advanced processing deep and machine learning (artificial intelligence) algorithms that assist in classification and triage solutions to flag studies as either normal or abnormal, TB or healthy (in case of TB screening), suspected COVID-19/other pneumonia or unremarkable (in hospital or hotspot settings). These can be deployed as screening point-of-care (PoC) solutions; this is particularly true for digital and portable X-ray devices. Edge device learning can also be used for mammography and CT studies where it can identify microcalcification and stroke, respectively. These solutions can be considered the first line of pre-screening before the imaging specialist actually reviews scans and makes a final diagnosis. The key advantage of these tools is that they are instant, can be deployed remotely where experts are not available to perform pre-screening before the experts actually review, and are not limited by internet bandwidth as the nano learning data centers are placed next to the device.