



Abstract:Edge devices are revolutionizing diagnostics. Edge devices can reside within or adjacent to imaging tools such as digital Xray, CT, MRI, or ultrasound equipment. These devices are either CPUs or GPUs with advanced processing deep and machine learning (artificial intelligence) algorithms that assist in classification and triage solutions to flag studies as either normal or abnormal, TB or healthy (in case of TB screening), suspected COVID-19/other pneumonia or unremarkable (in hospital or hotspot settings). These can be deployed as screening point-of-care (PoC) solutions; this is particularly true for digital and portable X-ray devices. Edge device learning can also be used for mammography and CT studies where it can identify microcalcification and stroke, respectively. These solutions can be considered the first line of pre-screening before the imaging specialist actually reviews scans and makes a final diagnosis. The key advantage of these tools is that they are instant, can be deployed remotely where experts are not available to perform pre-screening before the experts actually review, and are not limited by internet bandwidth as the nano learning data centers are placed next to the device.




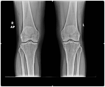
Abstract:The severity of knee osteoarthritis is graded using the 5-point Kellgren-Lawrence (KL) scale where healthy knees are assigned grade 0, and the subsequent grades 1-4 represent increasing severity of the affliction. Although several methods have been proposed in recent years to develop models that can automatically predict the KL grade from a given radiograph, most models have been developed and evaluated on datasets not sourced from India. These models fail to perform well on the radiographs of Indian patients. In this paper, we propose a novel method using convolutional neural networks to automatically grade knee radiographs on the KL scale. Our method works in two connected stages: in the first stage, an object detection model segments individual knees from the rest of the image; in the second stage, a regression model automatically grades each knee separately on the KL scale. We train our model using the publicly available Osteoarthritis Initiative (OAI) dataset and demonstrate that fine-tuning the model before evaluating it on a dataset from a private hospital significantly improves the mean absolute error from 1.09 (95% CI: 1.03-1.15) to 0.28 (95% CI: 0.25-0.32). Additionally, we compare classification and regression models built for the same task and demonstrate that regression outperforms classification.