

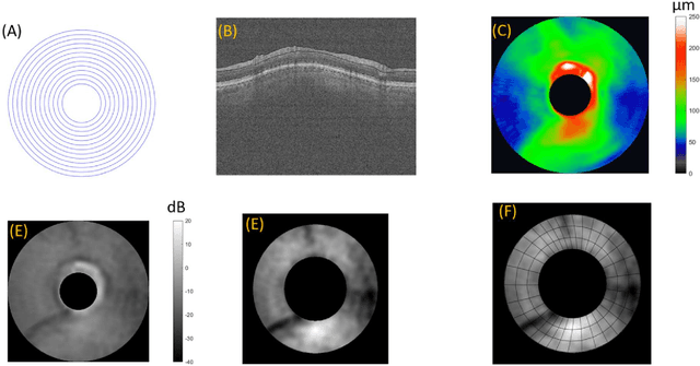
Abstract:Precis: A hybrid deep-learning model combines NFL reflectance and other OCT parameters to improve glaucoma diagnosis. Objective: To investigate if a deep learning model could be used to combine nerve fiber layer (NFL) reflectance and other OCT parameters for glaucoma diagnosis. Patients and Methods: This is a prospective observational study where of 106 normal subjects and 164 perimetric glaucoma (PG) patients. Peripapillary NFL reflectance map, NFL thickness map, optic head analysis of disc, and macular ganglion cell complex thickness were obtained using spectral domain OCT. A hybrid deep learning model combined a fully connected network (FCN) and a convolution neural network (CNN) to develop and combine those OCT maps and parameters to distinguish normal and PG eyes. Two deep learning models were compared based on whether the NFL reflectance map was used as part of the input or not. Results: The hybrid deep learning model with reflectance achieved 0.909 sensitivity at 99% specificity and 0.926 at 95%. The overall accuracy was 0.948 with 0.893 sensitivity and 1.000 specificity, and the AROC was 0.979, which is significantly better than the logistic regression models (p < 0.001). The second best model is the hybrid deep learning model w/o reflectance, which also had significantly higher AROC than logistic regression models (p < 0.001). Logistic regression with reflectance model had slightly higher AROC or sensitivity than the other logistic regression model without reflectance (p = 0.024). Conclusions: Hybrid deep learning model significantly improved the diagnostic accuracy, without or without NFL reflectance. Hybrid deep learning model, combining reflectance/NFL thickness/GCC thickness/ONH parameter, may be a practical model for glaucoma screen purposes.




Abstract:In optical coherence tomography (OCT) volumes of retina, the sequential acquisition of the individual slices makes this modality prone to motion artifacts, misalignments between adjacent slices being the most noticeable. Any distortion in OCT volumes can bias structural analysis and influence the outcome of longitudinal studies. On the other hand, presence of speckle noise that is characteristic of this imaging modality, leads to inaccuracies when traditional registration techniques are employed. Also, the lack of a well-defined ground truth makes supervised deep-learning techniques ill-posed to tackle the problem. In this paper, we tackle these issues by using deep reinforcement learning to correct inter-frame movements in an unsupervised manner. Specifically, we use dueling deep Q-network to train an artificial agent to find the optimal policy, i.e. a sequence of actions, that best improves the alignment by maximizing the sum of reward signals. Instead of relying on the ground-truth of transformation parameters to guide the rewarding system, for the first time, we use a combination of intensity based image similarity metrics. Further, to avoid the agent bias towards speckle noise, we ensure the agent can see retinal layers as part of the interacting environment. For quantitative evaluation, we simulate the eye movement artifacts by applying 2D rigid transformations on individual B-scans. The proposed model achieves an average of 0.985 and 0.914 for normalized mutual information and correlation coefficient, respectively. We also compare our model with elastix intensity based medical image registration approach, where significant improvement is achieved by our model for both noisy and denoised volumes.




Abstract:Optical coherence tomography (OCT) based measurements of retinal layer thickness, such as the retinal nerve fibre layer (RNFL) and the ganglion cell with inner plexiform layer (GCIPL) are commonly used for the diagnosis and monitoring of glaucoma. Previously, machine learning techniques have utilized segmentation-based imaging features such as the peripapillary RNFL thickness and the cup-to-disc ratio. Here, we propose a deep learning technique that classifies eyes as healthy or glaucomatous directly from raw, unsegmented OCT volumes of the optic nerve head (ONH) using a 3D Convolutional Neural Network (CNN). We compared the accuracy of this technique with various feature-based machine learning algorithms and demonstrated the superiority of the proposed deep learning based method. Logistic regression was found to be the best performing classical machine learning technique with an AUC of 0.89. In direct comparison, the deep learning approach achieved a substantially higher AUC of 0.94 with the additional advantage of providing insight into which regions of an OCT volume are important for glaucoma detection. Computing Class Activation Maps (CAM), we found that the CNN identified neuroretinal rim and optic disc cupping as well as the lamina cribrosa (LC) and its surrounding areas as the regions significantly associated with the glaucoma classification. These regions anatomically correspond to the well established and commonly used clinical markers for glaucoma diagnosis such as increased cup volume, cup diameter, and neuroretinal rim thinning at the superior and inferior segments.