Abstract:Sycophancy in Vision-Language Models (VLMs) refers to their tendency to align with user opinions, often at the expense of moral or factual accuracy. While prior studies have explored sycophantic behavior in general contexts, its impact on morally grounded visual decision-making remains insufficiently understood. To address this gap, we present the first systematic study of moral sycophancy in VLMs, analyzing ten widely-used models on the Moralise and M^3oralBench datasets under explicit user disagreement. Our results reveal that VLMs frequently produce morally incorrect follow-up responses even when their initial judgments are correct, and exhibit a consistent asymmetry: models are more likely to shift from morally right to morally wrong judgments than the reverse when exposed to user-induced bias. Follow-up prompts generally degrade performance on Moralise, while yielding mixed or even improved accuracy on M^3oralBench, highlighting dataset-dependent differences in moral robustness. Evaluation using Error Introduction Rate (EIR) and Error Correction Rate (ECR) reveals a clear trade-off: models with stronger error-correction capabilities tend to introduce more reasoning errors, whereas more conservative models minimize errors but exhibit limited ability to self-correct. Finally, initial contexts with a morally right stance elicit stronger sycophantic behavior, emphasizing the vulnerability of VLMs to moral influence and the need for principled strategies to improve ethical consistency and robustness in multimodal AI systems.
Abstract:Sycophancy, an excessive tendency of AI models to agree with user input at the expense of factual accuracy or in contradiction of visual evidence, poses a critical and underexplored challenge for multimodal large language models (MLLMs). While prior studies have examined this behavior in text-only settings of large language models, existing research on visual or multimodal counterparts remains limited in scope and depth of analysis. To address this gap, we introduce a comprehensive evaluation benchmark, \textit{PENDULUM}, comprising approximately 2,000 human-curated Visual Question Answering pairs specifically designed to elicit sycophantic responses. The benchmark spans six distinct image domains of varying complexity, enabling a systematic investigation of how image type and inherent challenges influence sycophantic tendencies. Through extensive evaluation of state-of-the-art MLLMs. we observe substantial variability in model robustness and a pronounced susceptibility to sycophantic and hallucinatory behavior. Furthermore, we propose novel metrics to quantify sycophancy in visual reasoning, offering deeper insights into its manifestations across different multimodal contexts. Our findings highlight the urgent need for developing sycophancy-resilient architectures and training strategies to enhance factual consistency and reliability in future MLLMs. Our proposed dataset with MLLMs response are available at https://github.com/ashikiut/pendulum/.




Abstract:Correct identification and categorization of plant diseases are crucial for ensuring the safety of the global food supply and the overall financial success of stakeholders. In this regard, a wide range of solutions has been made available by introducing deep learning-based classification systems for different staple crops. Despite being one of the most important commercial crops in many parts of the globe, research proposing a smart solution for automatically classifying apple leaf diseases remains relatively unexplored. This study presents a technique for identifying apple leaf diseases based on transfer learning. The system extracts features using a pretrained EfficientNetV2S architecture and passes to a classifier block for effective prediction. The class imbalance issues are tackled by utilizing runtime data augmentation. The effect of various hyperparameters, such as input resolution, learning rate, number of epochs, etc., has been investigated carefully. The competence of the proposed pipeline has been evaluated on the apple leaf disease subset from the publicly available `PlantVillage' dataset, where it achieved an accuracy of 99.21%, outperforming the existing works.




Abstract:Accurate recognition of food items along with quality assessment is of paramount importance in the agricultural industry. Such automated systems can speed up the wheel of the food processing sector and save tons of manual labor. In this connection, the recent advancement of Deep learning-based architectures has introduced a wide variety of solutions offering remarkable performance in several classification tasks. In this work, we have exploited the concept of Densely Connected Convolutional Neural Networks (DenseNets) for fruit quality assessment. The feature propagation towards the deeper layers has enabled the network to tackle the vanishing gradient problems and ensured the reuse of features to learn meaningful insights. Evaluating on a dataset of 19,526 images containing six fruits having three quality grades for each, the proposed pipeline achieved a remarkable accuracy of 99.67%. The robustness of the model was further tested for fruit classification and quality assessment tasks where the model produced a similar performance, which makes it suitable for real-life applications.




Abstract:Multiple object tracking gained a lot of interest from researchers in recent years, and it has become one of the trending problems in computer vision, especially with the recent advancement of autonomous driving. MOT is one of the critical vision tasks for different issues like occlusion in crowded scenes, similar appearance, small object detection difficulty, ID switching, etc. To tackle these challenges, as researchers tried to utilize the attention mechanism of transformer, interrelation of tracklets with graph convolutional neural network, appearance similarity of objects in different frames with the siamese network, they also tried simple IOU matching based CNN network, motion prediction with LSTM. To take these scattered techniques under an umbrella, we have studied more than a hundred papers published over the last three years and have tried to extract the techniques that are more focused on by researchers in recent times to solve the problems of MOT. We have enlisted numerous applications, possibilities, and how MOT can be related to real life. Our review has tried to show the different perspectives of techniques that researchers used overtimes and give some future direction for the potential researchers. Moreover, we have included popular benchmark datasets and metrics in this review.




Abstract:Handwritten Digit Recognition (HDR) is one of the most challenging tasks in the domain of Optical Character Recognition (OCR). Irrespective of language, there are some inherent challenges of HDR, which mostly arise due to the variations in writing styles across individuals, writing medium and environment, inability to maintain the same strokes while writing any digit repeatedly, etc. In addition to that, the structural complexities of the digits of a particular language may lead to ambiguous scenarios of HDR. Over the years, researchers have developed numerous offline and online HDR pipelines, where different image processing techniques are combined with traditional Machine Learning (ML)-based and/or Deep Learning (DL)-based architectures. Although evidence of extensive review studies on HDR exists in the literature for languages, such as: English, Arabic, Indian, Farsi, Chinese, etc., few surveys on Bengali HDR (BHDR) can be found, which lack a comprehensive analysis of the challenges, the underlying recognition process, and possible future directions. In this paper, the characteristics and inherent ambiguities of Bengali handwritten digits along with a comprehensive insight of two decades of the state-of-the-art datasets and approaches towards offline BHDR have been analyzed. Furthermore, several real-life application-specific studies, which involve BHDR, have also been discussed in detail. This paper will also serve as a compendium for researchers interested in the science behind offline BHDR, instigating the exploration of newer avenues of relevant research that may further lead to better offline recognition of Bengali handwritten digits in different application areas.




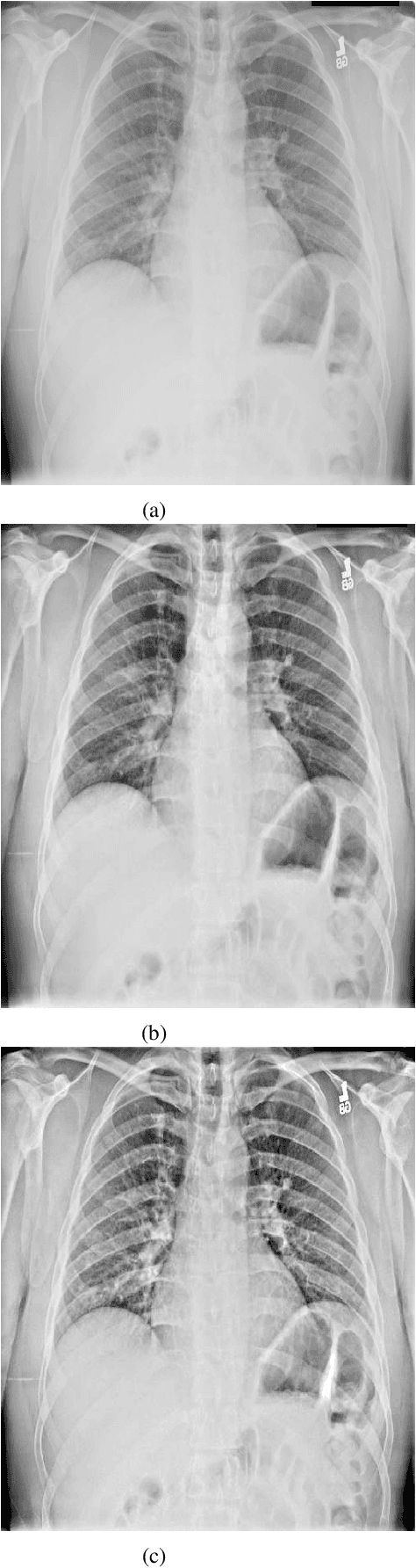
Abstract:To guide surgical and medical treatment X-ray images have been used by physicians in every modern healthcare organization and hospitals. Doctor's evaluation process and disease identification in the area of skeletal system can be performed in a faster and efficient way with the help of X-ray imaging technique as they can depict bone structure painlessly. This paper presents an efficient contrast enhancement technique using morphological operators which will help to visualize important bone segments and soft tissues more clearly. Top-hat and Bottom-hat transform are utilized to enhance the image where gradient magnitude value is calculated for automatically selecting the structuring element (SE) size. Experimental evaluation on different x-ray imaging databases shows the effectiveness of our method which also produces comparatively better output against some existing image enhancement techniques.