



Abstract:Robust segmentation for non-elongated tissues in medical images is hard to realize due to the large variation of the shape, size, and appearance of these tissues in different patients. In this paper, we present an end-to-end trainable deep segmentation model termed Crossover-Net for robust segmentation in medical images. Our proposed model is inspired by an insightful observation: during segmentation, the representation from the horizontal and vertical directions can provide different local appearance and orthogonality context information, which helps enhance the discrimination between different tissues by simultaneously learning from these two directions. Specifically, by converting the segmentation task to a pixel/voxel-wise prediction problem, firstly, we originally propose a cross-shaped patch, namely crossover-patch, which consists of a pair of (orthogonal and overlapped) vertical and horizontal patches, to capture the orthogonal vertical and horizontal relation. Then, we develop the Crossover-Net to learn the vertical-horizontal crossover relation captured by our crossover-patches. To achieve this goal, for learning the representation on a typical crossover-patch, we design a novel loss function to (1) impose the consistency on the overlap region of the vertical and horizontal patches and (2) preserve the diversity on their non-overlap regions. We have extensively evaluated our method on CT kidney tumor, MR cardiac, and X-ray breast mass segmentation tasks. Promising results are achieved according to our extensive evaluation and comparison with the state-of-the-art segmentation models.




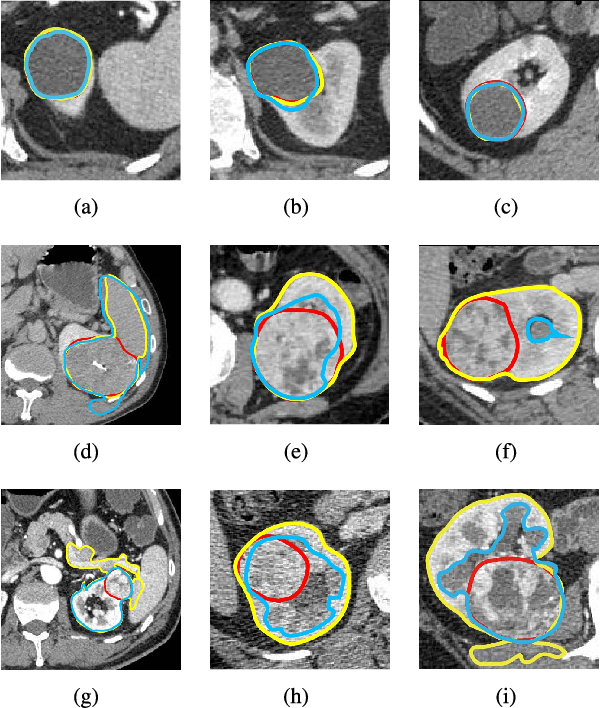
Abstract:Due to the irregular motion, similar appearance and diverse shape, accurate segmentation of kidney tumor in CT images is a difficult and challenging task. To this end, we present a novel automatic segmentation method, termed as Crossbar-Net, with the goal of accurate segmenting the kidney tumors. Firstly, considering that the traditional learning-based segmentation methods normally employ either whole images or squared patches as the training samples, we innovatively sample the orthogonal non-squared patches (namely crossbar patches), to fully cover the whole kidney tumors in either horizontal or vertical directions. These sampled crossbar patches could not only represent the detailed local information of kidney tumor as the traditional patches, but also describe the global appearance from either horizontal or vertical direction using contextual information. Secondly, with the obtained crossbar patches, we trained a convolutional neural network with two sub-models (i.e., horizontal sub-model and vertical sub-model) in a cascaded manner, to integrate the segmentation results from two directions (i.e., horizontal and vertical). This cascaded training strategy could effectively guarantee the consistency between sub-models, by feeding each other with the most difficult samples, for a better segmentation. In the experiment, we evaluate our method on a real CT kidney tumor dataset, collected from 94 different patients including 3,500 images. Compared with the state-of-the-art segmentation methods, the results demonstrate the superior results of our method on dice ratio score, true positive fraction, centroid distance and Hausdorff distance. Moreover, we have extended our crossbar-net to a different task: cardiac segmentation, showing the promising results for the better generalization.