Abstract:Story understanding and generation have long been a challenging task in natural language processing (NLP), especially when dealing with various levels of instruction specificity. In this paper, we propose a novel approach called "Weak to Strong Instruction Tuning" for improving story generation by tuning models with instructions of varying clarity. We explore the potential of large language models (LLMs) to adapt to different types of instructions, weak and strong, and show that our method significantly enhances performance in story comprehension and generation. By leveraging the strength of instruction tuning, we train models to understand the nuances of story plots, characters, and themes while generating coherent and engaging narratives. Through extensive experiments on several benchmark datasets and comparison with state-of-the-art baselines, we demonstrate that our method outperforms existing techniques, yielding substantial improvements in both automatic evaluation metrics and human evaluations. Our work shows that adaptive instruction tuning can be a powerful tool in refining generative models for complex narrative tasks.
Abstract:Magnetic Resonance Imaging (MRI) requires a trade-off between resolution, signal-to-noise ratio, and scan time, making high-resolution (HR) acquisition challenging. Therefore, super-resolution for MR image is a feasible solution. However, most existing methods face challenges in accurately learning a continuous volumetric representation from low-resolution image or require HR image for supervision. To solve these challenges, we propose a novel method for MR image super-resolution based on two-factor representation. Specifically, we factorize intensity signals into a linear combination of learnable basis and coefficient factors, enabling efficient continuous volumetric representation from low-resolution MR image. Besides, we introduce a coordinate-based encoding to capture structural relationships between sparse voxels, facilitating smooth completion in unobserved regions. Experiments on BraTS 2019 and MSSEG 2016 datasets demonstrate that our method achieves state-of-the-art performance, providing superior visual fidelity and robustness, particularly in large up-sampling scale MR image super-resolution.




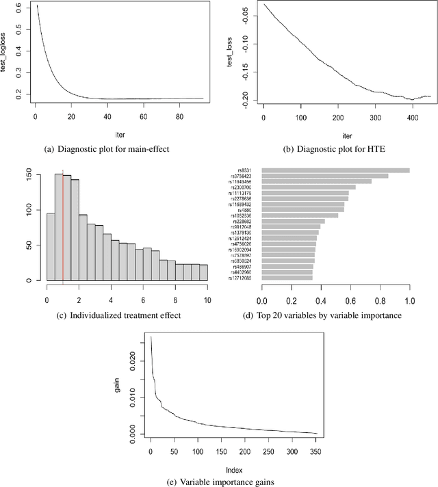
Abstract:Heterogeneous treatment effects (HTE) based on patients' genetic or clinical factors are of significant interest to precision medicine. Simultaneously modeling HTE and corresponding main effects for randomized clinical trials with high-dimensional predictive markers is challenging. Motivated by the modified covariates approach, we propose a two-stage statistical learning procedure for estimating HTE with optimal efficiency augmentation, generalizing to arbitrary interaction model and exploiting powerful extreme gradient boosting trees (XGBoost). Target estimands for HTE are defined in the scale of mean difference for quantitative outcomes, or risk ratio for binary outcomes, which are the minimizers of specialized loss functions. The first stage is to estimate the main-effect equivalency of the baseline markers on the outcome, which is then used as an augmentation term in the second stage estimation for HTE. The proposed two-stage procedure is robust to model mis-specification of main effects and improves efficiency for estimating HTE through nonparametric function estimation, e.g., XGBoost. A permutation test is proposed for global assessment of evidence for HTE. An analysis of a genetic study in Prostate Cancer Prevention Trial led by the SWOG Cancer Research Network, is conducted to showcase the properties and the utilities of the two-stage method.




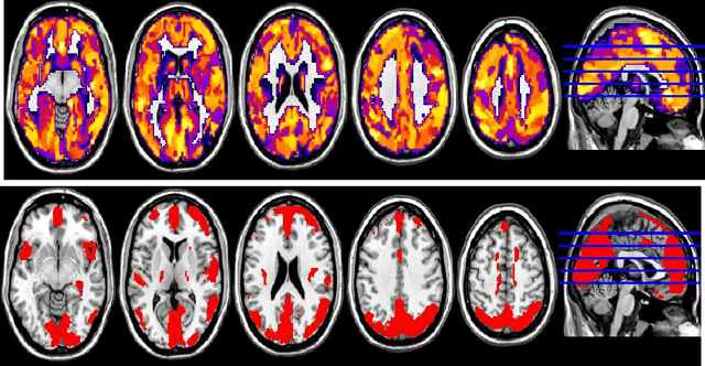
Abstract:In this paper, we focus on how to locate the relevant or discriminative brain regions related with external stimulus or certain mental decease, which is also called support identification, based on the neuroimaging data. The main difficulty lies in the extremely high dimensional voxel space and relatively few training samples, easily resulting in an unstable brain region discovery (or called feature selection in context of pattern recognition). When the training samples are from different centers and have betweencenter variations, it will be even harder to obtain a reliable and consistent result. Corresponding, we revisit our recently proposed algorithm based on stability selection and structural sparsity. It is applied to the multi-center MRI data analysis for the first time. A consistent and stable result is achieved across different centers despite the between-center data variation while many other state-of-the-art methods such as two sample t-test fail. Moreover, we have empirically showed that the performance of this algorithm is robust and insensitive to several of its key parameters. In addition, the support identification results on both functional MRI and structural MRI are interpretable and can be the potential biomarkers.