



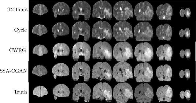
Abstract:Magnetic Resonance Imaging (MRI) of the brain can come in the form of different modalities such as T1-weighted and Fluid Attenuated Inversion Recovery (FLAIR) which has been used to investigate a wide range of neurological disorders. Current state-of-the-art models for brain tissue segmentation and disease classification require multiple modalities for training and inference. However, the acquisition of all of these modalities are expensive, time-consuming, inconvenient and the required modalities are often not available. As a result, these datasets contain large amounts of \emph{unpaired} data, where examples in the dataset do not contain all modalities. On the other hand, there is smaller fraction of examples that contain all modalities (\emph{paired} data) and furthermore each modality is high dimensional when compared to number of datapoints. In this work, we develop a method to address these issues with semi-supervised learning in translating between two neuroimaging modalities. Our proposed model, Semi-Supervised Adversarial CycleGAN (SSA-CGAN), uses an adversarial loss to learn from \emph{unpaired} data points, cycle loss to enforce consistent reconstructions of the mappings and another adversarial loss to take advantage of \emph{paired} data points. Our experiments demonstrate that our proposed framework produces an improvement in reconstruction error and reduced variance for the pairwise translation of multiple modalities and is more robust to thermal noise when compared to existing methods.




Abstract:We explore the performance of sample average approximation in comparison with several other methods for stochastic optimization when there is information available on the underlying true probability distribution. The methods we evaluate are (a) bagging; (b) kernel smoothing; (c) maximum likelihood estimation (MLE); and (d) a Bayesian approach. We use two test sets, the first has a quadratic objective function allowing for very different types of interaction between the random component and the univariate decision variable. Here the sample average approximation is remarkably effective and only consistently outperformed by a Bayesian approach. The second test set is a portfolio optimization problem in which we use different covariance structures for a set of 5 stocks. Here bagging, MLE and a Bayesian approach all do well.




Abstract:We propose a Bayesian approach to spectral graph convolutional networks (GCNs) where the graph parameters are considered as random variables. We develop an inference algorithm to estimate the posterior over these parameters and use it to incorporate prior information that is not naturally considered by standard GCN. The key to our approach is to define a smooth posterior parameterization over the adjacency matrix characterizing the graph, which we estimate via stochastic variational inference. Our experiments show that we can outperform standard GCN methods in the task of semi-supervised classification in noisy-graph regimes.




Abstract:Magnetic Resonance Imaging (MRI) of the brain has been used to investigate a wide range of neurological disorders, but data acquisition can be expensive, time-consuming, and inconvenient. Multi-site studies present a valuable opportunity to advance research by pooling data in order to increase sensitivity and statistical power. However images derived from MRI are susceptible to both obvious and non-obvious differences between sites which can introduce bias and subject variance, and so reduce statistical power. To rectify these differences, we propose a data driven approach using a deep learning architecture known as generative adversarial networks (GANs). GANs learn to estimate two distributions, and can then be used to transform examples from one distribution into the other distribution. Here we transform T1-weighted brain images collected from two different sites into MR images from the same site. We evaluate whether our model can reduce site-specific differences without loss of information related to gender (male, female) or clinical diagnosis (schizophrenia, bipolar disorder, healthy). When trained appropriately, our model is able to normalise imaging sets to a common scanner set with less information loss compared to current approaches. An important advantage is our method can be treated as a black box that does not require any knowledge of the sources of bias but only needs at least two distinct imaging sets.