



Abstract:Research has shown that most resources shared in articles (e.g., URLs to code or data) are not kept up to date and mostly disappear from the web after some years (Zeng et al., 2019). Little is known about the factors that differentiate and predict the longevity of these resources. This article explores a range of explanatory features related to the publication venue, authors, references, and where the resource is shared. We analyze an extensive repository of publications and, through web archival services, reconstruct how they looked at different time points. We discover that the most important factors are related to where and how the resource is shared, and surprisingly little is explained by the author's reputation or prestige of the journal. By examining the places where long-lasting resources are shared, we suggest that it is critical to disseminate and create standards with modern technologies. Finally, we discuss implications for reproducibility and recognizing scientific datasets as first-class citizens.




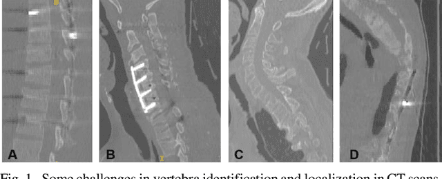
Abstract:Accurate identification and localization of the vertebrae in CT scans is a critical and standard preprocessing step for clinical spinal diagnosis and treatment. Existing methods are mainly based on the integration of multiple neural networks, and most of them use the Gaussian heat map to locate the vertebrae's centroid. However, the process of obtaining the vertebrae's centroid coordinates using heat maps is non-differentiable, so it is impossible to train the network to label the vertebrae directly. Therefore, for end-to-end differential training of vertebra coordinates on CT scans, a robust and accurate automatic vertebral labeling algorithm is proposed in this study. Firstly, a novel residual-based multi-label classification and localization network is developed, which can capture multi-scale features, but also utilize the residual module and skip connection to fuse the multi-level features. Secondly, to solve the problem that the process of finding coordinates is non-differentiable and the spatial structure is not destructible, integral regression module is used in the localization network. It combines the advantages of heat map representation and direct regression coordinates to achieve end-to-end training, and can be compatible with any key point detection methods of medical image based on heat map. Finally, multi-label classification of vertebrae is carried out, which use bidirectional long short term memory (Bi-LSTM) to enhance the learning of long contextual information to improve the classification performance. The proposed method is evaluated on a challenging dataset and the results are significantly better than the state-of-the-art methods (mean localization error <3mm).