



Abstract:In this paper, we present a self-training-based framework for glaucoma grading using OCT B-scans under the presence of domain shift. Particularly, the proposed two-step learning methodology resorts to pseudo-labels generated during the first step to augment the training dataset on the target domain, which is then used to train the final target model. This allows transferring knowledge-domain from the unlabeled data. Additionally, we propose a novel glaucoma-specific backbone which introduces residual and attention modules via skip-connections to refine the embedding features of the latent space. By doing this, our model is capable of improving state-of-the-art from a quantitative and interpretability perspective. The reported results demonstrate that the proposed learning strategy can boost the performance of the model on the target dataset without incurring in additional annotation steps, by using only labels from the source examples. Our model consistently outperforms the baseline by 1-3% across different metrics and bridges the gap with respect to training the model on the labeled target data.




Abstract:Recently, bladder cancer has been significantly increased in terms of incidence and mortality. Currently, two subtypes are known based on tumour growth: non-muscle invasive (NMIBC) and muscle-invasive bladder cancer (MIBC). In this work, we focus on the MIBC subtype because it is of the worst prognosis and can spread to adjacent organs. We present a self-learning framework to grade bladder cancer from histological images stained via immunohistochemical techniques. Specifically, we propose a novel Deep Convolutional Embedded Attention Clustering (DCEAC) which allows classifying histological patches into different severity levels of the disease, according to the patterns established in the literature. The proposed DCEAC model follows a two-step fully unsupervised learning methodology to discern between non-tumour, mild and infiltrative patterns from high-resolution samples of 512x512 pixels. Our system outperforms previous clustering-based methods by including a convolutional attention module, which allows refining the features of the latent space before the classification stage. The proposed network exceeds state-of-the-art approaches by 2-3% across different metrics, achieving a final average accuracy of 0.9034 in a multi-class scenario. Furthermore, the reported class activation maps evidence that our model is able to learn by itself the same patterns that clinicians consider relevant, without incurring prior annotation steps. This fact supposes a breakthrough in muscle-invasive bladder cancer grading which bridges the gap with respect to train the model on labelled data.




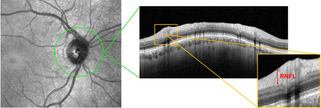
Abstract:Glaucoma is one of the leading causes of blindness worldwide and Optical Coherence Tomography (OCT) is the quintessential imaging technique for its detection. Unlike most of the state-of-the-art studies focused on glaucoma detection, in this paper, we propose, for the first time, a novel framework for glaucoma grading using raw circumpapillary B-scans. In particular, we set out a new OCT-based hybrid network which combines hand-driven and deep learning algorithms. An OCT-specific descriptor is proposed to extract hand-crafted features related to the retinal nerve fibre layer (RNFL). In parallel, an innovative CNN is developed using skip-connections to include tailored residual and attention modules to refine the automatic features of the latent space. The proposed architecture is used as a backbone to conduct a novel few-shot learning based on static and dynamic prototypical networks. The k-shot paradigm is redefined giving rise to a supervised end-to-end system which provides substantial improvements discriminating between healthy, early and advanced glaucoma samples. The training and evaluation processes of the dynamic prototypical network are addressed from two fused databases acquired via Heidelberg Spectralis system. Validation and testing results reach a categorical accuracy of 0.9459 and 0.8788 for glaucoma grading, respectively. Besides, the high performance reported by the proposed model for glaucoma detection deserves a special mention. The findings from the class activation maps are directly in line with the clinicians' opinion since the heatmaps pointed out the RNFL as the most relevant structure for glaucoma diagnosis.




Abstract:Prostate cancer is one of the most prevalent cancers worldwide. One of the key factors in reducing its mortality is based on early detection. The computer-aided diagnosis systems for this task are based on the glandular structural analysis in histology images. Hence, accurate gland detection and segmentation is crucial for a successful prediction. The methodological basis of this work is a prostate gland segmentation based on U-Net convolutional neural network architectures modified with residual and multi-resolution blocks, trained using data augmentation techniques. The residual configuration outperforms in the test subset the previous state-of-the-art approaches in an image-level comparison, reaching an average Dice Index of 0.77.




Abstract:Nowadays, glaucoma is the leading cause of blindness worldwide. We propose in this paper two different deep-learning-based approaches to address glaucoma detection just from raw circumpapillary OCT images. The first one is based on the development of convolutional neural networks (CNNs) trained from scratch. The second one lies in fine-tuning some of the most common state-of-the-art CNNs architectures. The experiments were performed on a private database composed of 93 glaucomatous and 156 normal B-scans around the optic nerve head of the retina, which were diagnosed by expert ophthalmologists. The validation results evidence that fine-tuned CNNs outperform the networks trained from scratch when small databases are addressed. Additionally, the VGG family of networks reports the most promising results, with an area under the ROC curve of 0.96 and an accuracy of 0.92, during the prediction of the independent test set.