



Abstract:We propose an information-theoretic knowledge distillation approach for the compression of generative adversarial networks, which aims to maximize the mutual information between teacher and student networks via a variational optimization based on an energy-based model. Because the direct computation of the mutual information in continuous domains is intractable, our approach alternatively optimizes the student network by maximizing the variational lower bound of the mutual information. To achieve a tight lower bound, we introduce an energy-based model relying on a deep neural network to represent a flexible variational distribution that deals with high-dimensional images and consider spatial dependencies between pixels, effectively. Since the proposed method is a generic optimization algorithm, it can be conveniently incorporated into arbitrary generative adversarial networks and even dense prediction networks, e.g., image enhancement models. We demonstrate that the proposed algorithm achieves outstanding performance in model compression of generative adversarial networks consistently when combined with several existing models.




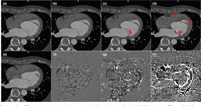
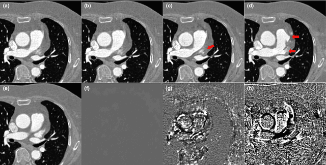
Abstract:In coronary CT angiography, a series of CT images are taken at different levels of radiation dose during the examination. Although this reduces the total radiation dose, the image quality during the low-dose phases is significantly degraded. To address this problem, here we propose a novel semi-supervised learning technique that can remove the noises of the CT images obtained in the low-dose phases by learning from the CT images in the routine dose phases. Although a supervised learning approach is not possible due to the differences in the underlying heart structure in two phases, the images in the two phases are closely related so that we propose a cycle-consistent adversarial denoising network to learn the non-degenerate mapping between the low and high dose cardiac phases. Experimental results showed that the proposed method effectively reduces the noise in the low-dose CT image while the preserving detailed texture and edge information. Moreover, thanks to the cyclic consistency and identity loss, the proposed network does not create any artificial features that are not present in the input images. Visual grading and quality evaluation also confirm that the proposed method provides significant improvement in diagnostic quality.




Abstract:Model based iterative reconstruction (MBIR) algorithms for low-dose X-ray CT are computationally expensive. To address this problem, we recently proposed a deep convolutional neural network (CNN) for low-dose X-ray CT and won the second place in 2016 AAPM Low-Dose CT Grand Challenge. However, some of the texture were not fully recovered. To address this problem, here we propose a novel framelet-based denoising algorithm using wavelet residual network which synergistically combines the expressive power of deep learning and the performance guarantee from the framelet-based denoising algorithms. The new algorithms were inspired by the recent interpretation of the deep convolutional neural network (CNN) as a cascaded convolution framelet signal representation. Extensive experimental results confirm that the proposed networks have significantly improved performance and preserves the detail texture of the original images.




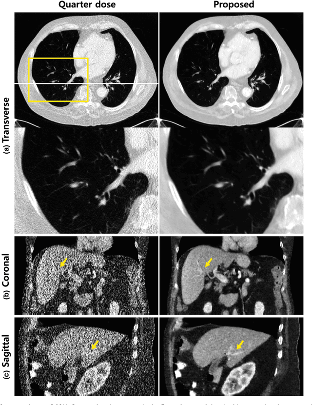
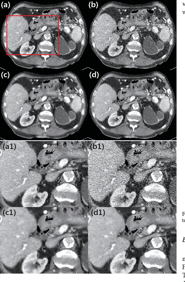
Abstract:Due to the potential risk of inducing cancers, radiation dose of X-ray CT should be reduced for routine patient scanning. However, in low-dose X-ray CT, severe artifacts usually occur due to photon starvation, beamhardening, etc, which decrease the reliability of diagnosis. Thus, high quality reconstruction from low-dose X-ray CT data has become one of the important research topics in CT community. Conventional model-based denoising approaches are, however, computationally very expensive, and image domain denoising approaches hardly deal with CT specific noise patterns. To address these issues, we propose an algorithm using a deep convolutional neural network (CNN), which is applied to wavelet transform coefficients of low-dose CT images. Specifically, by using a directional wavelet transform for extracting directional component of artifacts and exploiting the intra- and inter-band correlations, our deep network can effectively suppress CT specific noises. Moreover, our CNN is designed to have various types of residual learning architecture for faster network training and better denoising. Experimental results confirm that the proposed algorithm effectively removes complex noise patterns of CT images, originated from the reduced X-ray dose. In addition, we show that wavelet domain CNN is efficient in removing the noises from low-dose CT compared to an image domain CNN. Our results were rigorously evaluated by several radiologists and won the second place award in 2016 AAPM Low-Dose CT Grand Challenge. To the best of our knowledge, this work is the first deep learning architecture for low-dose CT reconstruction that has been rigorously evaluated and proven for its efficacy.




Abstract:Model based iterative reconstruction (MBIR) algorithms for low-dose X-ray CT are computationally complex because of the repeated use of the forward and backward projection. Inspired by this success of deep learning in computer vision applications, we recently proposed a deep convolutional neural network (CNN) for low-dose X-ray CT and won the second place in 2016 AAPM Low-Dose CT Grand Challenge. However, some of the texture are not fully recovered, which was unfamiliar to some radiologists. To cope with this problem, here we propose a direct residual learning approach on directional wavelet domain to solve this problem and to improve the performance against previous work. In particular, the new network estimates the noise of each input wavelet transform, and then the de-noised wavelet coefficients are obtained by subtracting the noise from the input wavelet transform bands. The experimental results confirm that the proposed network has significantly improved performance, preserving the detail texture of the original images.