



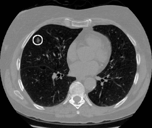
We present a deep learning framework for computer-aided lung cancer diagnosis. Our multi-stage framework detects nodules in 3D lung CAT scans, determines if each nodule is malignant, and finally assigns a cancer probability based on these results. We discuss the challenges and advantages of our framework. In the Kaggle Data Science Bowl 2017, our framework ranked 41st out of 1972 teams.