Abstract:The pandemic resulted in vast repositories of unstructured data, including radiology reports, due to increased medical examinations. Previous research on automated diagnosis of COVID-19 primarily focuses on X-ray images, despite their lower precision compared to computed tomography (CT) scans. In this work, we leverage unstructured data from a hospital and harness the fine-grained details offered by CT scans to perform zero-shot multi-label classification based on contrastive visual language learning. In collaboration with human experts, we investigate the effectiveness of multiple zero-shot models that aid radiologists in detecting pulmonary embolisms and identifying intricate lung details like ground glass opacities and consolidations. Our empirical analysis provides an overview of the possible solutions to target such fine-grained tasks, so far overlooked in the medical multimodal pretraining literature. Our investigation promises future advancements in the medical image analysis community by addressing some challenges associated with unstructured data and fine-grained multi-label classification.




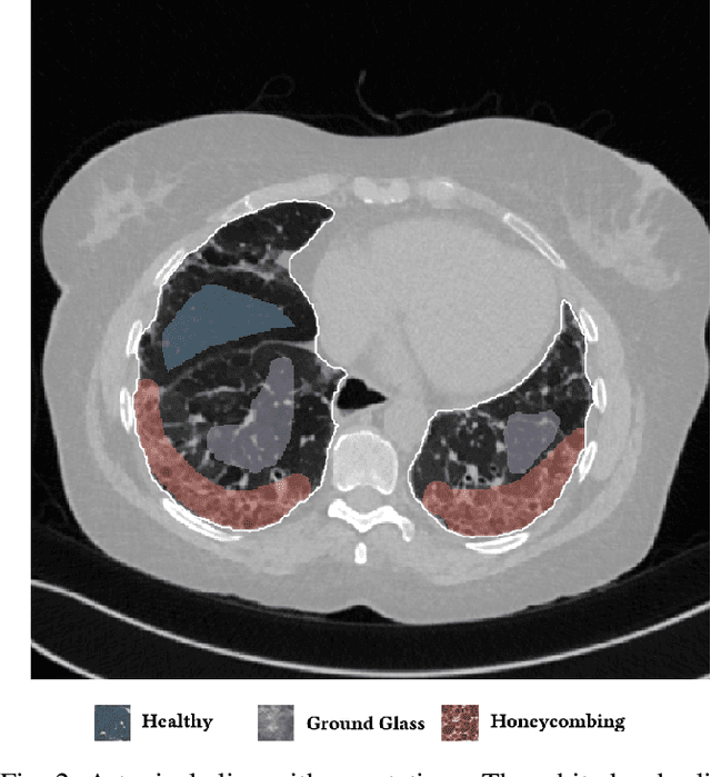
Abstract:Early and accurate diagnosis of interstitial lung diseases (ILDs) is crucial for making treatment decisions, but can be challenging even for experienced radiologists. The diagnostic procedure is based on the detection and recognition of the different ILD pathologies in thoracic CT scans, yet their manifestation often appears similar. In this study, we propose the use of a deep purely convolutional neural network for the semantic segmentation of ILD patterns, as the basic component of a computer aided diagnosis (CAD) system for ILDs. The proposed CNN, which consists of convolutional layers with dilated filters, takes as input a lung CT image of arbitrary size and outputs the corresponding label map. We trained and tested the network on a dataset of 172 sparsely annotated CT scans, within a cross-validation scheme. The training was performed in an end-to-end and semi-supervised fashion, utilizing both labeled and non-labeled image regions. The experimental results show significant performance improvement with respect to the state of the art.