

Abstract:Medical imaging tasks often involve multiple contrasts, such as T1- and T2-weighted magnetic resonance imaging (MRI) data. These contrasts capture information associated with the same underlying anatomy and thus exhibit similarities. In this paper, we propose a Coupled Dictionary Learning based multi-contrast MRI reconstruction (CDLMRI) approach to leverage an available guidance contrast to restore the target contrast. Our approach consists of three stages: coupled dictionary learning, coupled sparse denoising, and $k$-space consistency enforcing. The first stage learns a group of dictionaries that capture correlations among multiple contrasts. By capitalizing on the learned adaptive dictionaries, the second stage performs joint sparse coding to denoise the corrupted target image with the aid of a guidance contrast. The third stage enforces consistency between the denoised image and the measurements in the $k$-space domain. Numerical experiments on the retrospective under-sampling of clinical MR images demonstrate that incorporating additional guidance contrast via our design improves MRI reconstruction, compared to state-of-the-art approaches.




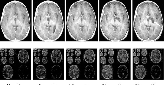
Abstract:Purpose: Repeated brain MRI scans are performed in many clinical scenarios, such as follow up of patients with tumors and therapy response assessment. In this paper, the authors show an approach to utilize former scans of the patient for the acceleration of repeated MRI scans. Methods: The proposed approach utilizes the possible similarity of the repeated scans in longitudinal MRI studies. Since similarity is not guaranteed, sampling and reconstruction are adjusted during acquisition to match the actual similarity between the scans. The baseline MR scan is utilized both in the sampling stage, via adaptive sampling, and in the reconstruction stage, with weighted reconstruction. In adaptive sampling, k-space sampling locations are optimized during acquisition. Weighted reconstruction uses the locations of the nonzero coefficients in the sparse domains as a prior in the recovery process. The approach was tested on 2D and 3D MRI scans of patients with brain tumors. Results: The longitudinal adaptive CS MRI (LACS-MRI) scheme provides reconstruction quality which outperforms other CS-based approaches for rapid MRI. Examples are shown on patients with brain tumors and demonstrate improved spatial resolution. Compared with data sampled at Nyquist rate, LACS-MRI exhibits Signal-to-Error Ratio (SER) of 24.8dB with undersampling factor of 16.6 in 3D MRI. Conclusions: The authors have presented a novel method for image reconstruction utilizing similarity of scans in longitudinal MRI studies, where possible. The proposed approach can play a major part and significantly reduce scanning time in many applications that consist of disease follow-up and monitoring of longitudinal changes in brain MRI.