



Abstract:Automated segmentation of individual calf muscle compartments from 3D magnetic resonance (MR) images is essential for developing quantitative biomarkers for muscular disease progression and its prediction. Achieving clinically acceptable results is a challenging task due to large variations in muscle shape and MR appearance. Although deep convolutional neural networks (DCNNs) achieved improved accuracy in various image segmentation tasks, certain problems such as utilizing long-range information and incorporating high-level constraints remain unsolved. We present a novel fully convolutional network (FCN), called FilterNet, that utilizes contextual information in a large neighborhood and embeds edge-aware constraints for individual calf muscle compartment segmentations. An encoder-decoder architecture with flexible backbone blocks is used to systematically enlarge convolution receptive field and preserve information at all resolutions. Edge positions derived from the FCN output muscle probability maps are explicitly regularized using kernel-based edge detection in an end-to-end optimization framework. Our FilterNet was evaluated on 40 T1-weighted MR images of 10 healthy and 30 diseased subjects by 4-fold cross-validation. Mean DICE coefficients of 88.00%--91.29% and mean absolute surface positioning errors of 1.04--1.66 mm were achieved for the five 3D muscle compartments.




Abstract:State-of-the-art automated segmentation algorithms are not 100\% accurate especially when segmenting difficult to interpret datasets like those with severe osteoarthritis (OA). We present a novel interactive method called just-enough interaction (JEI), which adds a fast correction step to the automated layered optimal graph segmentation of multiple objects and surfaces (LOGISMOS). After LOGISMOS segmentation in knee MRI, the JEI user interaction does not modify boundary surfaces of the bones and cartilages directly. Local costs of underlying graph nodes are modified instead and the graph is re-optimized, providing globally optimal corrected results. Significant performance improvement ($p \ll 0.001$) was observed when comparing JEI-corrected results to the automated. The algorithm was extended from 3D JEI to longitudinal multi-3D (4D) JEI allowing simultaneous visualization and interaction of multiple-time points of the same patient.




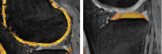
Abstract:We present a fully automated learning-based approach for segmenting knee cartilage in the presence of osteoarthritis (OA). The algorithm employs a hierarchical set of two random forest classifiers. The first is a neighborhood approximation forest, the output probability map of which is utilized as a feature set for the second random forest (RF) classifier. The output probabilities of the hierarchical approach are used as cost functions in a Layered Optimal Graph Segmentation of Multiple Objects and Surfaces (LOGISMOS). In this work, we highlight a novel post-processing interaction called just-enough interaction (JEI) which enables quick and accurate generation of a large set of training examples. Disjoint sets of 15 and 13 subjects were used for training and tested on another disjoint set of 53 knee datasets. All images were acquired using a double echo steady state (DESS) MRI sequence and are from the osteoarthritis initiative (OAI) database. Segmentation performance using the learning-based cost function showed significant reduction in segmentation errors ($p< 0.05$) in comparison with conventional gradient-based cost functions.




Abstract:A fully automated knee MRI segmentation method to study osteoarthritis (OA) was developed using a novel hierarchical set of random forests (RF) classifiers to learn the appearance of cartilage regions and their boundaries. A neighborhood approximation forest is used first to provide contextual feature to the second-level RF classifier that also considers local features and produces location-specific costs for the layered optimal graph image segmentation of multiple objects and surfaces (LOGISMOS) framework. Double echo steady state (DESS) MRIs used in this work originated from the Osteoarthritis Initiative (OAI) study. Trained on 34 MRIs with varying degrees of OA, the performance of the learning-based method tested on 108 MRIs showed a significant reduction in segmentation errors (\emph{p}$<$0.05) compared with the conventional gradient-based and single-stage RF-learned costs. The 3D LOGISMOS was extended to longitudinal-3D (4D) to simultaneously segment multiple follow-up visits of the same patient. As such, data from all time-points of the temporal sequence contribute information to a single optimal solution that utilizes both spatial 3D and temporal contexts. 4D LOGISMOS validation on 108 MRIs from baseline and 12 month follow-up scans of 54 patients showed a significant reduction in segmentation errors (\emph{p}$<$0.01) compared to 3D. Finally, the potential of 4D LOGISMOS was further explored on the same 54 patients using 5 annual follow-up scans demonstrating a significant improvement of measuring cartilage thickness (\emph{p}$<$0.01) compared to the sequential 3D approach.