



Abstract:The Lip Reading Sentences-3 (LRS3) benchmark has primarily been the focus of intense research in visual speech recognition (VSR) during the last few years. As a result, there is an increased risk of overfitting to its excessively used test set, which is only one hour duration. To alleviate this issue, we build a new VSR test set named WildVSR, by closely following the LRS3 dataset creation processes. We then evaluate and analyse the extent to which the current VSR models generalize to the new test data. We evaluate a broad range of publicly available VSR models and find significant drops in performance on our test set, compared to their corresponding LRS3 results. Our results suggest that the increase in word error rates is caused by the models inability to generalize to slightly harder and in the wild lip sequences than those found in the LRS3 test set. Our new test benchmark is made public in order to enable future research towards more robust VSR models.
Abstract:Visual Speech Recognition (VSR) differs from the common perception tasks as it requires deeper reasoning over the video sequence, even by human experts. Despite the recent advances in VSR, current approaches rely on labeled data to fully train or finetune their models predicting the target speech. This hinders their ability to generalize well beyond the training set and leads to performance degeneration under out-of-distribution challenging scenarios. Unlike previous works that involve auxiliary losses or complex training procedures and architectures, we propose a simple approach, named Lip2Vec that is based on learning a prior model. Given a robust visual speech encoder, this network maps the encoded latent representations of the lip sequence to their corresponding latents from the audio pair, which are sufficiently invariant for effective text decoding. The generated audio representation is then decoded to text using an off-the-shelf Audio Speech Recognition (ASR) model. The proposed model compares favorably with fully-supervised learning methods on the LRS3 dataset achieving 26 WER. Unlike SoTA approaches, our model keeps a reasonable performance on the VoxCeleb test set. We believe that reprogramming the VSR as an ASR task narrows the performance gap between the two and paves the way for more flexible formulations of lip reading.




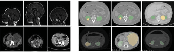
Abstract:Anatomical structures such as blood vessels in contrast-enhanced CT (ceCT) images can be challenging to segment due to the variability in contrast medium diffusion. The combined use of ceCT and contrast-free (CT) CT images can improve the segmentation performances, but at the cost of a double radiation exposure. To limit the radiation dose, generative models could be used to synthesize one modality, instead of acquiring it. The CycleGAN approach has recently attracted particular attention because it alleviates the need for paired data that are difficult to obtain. Despite the great performances demonstrated in the literature, limitations still remain when dealing with 3D volumes generated slice by slice from unpaired datasets with different fields of view. We present an extension of CycleGAN to generate high fidelity images, with good structural consistency, in this context. We leverage anatomical constraints and automatic region of interest selection by adapting the Self-Supervised Body Regressor. These constraints enforce anatomical consistency and allow feeding anatomically-paired input images to the algorithm. Results show qualitative and quantitative improvements, compared to stateof-the-art methods, on the translation task between ceCT and CT images (and vice versa).




Abstract:Due to a high heterogeneity in pose and size and to a limited number of available data, segmentation of pediatric images is challenging for deep learning methods. In this work, we propose a new CNN architecture that is pose and scale invariant thanks to the use of Spatial Transformer Network (STN). Our architecture is composed of three sequential modules that are estimated together during training: (i) a regression module to estimate a similarity matrix to normalize the input image to a reference one; (ii) a differentiable module to find the region of interest to segment; (iii) a segmentation module, based on the popular UNet architecture, to delineate the object. Unlike the original UNet, which strives to learn a complex mapping, including pose and scale variations, from a finite training dataset, our segmentation module learns a simpler mapping focusing on images with normalized pose and size. Furthermore, the use of an automatic bounding box detection through STN allows saving time and especially memory, while keeping similar performance. We test the proposed method in kidney and renal tumor segmentation on abdominal pediatric CT scanners. Results indicate that the estimated STN homogenization of size and pose accelerates the segmentation (25h), compared to standard data-augmentation (33h), while obtaining a similar quality for the kidney (88.01\% of Dice score) and improving the renal tumor delineation (from 85.52\% to 87.12\%).