



Abstract:Learning from point sets is an essential component in many computer vision and machine learning applications. Native, unordered, and permutation invariant set structure space is challenging to model, particularly for point set classification under spatial deformations. Here we propose a framework for classifying point sets experiencing certain types of spatial deformations, with a particular emphasis on datasets featuring affine deformations. Our approach employs the Linear Optimal Transport (LOT) transform to obtain a linear embedding of set-structured data. Utilizing the mathematical properties of the LOT transform, we demonstrate its capacity to accommodate variations in point sets by constructing a convex data space, effectively simplifying point set classification problems. Our method, which employs a nearest-subspace algorithm in the LOT space, demonstrates label efficiency, non-iterative behavior, and requires no hyper-parameter tuning. It achieves competitive accuracies compared to state-of-the-art methods across various point set classification tasks. Furthermore, our approach exhibits robustness in out-of-distribution scenarios where training and test distributions vary in terms of deformation magnitudes.
Abstract:There exist growing interests in intelligent systems for numerous medical imaging, image processing, and computer vision applications, such as face recognition, medical diagnosis, character recognition, and self-driving cars, among others. These applications usually require solving complex classification problems involving complex images with unknown data generative processes. In addition to recent successes of the current classification approaches relying on feature engineering and deep learning, several shortcomings of them, such as the lack of robustness, generalizability, and interpretability, have also been observed. These methods often require extensive training data, are computationally expensive, and are vulnerable to out-of-distribution samples, e.g., adversarial attacks. Recently, an accurate, data-efficient, computationally efficient, and robust transport-based classification approach has been proposed, which describes a generative model-based problem formulation and closed-form solution for a specific category of classification problems. However, all these approaches lack mechanisms to detect test samples outside the class distributions used during training. In real-world settings, where the collected training samples are unable to exhaust or cover all classes, the traditional classification schemes are unable to handle the unseen classes effectively, which is especially an important issue for safety-critical systems, such as self-driving and medical imaging diagnosis. In this work, we propose a method for detecting out-of-class distributions based on the distribution of sliced-Wasserstein distance from the Radon Cumulative Distribution Transform (R-CDT) subspace. We tested our method on the MNIST and two medical image datasets and reported better accuracy than the state-of-the-art methods without an out-of-class distribution detection procedure.




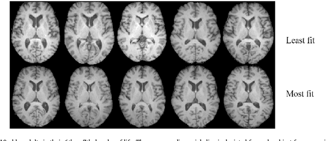
Abstract:Disease in the brain is often associated with subtle, spatially diffuse, or complex tissue changes that may lie beneath the level of gross visual inspection, even on magnetic resonance imaging (MRI). Unfortunately, current computer-assisted approaches that examine pre-specified features, whether anatomically-defined (i.e. thalamic volume, cortical thickness) or based on pixelwise comparison (i.e. deformation-based methods), are prone to missing a vast array of physical changes that are not well-encapsulated by these metrics. In this paper, we have developed a technique for automated pattern analysis that can fully determine the relationship between brain structure and observable phenotype without requiring any a priori features. Our technique, called transport-based morphometry (TBM), is an image transformation that maps brain images losslessly to a domain where they become much more separable. The new approach is validated on structural brain images of healthy older adult subjects where even linear models for discrimination, regression, and blind source separation enable TBM to independently discover the characteristic changes of aging and highlight potential mechanisms by which aerobic fitness may mediate brain health later in life. TBM is a generative approach that can provide visualization of physically meaningful shifts in tissue distribution through inverse transformation. The proposed framework is a powerful technique that can potentially elucidate genotype-structural-behavioral associations in myriad diseases.