Hellenic Open University
Abstract:Decision-tree methods are widely used on structured tabular data and are valued for interpretability across many sectors. However, published studies often list the predictors they use (for example age, diagnosis codes, location). Privacy laws increasingly regulate such data types. We use published decision-tree papers as a proxy for real-world use of legally governed data. We compile a corpus of decision-tree studies and assign each reported predictor to a regulated data category (for example health data, biometric identifiers, children's data, financial attributes, location traces, and government IDs). We then link each category to specific excerpts in European Union and United States privacy laws. We find that many reported predictors fall into regulated categories, with the largest shares in healthcare and clear differences across industries. We analyze prevalence, industry composition, and temporal patterns, and summarize regulation-aligned timing using each framework's reference year. Our evidence supports privacy-preserving methods and governance checks, and can inform ML practice beyond decision trees.
Abstract:Trust management provides an alternative solution for securing open, dynamic, and distributed multi-agent systems, where conventional cryptographic methods prove to be impractical. However, existing trust models face challenges related to agent mobility, changing behaviors, and the cold start problem. To address these issues we introduced a biologically inspired trust model in which trustees assess their own capabilities and store trust data locally. This design improves mobility support, reduces communication overhead, resists disinformation, and preserves privacy. Despite these advantages, prior evaluations revealed limitations of our model in adapting to provider population changes and continuous performance fluctuations. This study proposes a novel algorithm, incorporating a self-classification mechanism for providers to detect performance drops potentially harmful for the service consumers. Simulation results demonstrate that the new algorithm outperforms its original version and FIRE, a well-known trust and reputation model, particularly in handling dynamic trustee behavior. While FIRE remains competitive under extreme environmental changes, the proposed algorithm demonstrates greater adaptability across various conditions. In contrast to existing trust modeling research, this study conducts a comprehensive evaluation of our model using widely recognized trust model criteria, assessing its resilience against common trust-related attacks while identifying strengths, weaknesses, and potential countermeasures. Finally, several key directions for future research are proposed.
Abstract:Our study focuses on comparing the performance and resource requirements between different Long Short-Term Memory (LSTM) neural network architectures and an ANN specialized architecture for forex market prediction. We analyze the execution time of the models as well as the resources consumed, such as memory and computational power. Our aim is to demonstrate that the specialized architecture not only achieves better results in forex market prediction but also executes using fewer resources and in a shorter time frame compared to LSTM architectures. This comparative analysis will provide significant insights into the suitability of these two types of architectures for time series prediction in the forex market environment.
Abstract:The present document delineates the analysis, design, implementation, and benchmarking of various neural network architectures within a short-term frequency prediction system for the foreign exchange market (FOREX). Our aim is to simulate the judgment of the human expert (technical analyst) using a system that responds promptly to changes in market conditions, thus enabling the optimization of short-term trading strategies. We designed and implemented a series of LSTM neural network architectures which are taken as input the exchange rate values and generate the short-term market trend forecasting signal and an ANN custom architecture based on technical analysis indicator simulators We performed a comparative analysis of the results and came to useful conclusions regarding the suitability of each architecture and the cost in terms of time and computational power to implement them. The ANN custom architecture produces better prediction quality with higher sensitivity using fewer resources and spending less time than LSTM architectures. The ANN custom architecture appears to be ideal for use in low-power computing systems and for use cases that need fast decisions with the least possible computational cost.




Abstract:Recent work on decentralized computational trust models for open Multi Agent Systems has resulted in the development of CA, a biologically inspired model which focuses on the trustee's perspective. This new model addresses a serious unresolved problem in existing trust and reputation models, namely the inability to handle constantly changing behaviors and agents' continuous entry and exit from the system. In previous work, we compared CA to FIRE, a well-known trust and reputation model, and found that CA is superior when the trustor population changes, whereas FIRE is more resilient to the trustee population changes. Thus, in this paper, we investigate how the trustors can detect the presence of several dynamic factors in their environment and then decide which trust model to employ in order to maximize utility. We frame this problem as a machine learning problem in a partially observable environment, where the presence of several dynamic factors is not known to the trustor and we describe how an adaptable trustor can rely on a few measurable features so as to assess the current state of the environment and then use Deep Q Learning (DQN), in a single-agent Reinforcement Learning setting, to learn how to adapt to a changing environment. We ran a series of simulation experiments to compare the performance of the adaptable trustor with the performance of trustors using only one model (FIRE or CA) and we show that an adaptable agent is indeed capable of learning when to use each model and, thus, perform consistently in dynamic environments.




Abstract:Current trust and reputation models continue to have significant limitations, such as the inability to deal with agents constantly entering or exiting open multi-agent systems (open MAS), as well as continuously changing behaviors. Our study is based on CA, a previously proposed decentralized computational trust model from the trustee's point of view, inspired by synaptic plasticity and the formation of assemblies in the human brain. It is designed to meet the requirements of highly dynamic and open MAS, and its main difference with most conventional trust and reputation models is that the trustor does not select a trustee to delegate a task; instead, the trustee determines whether it is qualified to successfully execute it. We ran a series of simulations to compare CA model to FIRE, a well-established, decentralized trust and reputation model for open MAS under conditions of continuous trustee and trustor population replacement, as well as continuous change of trustees' abilities to perform tasks. The main finding is that FIRE is superior to changes in the trustee population, whereas CA is resilient to the trustor population changes. When the trustees switch performance profiles FIRE clearly outperforms despite the fact that both models' performances are significantly impacted by this environmental change. Findings lead us to conclude that learning to use the appropriate trust model, according to the dynamic conditions in effect could maximize the trustor's benefits.




Abstract:Introduction: One of the most important tasks in the Emergency Department (ED) is to promptly identify the patients who will benefit from hospital admission. Machine Learning (ML) techniques show promise as diagnostic aids in healthcare. Material and methods: We investigated the following features seeking to investigate their performance in predicting hospital admission: serum levels of Urea, Creatinine, Lactate Dehydrogenase, Creatine Kinase, C-Reactive Protein, Complete Blood Count with differential, Activated Partial Thromboplastin Time, D Dimer, International Normalized Ratio, age, gender, triage disposition to ED unit and ambulance utilization. A total of 3,204 ED visits were analyzed. Results: The proposed algorithms generated models which demonstrated acceptable performance in predicting hospital admission of ED patients. The range of F-measure and ROC Area values of all eight evaluated algorithms were [0.679-0.708] and [0.734-0.774], respectively. Discussion: The main advantages of this tool include easy access, availability, yes/no result, and low cost. The clinical implications of our approach might facilitate a shift from traditional clinical decision-making to a more sophisticated model. Conclusion: Developing robust prognostic models with the utilization of common biomarkers is a project that might shape the future of emergency medicine. Our findings warrant confirmation with implementation in pragmatic ED trials.




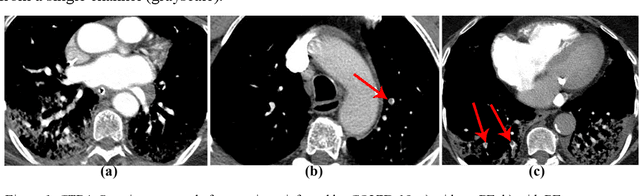
Abstract:The main objective of this work is to utilize state-of-the-art deep learning approaches for the identification of pulmonary embolism in CTPA-Scans for COVID-19 patients, provide an initial assessment of their performance and, ultimately, provide a fast-track prototype solution (system). We adopted and assessed some of the most popular convolutional neural network architectures through transfer learning approaches, to strive to combine good model accuracy with fast training. Additionally, we exploited one of the most popular one-stage object detection models for the localization (through object detection) of the pulmonary embolism regions-of-interests. The models of both approaches are trained on an original CTPA-Scan dataset, where we annotated of 673 CTPA-Scan images with 1,465 bounding boxes in total, highlighting pulmonary embolism regions-of-interests. We provide a brief assessment of some state-of-the-art image classification models by achieving validation accuracies of 91% in pulmonary embolism classification. Additionally, we achieved a precision of about 68% on average in the object detection model for the pulmonary embolism localization under 50% IoU threshold. For both approaches, we provide the entire training pipelines for future studies (step by step processes through source code). In this study, we present some of the most accurate and fast deep learning models for pulmonary embolism identification in CTPA-Scans images, through classification and localization (object detection) approaches for patients infected by COVID-19. We provide a fast-track solution (system) for the research community of the area, which combines both classification and object detection models for improving the precision of identifying pulmonary embolisms.




Abstract:Agent based simulation of social organizations, via the investigation of agents' training and learning tactics and strategies, has been inspired by the ability of humans to learn from social environments which are rich in agents, interactions and partial or hidden information. Such richness is a source of complexity that an effective learner has to be able to navigate. This paper focuses on the investigation of the impact of the environmental complexity on the game playing-and-learning behavior of synthetic agents. We demonstrate our approach using two independent turn-based zero-sum games as the basis of forming social events which are characterized both by competition and cooperation. The paper's key highlight is that as the complexity of a social environment changes, an effective player has to adapt its learning and playing profile to maintain a given performance profile




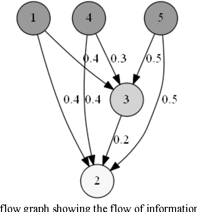
Abstract:We use decision trees to build a helpdesk agent reference network to facilitate the on-the-job advising of junior or less experienced staff on how to better address telecommunication customer fault reports. Such reports generate field measurements and remote measurements which, when coupled with location data and client attributes, and fused with organization-level statistics, can produce models of how support should be provided. Beyond decision support, these models can help identify staff who can act as advisors, based on the quality, consistency and predictability of dealing with complex troubleshooting reports. Advisor staff models are then used to guide less experienced staff in their decision making; thus, we advocate the deployment of a simple mechanism which exploits the availability of staff with a sound track record at the helpdesk to act as dormant tutors.