



Abstract:The battery management system plays a vital role in ensuring the safety and dependability of electric and hybrid vehicles. It is responsible for various functions, including state evaluation, monitoring, charge control, and cell balancing, all integrated within the BMS. Nonetheless, due to the uncertainties surrounding battery performance, implementing these functionalities poses significant challenges. In this study, we explore the latest approaches for assessing battery states, highlight notable advancements in battery management systems (BMS), address existing issues with current BMS technology, and put forth possible solutions for predicting battery charging voltage.
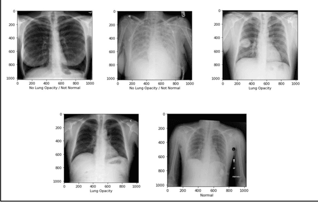
Abstract:COVID-19, also known as Novel Coronavirus Disease, is a highly contagious disease that first surfaced in China in late 2019. SARS-CoV-2 is a coronavirus that belongs to the vast family of coronaviruses that causes this disease. The sickness originally appeared in Wuhan, China in December 2019 and quickly spread to over 213 nations, becoming a global pandemic. Fever, dry cough, and tiredness are the most typical COVID-19 symptoms. Aches, pains, and difficulty breathing are some of the other symptoms that patients may face. The majority of these symptoms are indicators of respiratory infections and lung abnormalities, which radiologists can identify. Chest x-rays of COVID-19 patients seem similar, with patchy and hazy lungs rather than clear and healthy lungs. On x-rays, however, pneumonia and other chronic lung disorders can resemble COVID-19. Trained radiologists must be able to distinguish between COVID-19 and an illness that is less contagious. Our AI algorithm seeks to give doctors a quantitative estimate of the risk of deterioration. So that patients at high risk of deterioration can be triaged and treated efficiently. The method could be particularly useful in pandemic hotspots when screening upon admission is important for allocating limited resources like hospital beds.




Abstract:The Indian Agricultural sector generates huge employment accounting for over 54% of countrys workforce. Its overall stand in GDP is close to 14%. However, this sector has been plagued by knowledge and infrastructure deficit, especially in the rural sectors. Like other sectors, the Indian Agricultural sector has seen rapid digitization with use of technology and Kisan Call Center (KCC) is one such example. It is a Government of India initiative launched on 21st January 2004 which is a synthesis of two hitherto separate sectors the Information Technology and Agriculture sector. However, studies have shown to have constrains to KCC beneficiaries, especially in light of network congestion and incomplete knowledge of the call center representatives. With the advent of new technologies, like first-generation SMS based and next-generation social media tools like WhatsApp, farmers in India are digitally more connected to the agricultural information services. Previous studies have shown that the KCC dataset can be used as a viable alternative for Chat-bot. We will base our study with the available KCC dataset to build an NLP model by getting the semantic similarity of the queries made by farmers in the past and use it to automatically answer future queries. We will attempt to make a WhatsApp based chat-bot to easily communicate with farmers using RASA as a tool.




Abstract:With the advancement in AI, deep learning techniques are widely used to design robust classification models in several areas such as medical diagnosis tasks in which it achieves good performance. In this paper, we have proposed the CNN model (Convolutional Neural Network) for the classification of Chest X-ray images for Radiological Society of North America Pneumonia (RSNA) datasets. The study also tries to achieve the same RSNA benchmark results using the limited computational resources by trying out various approaches to the methodologies that have been implemented in recent years. The proposed method is based on a non-complex CNN and the use of transfer learning algorithms like Xception, InceptionV3/V4, EfficientNetB7. Along with this, the study also tries to achieve the same RSNA benchmark results using the limited computational resources by trying out various approaches to the methodologies that have been implemented in recent years. The RSNA benchmark MAP score is 0.25, but using the Mask RCNN model on a stratified sample of 3017 along with image augmentation gave a MAP score of 0.15. Meanwhile, the YoloV3 without any hyperparameter tuning gave the MAP score of 0.32 but still, the loss keeps decreasing. Running the model for a greater number of iterations can give better results.




Abstract:Businesses need content. In various forms and formats and for varied purposes. In fact, the content marketing industry is set to be worth $412.88 billion by the end of 2021. However, according to the Content Marketing Institute, creating engaging content is the #1 challenge that marketers face today. We under-stand that producing great content requires great writers who understand the business and can weave their message into reader (and search engine) friendly content. In this project, the team has attempted to bridge the gap between writers and projects by using AI and ML tools. We used NLP techniques to analyze thou-sands of publicly available business articles (corpora) to extract various defining factors for each writing sample. Through this project we aim to automate the highly time-consuming, and often biased task of manually shortlisting the most suitable writer for a given content writing requirement. We believe that a tool like this will have far reaching positive implications for both parties - businesses looking for suitable talent for niche writing jobs as well as experienced writers and Subject Matter Experts (SMEs) wanting to lend their services to content marketing projects. The business gets the content they need, the content writer/ SME gets a chance to leverage his or her talent, while the reader gets authentic content that adds real value.




Abstract:Stock market prediction has been an active area of research for a considerable period. Arrival of computing, followed by Machine Learning has upgraded the speed of research as well as opened new avenues. As part of this research study, we aimed to predict the future stock movement of shares using the historical prices aided with availability of sentiment data. Two models were used as part of the exercise, LSTM was the first model with historical prices as the independent variable. Sentiment Analysis captured using Intensity Analyzer was used as the major parameter for Random Forest Model used for the second part, some macro parameters like Gold, Oil prices, USD exchange rate and Indian Govt. Securities yields were also added to the model for improved accuracy of the model. As the end product, prices of 4 stocks viz. Reliance, HDFC Bank, TCS and SBI were predicted using the aforementioned two models. The results were evaluated using RMSE metric.




Abstract:With over 50 million car sales annually and over 1.3 million deaths every year due to motor accidents we have chosen this space. India accounts for 11 per cent of global death in road accidents. Drivers are held responsible for 78% of accidents. Road safety problems in developing countries is a major concern and human behavior is ascribed as one of the main causes and accelerators of road safety problems. Driver distraction has been identified as the main reason for accidents. Distractions can be caused due to reasons such as mobile usage, drinking, operating instruments, facial makeup, social interaction. For the scope of this project, we will focus on building a highly efficient ML model to classify different driver distractions at runtime using computer vision. We would also analyze the overall speed and scalability of the model in order to be able to set it up on an edge device. We use CNN, VGG-16, RestNet50 and ensemble of CNN to predict the classes.




Abstract:The application of Deep Learning and Natural Language based ChatBots are growing rapidly in recent years. They are used in many fields like customer support, reservation system and as personal assistant. The Enterprises are using such ChatBots to serve their customers in a better and efficient manner. Even after such technological advancement, the expert advice does not reach the farmers on timely manner. The farmers are still largely dependent on their peers knowledge in solving the problems they face in their field. These technologies have not been effectively used to give the required information to farmers on timely manner. This project aims to implement a closed domain ChatBot for the field of Agriculture Farmers Assistant. Farmers can have conversation with the Chatbot and get the expert advice in their field. Farmers Assistant is based on RASA Open Source Framework. The Chatbot identifies the intent and entity from user utterances and retrieve the remedy from the database and share it with the user. We tested the Bot with existing data and it showed promising results.




Abstract:The purpose of this work is, to provide a YOLOv5 deep learning-based social distance monitoring framework using an overhead view perspective. In addition, we have developed a custom defined model YOLOv5 modified CSP (Cross Stage Partial Network) and assessed the performance on COCO and Visdrone dataset with and without transfer learning. Our findings show that the developed model successfully identifies the individual who violates the social distances. The accuracy of 81.7% for the modified bottleneck CSP without transfer learning is observed on COCO dataset after training the model for 300 epochs whereas for the same epochs, the default YOLOv5 model is attaining 80.1% accuracy with transfer learning. This shows an improvement in accuracy by our modified bottleneck CSP model. For the Visdrone dataset, we are able to achieve an accuracy of upto 56.5% for certain classes and especially an accuracy of 40% for people and pedestrians with transfer learning using the default YOLOv5s model for 30 epochs. While the modified bottleneck CSP is able to perform slightly better than the default model with an accuracy score of upto 58.1% for certain classes and an accuracy of ~40.4% for people and pedestrians.




Abstract:The new alternative is to use deep learning to inpaint any image by utilizing image classification and computer vision techniques. In general, image inpainting is a task of recreating or reconstructing any broken image which could be a photograph or oil/acrylic painting. With the advancement in the field of Artificial Intelligence, this topic has become popular among AI enthusiasts. With our approach, we propose an initial end-to-end pipeline for inpainting images using a complete Machine Learning approach instead of a conventional application-based approach. We first use the YOLO model to automatically identify and localize the object we wish to remove from the image. Using the result obtained from the model we can generate a mask for the same. After this, we provide the masked image and original image to the GAN model which uses the Contextual Attention method to fill in the region. It consists of two generator networks and two discriminator networks and is also called a coarse-to-fine network structure. The two generators use fully convolutional networks while the global discriminator gets hold of the entire image as input while the local discriminator gets the grip of the filled region as input. The contextual Attention mechanism is proposed to effectively borrow the neighbor information from distant spatial locations for reconstructing the missing pixels. The third part of our implementation uses SRGAN to resolve the inpainted image back to its original size. Our work is inspired by the paper Free-Form Image Inpainting with Gated Convolution and Generative Image Inpainting with Contextual Attention.