



Abstract:Automatic detection and tracking of emotional states has the potential for helping individuals with various mental health conditions. While previous studies have captured physiological signals using wearable devices in laboratory settings, providing valuable insights into the relationship between physiological responses and mental states, the transfer of these findings to real-life scenarios is still in its nascent stages. Our research aims to bridge the gap between laboratory-based studies and real-life settings by leveraging consumer-grade wearables and self-report measures. We conducted a preliminary study involving 15 healthy participants to assess the efficacy of wearables in capturing user valence in real-world settings. In this paper, we present the initial analysis of the collected data, focusing primarily on the results of valence classification. Our findings demonstrate promising results in distinguishing between high and low positive valence, achieving an F1 score of 0.65. This research opens up avenues for future research in the field of mobile mental health interventions.



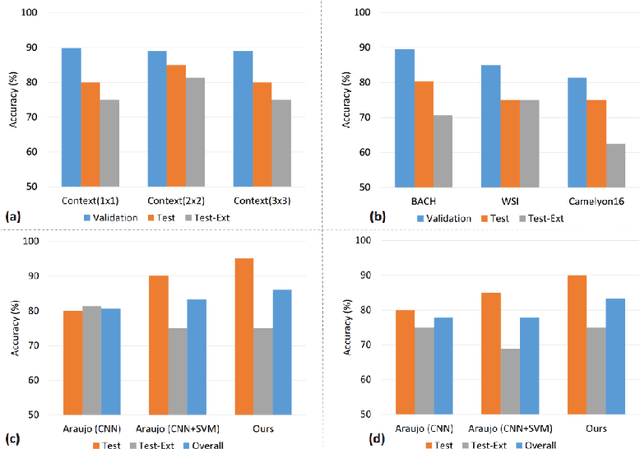
Abstract:Convolutional neural networks (CNNs) have been recently used for a variety of histology image analysis. However, availability of a large dataset is a major prerequisite for training a CNN which limits its use by the computational pathology community. In previous studies, CNNs have demonstrated their potential in terms of feature generalizability and transferability accompanied with better performance. Considering these traits of CNN, we propose a simple yet effective method which leverages the strengths of CNN combined with the advantages of including contextual information, particularly designed for a small dataset. Our method consists of two main steps: first it uses the activation features of CNN trained for a patch-based classification and then it trains a separate classifier using features of overlapping patches to perform image-based classification using the contextual information. The proposed framework outperformed the state-of-the-art method for breast cancer classification.