



Abstract:Due to the multiple imperfections during the signal acquisition, Electrocardiogram (ECG) datasets are typically contaminated with numerous types of noise, like salt and pepper and baseline drift. These datasets may contain different recordings with various types of noise [1] and thus, denoising may not be the easiest task. Furthermore, usually, the number of labeled bio-signals is very limited for a proper classification task.




Abstract:Old master drawings were mostly created step by step in several layers using different materials. To art historians and restorers, examination of these layers brings various insights into the artistic work process and helps to answer questions about the object, its attribution and its authenticity. However, these layers typically overlap and are oftentimes difficult to differentiate with the unaided eye. For example, a common layer combination is red chalk under ink. In this work, we propose an image processing pipeline that operates on hyperspectral images to separate such layers. Using this pipeline, we show that hyperspectral images enable better layer separation than RGB images, and that spectral focus stacking aids the layer separation. In particular, we propose to use two descriptors in hyperspectral historical document analysis, namely hyper-hue and extended multi-attribute profile (EMAP). Our comparative results with other features underline the efficacy of the three proposed improvements.



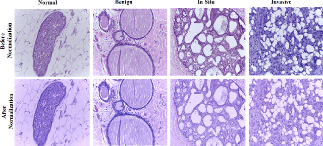
Abstract:Breast cancer is one of the leading causes of mortality in women. Early detection and treatment are imperative for improving survival rates, which have steadily increased in recent years as a result of more sophisticated computer-aided-diagnosis (CAD) systems. A critical component of breast cancer diagnosis relies on histopathology, a laborious and highly subjective process. Consequently, CAD systems are essential to reduce inter-rater variability and supplement the analyses conducted by specialists. In this paper, a transfer-learning based approach is proposed, for the task of breast histology image classification into four tissue sub-types, namely, normal, benign, \textit{in situ} carcinoma and invasive carcinoma. The histology images, provided as part of the BACH 2018 grand challenge, were first normalized to correct for color variations resulting from inconsistencies during slide preparation. Subsequently, image patches were extracted and used to fine-tune Google`s Inception-V3 and ResNet50 convolutional neural networks (CNNs), both pre-trained on the ImageNet database, enabling them to learn domain-specific features, necessary to classify the histology images. The ResNet50 network (based on residual learning) achieved a test classification accuracy of 97.50% for four classes, outperforming the Inception-V3 network which achieved an accuracy of 91.25%.




Abstract:The amount of training data that is required to train a classifier scales with the dimensionality of the feature data. In hyperspectral remote sensing, feature data can potentially become very high dimensional. However, the amount of training data is oftentimes limited. Thus, one of the core challenges in hyperspectral remote sensing is how to perform multi-class classification using only relatively few training data points. In this work, we address this issue by enriching the feature matrix with synthetically generated sample points. This synthetic data is sampled from a GMM fitted to each class of the limited training data. Although, the true distribution of features may not be perfectly modeled by the fitted GMM, we demonstrate that a moderate augmentation by these synthetic samples can effectively replace a part of the missing training samples. We show the efficacy of the proposed approach on two hyperspectral datasets. The median gain in classification performance is $5\%$. It is also encouraging that this performance gain is remarkably stable for large variations in the number of added samples, which makes it much easier to apply this method to real-world applications.




Abstract:In this work, we conducted a survey on different registration algorithms and investigated their suitability for hyperspectral historical image registration applications. After the evaluation of different algorithms, we choose an intensity based registration algorithm with a curved transformation model. For the transformation model, we select cubic B-splines since they should be capable to cope with all non-rigid deformations in our hyperspectral images. From a number of similarity measures, we found that residual complexity and localized mutual information are well suited for the task at hand. In our evaluation, both measures show an acceptable performance in handling all difficulties, e.g., capture range, non-stationary and spatially varying intensity distortions or multi-modality that occur in our application.




Abstract:High-resolution imaging has delivered new prospects for detecting the material composition and structure of cultural treasures. Despite the various techniques for analysis, a significant diagnostic gap remained in the range of available research capabilities for works on paper. Old master drawings were mostly composed in a multi-step manner with various materials. This resulted in the overlapping of different layers which made the subjacent strata difficult to differentiate. The separation of stratified layers using imaging methods could provide insights into the artistic work processes and help answer questions about the object, its attribution, or in identifying forgeries. The pattern recognition procedure was tested with mock replicas to achieve the separation and the capability of displaying concealed red chalk under ink. In contrast to RGB-sensor based imaging, the multi- or hyperspectral technology allows accurate layer separation by recording the characteristic signatures of the material's reflectance. The risk of damage to the artworks as a result of the examination can be reduced by using combinations of defined spectra for lightning and image capturing. By guaranteeing the maximum level of readability, our results suggest that the technique can be applied to a broader range of objects and assist in diagnostic research into cultural treasures in the future.