



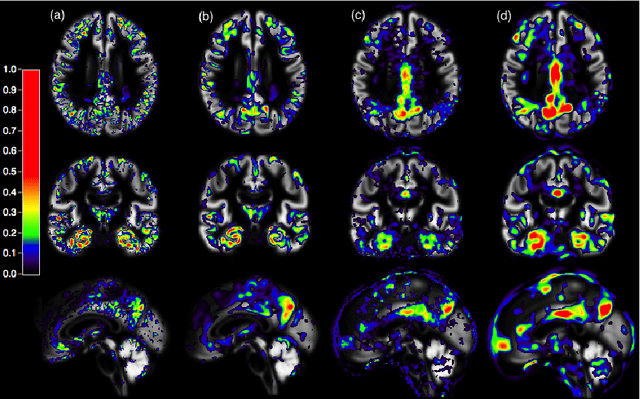
In recent years, the number of papers on Alzheimer's disease classification has increased dramatically, generating interesting methodological ideas on the use machine learning and feature extraction methods. However, practical impact is much more limited and, eventually, one could not tell which of these approaches are the most efficient. While over 90\% of these works make use of ADNI an objective comparison between approaches is impossible due to variations in the subjects included, image pre-processing, performance metrics and cross-validation procedures. In this paper, we propose a framework for reproducible classification experiments using multimodal MRI and PET data from ADNI. The core components are: 1) code to automatically convert the full ADNI database into BIDS format; 2) a modular architecture based on Nipype in order to easily plug-in different classification and feature extraction tools; 3) feature extraction pipelines for MRI and PET data; 4) baseline classification approaches for unimodal and multimodal features. This provides a flexible framework for benchmarking different feature extraction and classification tools in a reproducible manner. We demonstrate its use on all (1519) baseline T1 MR images and all (1102) baseline FDG PET images from ADNI 1, GO and 2 with SPM-based feature extraction pipelines and three different classification techniques (linear SVM, anatomically regularized SVM and multiple kernel learning SVM). The highest accuracies achieved were: 91% for AD vs CN, 83% for MCIc vs CN, 75% for MCIc vs MCInc, 94% for AD-A$\beta$+ vs CN-A$\beta$- and 72% for MCIc-A$\beta$+ vs MCInc-A$\beta$+. The code is publicly available at https://gitlab.icm-institute.org/aramislab/AD-ML (depends on the Clinica software platform, publicly available at http://www.clinica.run).