



Abstract:In the previous blind deconvolution methods, de-blurred images can be obtained by using the edge or pixel information. However, the existing edge-based methods did not take advantage of edge information in ommi-directions, but only used horizontal and vertical edges when recovering the de-blurred images. This limitation lowers the quality of the recovered images. This paper proposes a method which utilizes edges in different directions to recover the true sharp image. We also provide a statistical table score to show how many directions are enough to recover a high quality true sharp image. In order to grade the quality of the deblurring image, we introduce a measurement, namely Haar defocus score that takes advantage of the Haar-Wavelet transform. The experimental results prove that the proposed method obtains a high quality deblurred image with respect to both the Haar defocus score and the Peak Signal to Noise Ratio.




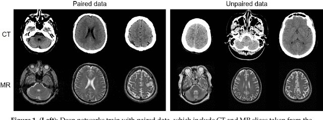
Abstract:MR imaging will play a very important role in radiotherapy treatment planning for segmentation of tumor volumes and organs. However, the use of MR-based radiotherapy is limited because of the high cost and the increased use of metal implants such as cardiac pacemakers and artificial joints in aging society. To improve the accuracy of CT-based radiotherapy planning, we propose a synthetic approach that translates a CT image into an MR image using paired and unpaired training data. In contrast to the current synthetic methods for medical images, which depend on sparse pairwise-aligned data or plentiful unpaired data, the proposed approach alleviates the rigid registration challenge of paired training and overcomes the context-misalignment problem of the unpaired training. A generative adversarial network was trained to transform 2D brain CT image slices into 2D brain MR image slices, combining adversarial loss, dual cycle-consistent loss, and voxel-wise loss. The experiments were analyzed using CT and MR images of 202 patients. Qualitative and quantitative comparisons against independent paired training and unpaired training methods demonstrate the superiority of our approach.




Abstract:This paper proposes an end-to-end CNN(Convolutional Neural Networks) model that uses gram modules with parameters that are approximately 1.2MB in size to detect fake fingerprints. The proposed method assumes that texture is the most appropriate characteristic in fake fingerprint detection, and implements the gram module to extract textures from the CNN. The proposed CNN structure uses the fire module as the base model and uses the gram module for texture extraction. Tensors that passed the fire module will be joined with gram modules to create a gram matrix with the same spatial size. After 3 gram matrices extracted from different layers are combined with the channel axis, it becomes the basis for categorizing fake fingerprints. The experiment results had an average detection error of 2.61% from the LivDet 2011, 2013, 2015 data, proving that an end-to-end CNN structure with few parameters that is able to be used in fake fingerprint detection can be designed.




Abstract:Fingerprint authentication is widely used in biometrics due to its simple process, but it is vulnerable to fake fingerprints. This study proposes a patch-based fake fingerprint detection method using a fully convolutional neural network with a small number of parameters and an optimal threshold to solve the above-mentioned problem. Unlike the existing methods that classify a fingerprint as live or fake, the proposed method classifies fingerprints as fake, live, or background, so preprocessing methods such as segmentation are not needed. The proposed convolutional neural network (CNN) structure applies the Fire module of SqueezeNet, and the fewer parameters used require only 2.0 MB of memory. The network that has completed training is applied to the training data in a fully convolutional way, and the optimal threshold to distinguish fake fingerprints is determined, which is used in the final test. As a result of this study experiment, the proposed method showed an average classification error of 1.35%, demonstrating a fake fingerprint detection method using a high-performance CNN with a small number of parameters.




Abstract:Since convolutional neural network(CNN)models emerged,several tasks in computer vision have actively deployed CNN models for feature extraction. However,the conventional CNN models have a high computational cost and require high memory capacity, which is impractical and unaffordable for commercial applications such as real-time on-road object detection on embedded boards or mobile platforms. To tackle this limitation of CNN models, this paper proposes a wide-residual-inception (WR-Inception) network, which constructs the architecture based on a residual inception unit that captures objects of various sizes on the same feature map, as well as shallower and wider layers, compared to state-of-the-art networks like ResNet. To verify the proposed networks, this paper conducted two experiments; one is a classification task on CIFAR-10/100 and the other is an on-road object detection task using a Single-Shot Multi-box Detector(SSD) on the KITTI dataset.