VisAGeS




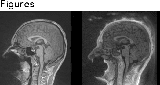
Abstract:Simultaneous EEG/fMRI acquisition allows to measure brain activity at high spatial-temporal resolution. The localisation of EEG sources depends on several parameters including the position of the electrodes on the scalp. The position of the MR electrodes during its acquisitions is obtained with the use of the UTE sequence allowing their visualisation. The retrieval of the electrodes consists in obtaining the volume where the electrodes are located by applying a sphere detection algorithm. We detect around 90% of electrodes for each subject, and our UTE-based electrode detection showed an average position error of 3.7mm for all subjects.




Abstract:Mapping winter vegetation quality coverage is a challenge problem of remote sensing. This is due to the cloud coverage in winter period, leading to use radar rather than optical images. The objective of this paper is to provide a better understanding of the capabilities of radar Sentinel-1 and deep learning concerning about mapping winter vegetation quality coverage. The analysis presented in this paper is carried out on multi-temporal Sentinel-1 data over the site of La Rochelle, France, during the campaign in December 2016. This dataset were processed in order to produce an intensity radar data stack from October 2016 to February 2017. Two deep Recurrent Neural Network (RNN) based classifier methods were employed. We found that the results of RNNs clearly outperformed the classical machine learning approaches (Support Vector Machine and Random Forest). This study confirms that the time series radar Sentinel-1 and RNNs could be exploited for winter vegetation quality cover mapping.




Abstract:Nowadays, modern earth observation programs produce huge volumes of satellite images time series (SITS) that can be useful to monitor geographical areas through time. How to efficiently analyze such kind of information is still an open question in the remote sensing field. Recently, deep learning methods proved suitable to deal with remote sensing data mainly for scene classification (i.e. Convolutional Neural Networks - CNNs - on single images) while only very few studies exist involving temporal deep learning approaches (i.e Recurrent Neural Networks - RNNs) to deal with remote sensing time series. In this letter we evaluate the ability of Recurrent Neural Networks, in particular the Long-Short Term Memory (LSTM) model, to perform land cover classification considering multi-temporal spatial data derived from a time series of satellite images. We carried out experiments on two different datasets considering both pixel-based and object-based classification. The obtained results show that Recurrent Neural Networks are competitive compared to state-of-the-art classifiers, and may outperform classical approaches in presence of low represented and/or highly mixed classes. We also show that using the alternative feature representation generated by LSTM can improve the performances of standard classifiers.