Abstract:The task of image segmentation is to classify each pixel in the image based on the appropriate label. Various deep learning approaches have been proposed for image segmentation that offers high accuracy and deep architecture. However, the deep learning technique uses a pixel-wise loss function for the training process. Using pixel-wise loss neglected the pixel neighbor relationships in the network learning process. The neighboring relationship of the pixels is essential information in the image. Utilizing neighboring pixel information provides an advantage over using only pixel-to-pixel information. This study presents regularizers to give the pixel neighbor relationship information to the learning process. The regularizers are constructed by the graph theory approach and topology approach: By graph theory approach, graph Laplacian is used to utilize the smoothness of segmented images based on output images and ground-truth images. By topology approach, Euler characteristic is used to identify and minimize the number of isolated objects on segmented images. Experiments show that our scheme successfully captures pixel neighbor relations and improves the performance of the convolutional neural network better than the baseline without a regularization term.

Abstract:The deep learning technique was used to increase the performance of single image super-resolution (SISR). However, most existing CNN-based SISR approaches primarily focus on establishing deeper or larger networks to extract more significant high-level features. Usually, the pixel-level loss between the target high-resolution image and the estimated image is used, but the neighbor relations between pixels in the image are seldom used. On the other hand, according to observations, a pixel's neighbor relationship contains rich information about the spatial structure, local context, and structural knowledge. Based on this fact, in this paper, we utilize pixel's neighbor relationships in a different perspective, and we propose the differences of neighboring pixels to regularize the CNN by constructing a graph from the estimated image and the ground-truth image. The proposed method outperforms the state-of-the-art methods in terms of quantitative and qualitative evaluation of the benchmark datasets. Keywords: Super-resolution, Convolutional Neural Networks, Deep Learning





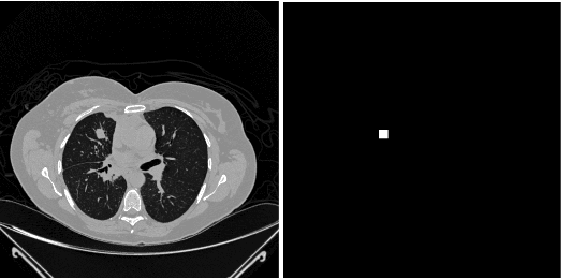
Abstract:Lung cancer is one of the most deadly diseases in the world. Detecting such tumors at an early stage can be a tedious task. Existing deep learning architecture for lung nodule identification used complex architecture with large number of parameters. This study developed a cascaded architecture which can accurately segment and classify the benign or malignant lung nodules on computed tomography (CT) images. The main contribution of this study is to introduce a segmentation network where the first stage trained on a public data set can help to recognize the images which included a nodule from any data set by means of transfer learning. And the segmentation of a nodule improves the second stage to classify the nodules into benign and malignant. The proposed architecture outperformed the conventional methods with an area under curve value of 95.67\%. The experimental results showed that the classification accuracy of 97.96\% of our proposed architecture outperformed other simple and complex architectures in classifying lung nodules for lung cancer detection.





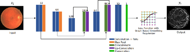
Abstract:The detection of retinal blood vessels, especially the changes of small vessel condition is the most important indicator to identify the vascular network of the human body. Existing techniques focused mainly on shape of the large vessels, which is not appropriate for the disconnected small and isolated vessels. Paying attention to the low contrast small blood vessel in fundus region, first time we proposed to combine graph based smoothing regularizer with the loss function in the U-net framework. The proposed regularizer treated the image as two graphs by calculating the graph laplacians on vessel regions and the background regions on the image. The potential of the proposed graph based smoothing regularizer in reconstructing small vessel is compared over the classical U-net with or without regularizer. Numerical and visual results shows that our developed regularizer proved its effectiveness in segmenting the small vessels and reconnecting the fragmented retinal blood vessels.
