Applied MRI Research, Department of Molecular imaging and Theranostics, National Institute of Radiological Sciences, QST
Abstract:Oscillating-gradient spin-echo diffusion-weighted magnetic resonance imaging (OGSE-DWI) has been promoted as a promising technique for studying the microstructure of complex hydrated matter in the frequency domain. The target of the OGSE-DWI technique is the spectral density of molecular diffusion, $u_{2}(\omega)$, which is predicted to obey a set of asymptotic universality relations that are linked to the global organisation of the sample. So, in principle the complex microstructure of a medium can be classified by measuring the spectral density in its low- and high-frequency limits. However, due to practical limitations on the spectral resolution and range of the technique, it is not possible to directly sample the spectral density with OGSE-DWI. Rather, information about the spectral density can be obtained only indirectly through the quantities $U_{kk}$ & $U_{k0}$, which are filtered representations of $u_{2}(\omega)$. The purpose of this study is to investigate how the universal behaviour of $u_{2}(\omega)$ emerges in the asymptotic behaviour of OGSE-DWI signal.




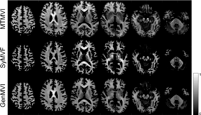
Abstract:Background and Purpose: A current algorithm to obtain a synthetic myelin volume fraction map (SyMVF) from rapid simultaneous relaxometry imaging (RSRI) has a potential problem, that it does not incorporate information from surrounding pixels. The purpose of this study was to develop a method that utilizes a convolutional neural network (CNN) to overcome this problem. Methods: RSRI and magnetization transfer images from 20 healthy volunteers were included. A CNN was trained to reconstruct RSRI-related metric maps into a myelin volume-related index (generated myelin volume index: GenMVI) map using the myelin volume index map calculated from magnetization transfer images (MTMVI) as reference. The SyMVF and GenMVI maps were statistically compared by testing how well they correlated with the MTMVI map. The correlations were evaluated based on: (i) averaged values obtained from 164 atlas-based ROIs, and (ii) pixel-based comparison for ROIs defined in four different tissue types (cortical and subcortical gray matter, white matter, and whole brain). Results: For atlas-based ROIs, the overall correlation with the MTMVI map was higher for the GenMVI map than for the SyMVF map. In the pixel-based comparison, correlation with the MTMVI map was stronger for the GenMVI map than for the SyMVF map, and the difference in the distribution for the volunteers was significant (Wilcoxon sign-rank test, P<.001) in all tissue types. Conclusion: The proposed method is useful, as it can incorporate more specific information about local tissue properties than the existing method.