



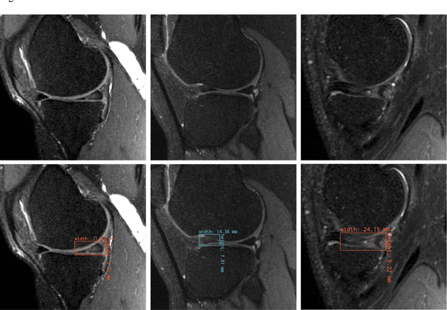
Abstract:This study investigates the relationship between deep learning (DL) image reconstruction quality and anomaly detection performance, and evaluates the efficacy of an artificial intelligence (AI) assistant in enhancing radiologists' interpretation of meniscal anomalies on reconstructed images. A retrospective study was conducted using an in-house reconstruction and anomaly detection pipeline to assess knee MR images from 896 patients. The original and 14 sets of DL-reconstructed images were evaluated using standard reconstruction and object detection metrics, alongside newly developed box-based reconstruction metrics. Two clinical radiologists reviewed a subset of 50 patients' images, both original and AI-assisted reconstructed, with subsequent assessment of their accuracy and performance characteristics. Results indicated that the structural similarity index (SSIM) showed a weaker correlation with anomaly detection metrics (mAP, r=0.64, p=0.01; F1 score, r=0.38, p=0.18), while box-based SSIM had a stronger association with detection performance (mAP, r=0.81, p<0.01; F1 score, r=0.65, p=0.01). Minor SSIM fluctuations did not affect detection outcomes, but significant changes reduced performance. Radiologists' AI-assisted evaluations demonstrated improved accuracy (86.0% without assistance vs. 88.3% with assistance, p<0.05) and interrater agreement (Cohen's kappa, 0.39 without assistance vs. 0.57 with assistance). An additional review led to the incorporation of 17 more lesions into the dataset. The proposed anomaly detection method shows promise in evaluating reconstruction algorithms for automated tasks and aiding radiologists in interpreting DL-reconstructed MR images.




Abstract:For the safety of the traveling public, the Transportation Security Administration (TSA) operates security checkpoints at airports in the United States, seeking to keep dangerous items off airplanes. At these checkpoints, the TSA employs a fleet of X-ray scanners, such as the Rapiscan 620DV, so Transportation Security Officers (TSOs) can inspect the contents of carry-on possessions. However, identifying and locating all potential threats can be a challenging task. As a result, the TSA has taken a recent interest in deep learning-based automated detection algorithms that can assist TSOs. In a collaboration funded by the TSA, we collected a sizable new dataset of X-ray scans with a diverse set of threats in a wide array of contexts, trained several deep convolutional object detection models, and integrated such models into the Rapiscan 620DV, resulting in functional prototypes capable of operating in real time. We show performance of our models on held-out evaluation sets, analyze several design parameters, and demonstrate the potential of such systems for automated detection of threats that can be found in airports.