Abstract:Anomaly detection and classification in medical imaging are critical for early diagnosis but remain challenging due to limited annotated data, class imbalance, and the high cost of expert labeling. Emerging vision foundation models such as DINOv2, pretrained on extensive, unlabeled datasets, offer generalized representations that can potentially alleviate these limitations. In this study, we propose an attention-based global aggregation framework tailored specifically for 3D medical image anomaly classification. Leveraging the self-supervised DINOv2 model as a pretrained feature extractor, our method processes individual 2D axial slices of brain MRIs, assigning adaptive slice-level importance weights through a soft attention mechanism. To further address data scarcity, we employ a composite loss function combining supervised contrastive learning with class-variance regularization, enhancing inter-class separability and intra-class consistency. We validate our framework on the ADNI dataset and an institutional multi-class headache cohort, demonstrating strong anomaly classification performance despite limited data availability and significant class imbalance. Our results highlight the efficacy of utilizing pretrained 2D foundation models combined with attention-based slice aggregation for robust volumetric anomaly detection in medical imaging. Our implementation is publicly available at https://github.com/Rafsani/DinoAtten3D.git.




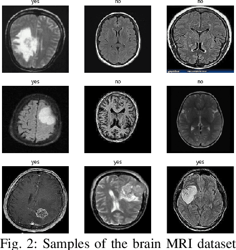
Abstract:Uncontrolled cell division in the brain is what gives rise to brain tumors. If the tumor size increases by more than half, there is little hope for the patient's recovery. This emphasizes the need of rapid and precise brain tumor diagnosis. When it comes to analyzing, diagnosing, and planning therapy for brain tumors, MRI imaging plays a crucial role. A brain tumor's development history is crucial information for doctors to have. When it comes to distinguishing between human soft tissues, MRI scans are superior. In order to get reliable classification results from MRI scans quickly, deep learning is one of the most practical methods. Early human illness diagnosis has been demonstrated to be more accurate when deep learning methods are used. In the case of diagnosing a brain tumor, when even a little misdiagnosis might have serious consequences, accuracy is especially important. Disclosure of brain tumors in medical images is still a difficult task. Brain MRIs are notoriously imprecise in revealing the presence or absence of tumors. Using MRI scans of the brain, a Convolutional Neural Network (CNN) was trained to identify the presence of a tumor in this research. Results from the CNN model showed an accuracy of 99.17%. The CNN model's characteristics were also retrieved. In order to evaluate the CNN model's capability for processing images, we applied the features via the following machine learning models: KNN, Logistic regression, SVM, Random Forest, Naive Bayes, and Perception. CNN and machine learning models were also evaluated using the standard metrics of Precision, Recall, Specificity, and F1 score. The significance of the doctor's diagnosis enhanced the accuracy of the CNN model's assistance in identifying the existence of tumor and treating the patient.




Abstract:Weakly-supervised diffusion models (DM) in anomaly segmentation, leveraging image-level labels, have attracted significant attention for their superior performance compared to unsupervised methods. It eliminates the need for pixel-level labels in training, offering a more cost-effective alternative to supervised methods. However, existing methods are not fully weakly-supervised because they heavily rely on costly pixel-level labels for hyperparameter tuning in inference. To tackle this challenge, we introduce Anomaly Segmentation with Forward Process of Diffusion Models (AnoFPDM), a fully weakly-supervised framework that operates without the need for pixel-level labels. Leveraging the unguided forward process as a reference, we identify suitable hyperparameters, i.e., noise scale and threshold, for each input image. We aggregate anomaly maps from each step in the forward process, enhancing the signal strength of anomalous regions. Remarkably, our proposed method outperforms recent state-of-the-art weakly-supervised approaches, even without utilizing pixel-level labels.