



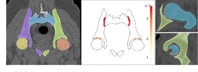
Abstract:Accurate geometry representation is essential in developing finite element models. Although generally good, deep-learning segmentation approaches with only few data have difficulties in accurately segmenting fine features, e.g., gaps and thin structures. Subsequently, segmented geometries need labor-intensive manual modifications to reach a quality where they can be used for simulation purposes. We propose a strategy that uses transfer learning to reuse datasets with poor segmentation combined with an interactive learning step where fine-tuning of the data results in anatomically accurate segmentations suitable for simulations. We use a modified MultiPlanar UNet that is pre-trained using inferior hip joint segmentation combined with a dedicated loss function to learn the gap regions and post-processing to correct tiny inaccuracies on symmetric classes due to rotational invariance. We demonstrate this robust yet conceptually simple approach applied with clinically validated results on publicly available computed tomography scans of hip joints. Code and resulting 3D models are available at: https://github.com/MICCAI2022-155/AuToSeg}




Abstract:We present a method to generate subject-specific cartilage for the hip joint. Given bone geometry, our approach is agnostic to image modality, creates conforming interfaces, and is well suited for finite element analysis. We demonstrate our method on ten hip joints showing anatomical shape consistency and well-behaved stress patterns. Our method is fast and may assist in large-scale biomechanical population studies of the hip joint when manual segmentation or training data is not feasible.