



Abstract:AI in Medical Imaging project aims to enhance the National Cancer Institute's (NCI) Image Data Commons (IDC) by developing nnU-Net models and providing AI-assisted segmentations for cancer radiology images. We created high-quality, AI-annotated imaging datasets for 11 IDC collections. These datasets include images from various modalities, such as computed tomography (CT) and magnetic resonance imaging (MRI), covering the lungs, breast, brain, kidneys, prostate, and liver. The nnU-Net models were trained using open-source datasets. A portion of the AI-generated annotations was reviewed and corrected by radiologists. Both the AI and radiologist annotations were encoded in compliance with the the Digital Imaging and Communications in Medicine (DICOM) standard, ensuring seamless integration into the IDC collections. All models, images, and annotations are publicly accessible, facilitating further research and development in cancer imaging. This work supports the advancement of imaging tools and algorithms by providing comprehensive and accurate annotated datasets.




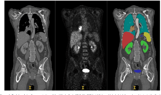
Abstract:Automatic segmentation of lesions in FDG-18 Whole Body (WB) PET/CT scans using deep learning models is instrumental for determining treatment response, optimizing dosimetry, and advancing theranostic applications in oncology. However, the presence of organs with elevated radiotracer uptake, such as the liver, spleen, brain, and bladder, often leads to challenges, as these regions are often misidentified as lesions by deep learning models. To address this issue, we propose a novel approach of segmenting both organs and lesions, aiming to enhance the performance of automatic lesion segmentation methods. In this study, we assessed the effectiveness of our proposed method using the AutoPET II challenge dataset, which comprises 1014 subjects. We evaluated the impact of inclusion of additional labels and data in the segmentation performance of the model. In addition to the expert-annotated lesion labels, we introduced eight additional labels for organs, including the liver, kidneys, urinary bladder, spleen, lung, brain, heart, and stomach. These labels were integrated into the dataset, and a 3D UNET model was trained within the nnUNet framework. Our results demonstrate that our method achieved the top ranking in the held-out test dataset, underscoring the potential of this approach to significantly improve lesion segmentation accuracy in FDG-18 Whole-Body PET/CT scans, ultimately benefiting cancer patients and advancing clinical practice.
Abstract:The Image Data Commons (IDC) contains publicly available cancer radiology datasets that could be pertinent to the research and development of advanced imaging tools and algorithms. However, the full extent of its research capabilities is limited by the fact that these datasets have few, if any, annotations associated with them. Through this study with the AI in Medical Imaging (AIMI) initiative a significant contribution, in the form of AI-generated annotations, was made to provide 11 distinct medical imaging collections from the IDC with annotations. These collections included computed tomography (CT), magnetic resonance imaging (MRI), and positron emission tomography (PET) imaging modalities. The main focus of these annotations were in the chest, breast, kidneys, prostate, and liver. Both publicly available and novel AI algorithms were adopted and further developed using open-sourced data coupled with expert annotations to create the AI-generated annotations. A portion of the AI annotations were reviewed and corrected by a radiologist to assess the AI models' performances. Both the AI's and the radiologist's annotations conformed to DICOM standards for seamless integration into the IDC collections as third-party analyses. This study further cements the well-documented notion that expansive publicly accessible datasets, in the field of cancer imaging, coupled with AI will aid in increased accessibility as well as reliability for further research and development.