



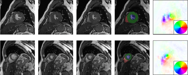
Cardiac motion estimation plays a key role in MRI cardiac feature tracking and function assessment such as myocardium strain. In this paper, we propose Motion Pyramid Networks, a novel deep learning-based approach for accurate and efficient cardiac motion estimation. We predict and fuse a pyramid of motion fields from multiple scales of feature representations to generate a more refined motion field. We then use a novel cyclic teacher-student training strategy to make the inference end-to-end and further improve the tracking performance. Our teacher model provides more accurate motion estimation as supervision through progressive motion compensations. Our student model learns from the teacher model to estimate motion in a single step while maintaining accuracy. The teacher-student knowledge distillation is performed in a cyclic way for a further performance boost. Our proposed method outperforms a strong baseline model on two public available clinical datasets significantly, evaluated by a variety of metrics and the inference time. New evaluation metrics are also proposed to represent errors in a clinically meaningful manner.