



Abstract:Prevention is better than cure. This old truth applies not only to the prevention of diseases but also to the prevention of issues with AI models used in medicine. The source of malfunctioning of predictive models often lies not in the training process but reaches the data acquisition phase or design of the experiment phase. In this paper, we analyze in detail a single use case - a Kaggle competition related to the detection of abnormalities in X-ray lung images. We demonstrate how a series of simple tests for data imbalance exposes faults in the data acquisition and annotation process. Complex models are able to learn such artifacts and it is difficult to remove this bias during or after the training. Errors made at the data collection stage make it difficult to validate the model correctly. Based on this use case, we show how to monitor data and model balance (fairness) throughout the life cycle of a predictive model, from data acquisition to parity analysis of model scores.




Abstract:The increased interest in deep learning applications, and their hard-to-detect biases result in the need to validate and explain complex models. However, current explanation methods are limited as far as both the explanation of the reasoning process and prediction results are concerned. They usually only show the location in the image that was important for model prediction. The lack of possibility to interact with explanations makes it difficult to verify and understand exactly how the model works. This creates a significant risk when using the model. It is compounded by the fact that explanations do not take into account the semantic meaning of the explained objects. To escape from the trap of static explanations, we propose an approach called LIMEcraft that allows a user to interactively select semantically consistent areas and thoroughly examine the prediction for the image instance in case of many image features. Experiments on several models showed that our method improves model safety by inspecting model fairness for image pieces that may indicate model bias. The code is available at: http://github.com/MI2DataLab/LIMEcraft




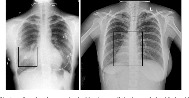
Abstract:The sudden outbreak and uncontrolled spread of COVID-19 disease is one of the most important global problems today. In a short period of time, it has led to the development of many deep neural network models for COVID-19 detection with modules for explainability. In this work, we carry out a systematic analysis of various aspects of proposed models. Our analysis revealed numerous mistakes made at different stages of data acquisition, model development, and explanation construction. In this work, we overview the approaches proposed in the surveyed ML articles and indicate typical errors emerging from the lack of deep understanding of the radiography domain. We present the perspective of both: experts in the field - radiologists, and deep learning engineers dealing with model explanations. The final result is a proposed a checklist with the minimum conditions to be met by a reliable COVID-19 diagnostic model.